New Horizon of 4D Imaging(ザイオソフト)
2017年3月号
Ziostation2の使用経験報告
四方淳司、新川秀和、村上恵美、谷口正成、玉田 彰(一般財団法人住友病院放射線技術科)
当院では心臓CTのワークステーション(WS)更新に加え、大腸CTの本格稼働も重なり、2016年8月にZiostation2が導入された。Ziostation2のクライアント端末5台に加え、RIS系のネットワークを利用して、他社のWS端末や読影端末と相乗り(シェア)することにより、CT室のほかにMRI室、血管造影室、アイソトープ室、読影室、健康管理センター、カンファレンス室、医局などでも使用できる環境を構築した。本稿では、当院でZiostation2を用いた心臓CTや多発性囊胞腎の計測、頭部MR Angiographyを紹介する。
ワークステーションの使用状況
CTの年間検査数は約2万件で、そのうち血管の画像処理を行うのは、冠動脈600件(PCI後150件、CABG後30件)、軀幹200件、下肢50件、消化管術前100件、肺がん術前100件程度である。MRIの年間検査数は約8600件で、うちドック頭部MRI 1500件程度の処理を行っている。当院には4社のWSが存在するが、心臓CTに関してはZiostation2に完全移行、そのほかはオプション機能やスタッフの習熟度によって使い分けている。
心臓CT検査
心臓CT検査は週10件+緊急検査で対応する運用となっている。循環器科医師がβブロッカー投与や造影剤の注入、撮影は主にローテーションの診療放射線技師が担当する。画像再構成の位相決定はCT専従技師、読影は循環器科医師が行っている。また、画像処理はCT専従技師の指導のもとローテーション技師が担当している。そのため、1症例の画像作成に60分ほど費やしているのが現状であるが、経験を重ねることですべての処理作業時間は半分程度になると思われる。診断には主にCPRと短軸像が用いられている(図1)。VR、Angio graphic view、aorta-tree画像は冠動脈の形態や狭窄部位の確認が可能であるため、主に患者さんへの説明用として使用されている。また、心臓カテーテル検査時のリファレンス画像としても活用されている(図2)。
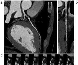
図1 冠動脈解析例(冠動脈狭窄)
a:CPR b:ストレートビュー c:短軸像
図2 患者説明用画像
全体像の把握や心臓カテーテル時の入口部の確認などに使用している。
半年足らずの使用経験ではあるが、Ziostation2のアプリケーションである「CT冠動脈解析2」「CT心機能解析2」「石灰化スコアリング」の利点、欠点、要望を以下に記す。
・自動抽出精度が高く満足している(図3)。
図3 CT冠動脈解析2による自動抽出
a:自動抽出のみ b:画像処理後
・VRではエクステンダー、リムーバーの精度が高く、マルチマスクで処理できるため冠静脈や肺静脈などの不要な臓器を容易に削除することが可能となった。
・中心線(パス)の編集作業はワンクリックで修正できないため時間はかかるが、CT値でなく視覚により血管を選択できるため、末梢血管や慢性完全閉塞(CTO)病変でも正確にトレースすることができるようになった。
・ワークスペース(WKS)保存機能により、作業内容を技師から医師へ、1次読影医から2次読影医への引き継ぎも非常に簡便になり、さらに冠動脈の自動ラべリングも正確で修正も容易であるので、若手医師の教育にも役立っている。
・心臓CT検査の責任医師からは、歪みの少ないSlab MIPにより観察も容易になったとの高い評価を得ている。
・心筋トレースの精度が高いので、収縮期の左室乳頭筋の誤認識もほとんどなく正確にトレースできる。そのため、軸修正と心基部–心尖部の位置調整を行うのみで、内腔の修正の必要性がほとんどなくなった。その結果、従来20〜30分を要していた作業時間が5分程度に短縮された。
・心エコー検査では、左室機能が正常の症例でもEFが50%前後の低値を示すことが多く、臨床では注意を要する。図4は極端な例であるが、心エコーでのEFは68%、CTでは48%となっている。
図4 CT心機能解析2での抽出結果
a:拡張期(ED) b:収縮期(ES)
心筋の抽出精度が高く正確にトレースできている。
・石灰化スコアリングでは、選択した石灰化を修正することができないため、Undo機能があるとより快適になると思われる。
