New Horizon of 4D Imaging(ザイオソフト)
2017年5月号
Ziostation2を使用した脳神経領域のFusion画像とPhyZiodynamicsを用いた臨床画像
榎本裕美、高橋沙奈江、小柳正道、宮﨑 功(杏林大学医学部付属病院 放射線部)
当院におけるワークステーションの変遷は、2000年10月ZIO M900 QUADRAスタンドアローン型に始まり、2007年8月ZIOSTATION System1000ネットワーク型へ移行した。その後2012年10月のCT装置更新に伴い、現在のZiostation2ネットワーク型となった。クライアント端末は合計7台になり、CT室、MRI室、救命救急センター、放射線科医局に配置され、2016年8月にはPhyZio Maker Serverも導入された。現在、Ziostation2のシステムは当院における画像処理の主力となっている。本稿では、当院で行っている脳神経領域の非剛体レジストレーションを用いたFusion画像処理と、PhyZiodynamicsを用いた臨床例に関して報告をする。
脳神経領域の非剛体レジストレーションを用いたFusion画像処理
脳神経領域では、Ziostation2に搭載された非剛体レジストレーションを用い、CTとMRIのFusion画像を作成している。
1)非剛体レジストレーション
非剛体レジストレーションが搭載される前は、CTとMRIのFusion画像処理は、後頭蓋窩下や後頭部などをランドマークとし、手動により補正を行っていたので、個々の技術力に左右されていた。また、莫大な作業時間を必要とし正確な位置合わせが難しかった。この問題を解決したのが、Ziostation2に搭載された非剛体レジストレーションである。非剛体レジストレーションとは、画像間の変形や歪みを補正し位置合わせを行うソフトウエアである。これにより、CTとMR画像のFusion時における位置合わせの精度は向上した(図1)。また、作業工程はアプリケーションを展開してから数回のマウス操作で補正が完了するため、とても簡便であり、作業時間も大幅に短縮された。
図1 非剛体レジストレーション前後の比較
a:CT b:MRI
顕著であった脳梁(↓)および後頭部(↓)の位置ズレが
非剛体レジストレーション後は補正されている。
2)脳腫瘍術前精査
脳神経外科の脳腫瘍術前精査では、必ずCTとMRIを施行し、CT perfusionでは脳腫瘍と栄養血管の位置関係と血流動態を把握することを目的とする。MRIではtractography、3D-FLAIR、MR DSA、MR perfusionを撮像し、脳腫瘍と神経線維の位置関係および血流動態を把握することを目的としている。CTでは動脈・静脈を個々に抽出し、MRIでは腫瘍抽出、tractographyによる錐体路の描出をする。これらをFusionすることで、血管と腫瘍および神経線維の情報を任意の方向から作成することが可能となる(図2)。CTの頭蓋骨の画像と3D-FLAIRの脳表画像をFusionし、頭蓋骨の透過度を変化させることで、脳実質内の腫瘍の位置や手術時のアプローチなどを決定する際の有用な情報となる(図3)。
さらに、手術時の開頭野を想定し、頭蓋骨を取り除き脳表のみ切り込んでいくことで、脳表から腫瘍までの距離、腫瘍の栄養血管や錐体路の位置関係の把握ができ、術前のシミュレーションに役立つ(図4)。
以上により、脳神経領域における非剛体レジストレーションを用いたCTとMRIのFusion画像は、異なるモダリティ間においても位置合わせの精度が高く、血管と腫瘍および神経線維の位置関係のより正確な情報が得られ、脳腫瘍術前支援画像として非常に有用と言える。
図2 動脈・静脈・腫瘍・椎体路のFusion画像
図3 骨・脳表のFusion画像
図4 術前シミュレーション画像
脳神経領域の非剛体レジストレーションを用いたFusion画像処理
PhyZiodynamicsとは、経時的な情報を持つ画像データに対し、補完技術によって動態の観察や解析・自動計測・ノイズ除去などを可能にするソフトウエアである。解析ツールでは4Dモーション解析として、velocityとdisplacementがあり、これらは物体の速度変化や変化量を表すことができ
る。PhyZiodynamicsの臨床応用として、ステントグラフトのエンドリークの確認や、経カテーテル大動脈弁置換術(transcatheter aortic valve implantation:TAVI)の術前評価、慢性閉塞性肺疾患(chronic obstructive pulmonary:COPD)の肺換気評価への応用などが報告されている。当院では循環器領域では、すでに多くの症例でPhyZiodynamicsを使用して画像作成をしているが、ここでは当院で取り組んでいる呼吸器外科領域についての症例を提示する。
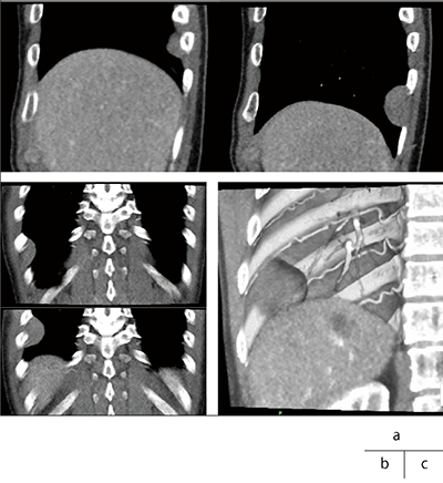
孤立性線維性腫瘍(solitary fibrous tumor:SFT)は胸膜腫瘍であり、画像診断にはCT、MRIが用いられているが、呼吸変動で腫瘍の位置が変位することが認められる。臓側胸膜発生の有茎性の腫瘍であれば肺部分切除にとどめることが可能であるが、壁側胸膜、胸壁、横隔膜あるいは縦隔臓器に接する腫瘍では、それらを含む合併切除が必要になる場合がある。
悪性であれば肺への浸潤や血管との関係も重要である。CTで動態撮影をしたデータにPhyZiodynamicsを用いることでフェーズ数増加、ノイズ軽減につながる。4Dシネの情報から、腫瘍は呼吸性に移動しており臓側胸膜由来の腫瘍が疑われる(図5a、b)。図5cの画像より、腫瘍は血管とは同期しておらず栄養血管はないと考えられる。また、癒着が強いとひきつられるので有茎性の腫瘍であると予測ができる。4Dモーション解析では、カラーマップは腫瘍部位、肺底と同様の分布をしており(図6)、さらにDynamic VOIで解析したグラフを見ても肺と同じ動きを示していることがわかる(図7)。
以上により、胸膜腫瘍に対してPhyZiodynamicsを併用したCT動態撮影は有効であり、腫