CT/SPECT心臓フュージョンでは冠動脈解析でのWKSを使用し、stress rest画像を一度に解析できることに加え、自動位置合わせ機能の精度が高いため、以前のWSでは30分以上要していた作業時間が10分程度となり、核医学担当技師からの高い評判を得た(図5)。
図5 CT/SPECT心臓フュージョンとCT冠動脈支配領解析の比較
a:CT/SPECT心臓フュージョン b:支配領域解析画像
多発性囊胞腎(ADPKD)
日本腎臓学会において、ADPKDの治療にトルバプタン(商品名:サムスカ)は推奨グレードBとされており、「トルバプタンはCock-Croft換算式によるクレアチニンクリアランス60mL/分以上かつ両腎容積750mL以上のADPKDにおいて、腎容積の増加と腎機能低下を抑制する効果が示されており、その使用を推奨する。しかし、クレアチニンクリアランス60mL/分未満あるいは両腎容積750mL未満の成人、および小児についての有効性と安全性は確立されていない」とガイドラインに提言されている1)。
以上より、腎臓の容積を測定することが必要となるが、さまざまな方法が報告されている。
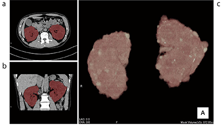
しかし、実際の腎臓の形態は凹凸があり均一ではないため、腎臓容積を計算式のみで正確に算出することは困難である。そこで当院では、今回のZiostation2導入により、CTのthin slice画像から腎臓の容積を3Dで測定するように変更することとなった。Ziostation2では“RealiZe”という新しい三次元形状認識アルゴリズムによって、さまざまな器官の形状の認識、接近する器官の分別を行うことが可能となっている。今回対象となるADPKDについても1クリックで自動抽出が可能であり、従来の処理と比べて作業時間を大幅に短縮することが可能となった。測定方法は、標準の3D解析を起動して腎臓抽出を行い、必要に応じて修正を加える。次にCT値が−50HU以下の脂肪部分を省く。左右の腎臓について、おのおの処理を行い合算された値が両腎の容積となる(図6)。
図6 多発性囊胞腎の容量計測
a:axial b:coronal c:VR
頭部MR Angiography
当院の健康管理センターで実施している頭部MRI検査は、日帰りドックは1.5T装置で、宿泊ドックは3.0T装置で施行され差別化が図られている。撮像シーケンスは、ともにT2強調画像、FLAIR画像、MRA(TOF法)である。今回、MRI検査室にZiostation2が導入されたのを機に、MRAのMIP処理がbatch processing化された。従来のWSでは、担当技師によって閾値の設定に主観が入るため、血管の描出能、背景信号ムラを生じていた。血管自動抽出に優れたZiostation2の導入によって処理時間の短縮、画質向上、画一的な画像処理が可能となり検査精度が大幅に改善された。ただし、血管の自動抽出に30秒程度を要し、静脈を完全に除外できない症例もあるため、さらなる改良を期待したい。当院のbatch processing patternは、図7の画像を基準に、(1) 左側面から右回り10°ステップ(36画像)(2) 左側面の前面を30°上げた角度(ウィリス動脈輪が重複しない角度)から右回り10°ステップ(36画像)(3) 尾側方向からS-I方向に60°ずつ15°ステップ(9画像)(4) 尾側方向からR-L方向に60°ずつ15°ステップ(9画像)を作成している。
図7 脳ドックMR Angiographyの画像処理の基準画像
a:Lt -LAT b:Lt ‒LAT 30° c:Foot
まとめ
当院ではZiostation2が導入後間もないこともあり、WSの統一化がなされてないのが現状である。今後は検査種ごとのWSの統一化を考慮しつつ、関係スタッフのレベルアップや活用方法の拡大も検討すべきであろう。将来的には多くの診療科からの要望も増え、ますますWSによる画像処理業務が増加することも予想される。WSメーカーにはアプリケーションのさらなる充実を願うとともに、簡便さだけでなくIoT(Internet of Things)を活用した他分野との融合も期待したい。また、われわれ診療放射線技師は、医師とのコミュニケーションを密にして臨床医療(患者さん)に有用な画像を提供することに最善を尽くしたい。
[参考文献]
1)エビデンスに基づく多発性囊胞腎(PKD)診療ガイドライン2014. 日本腎臓学会誌, 56・8, 1105~1187, 2014.
- 【関連コンテンツ】
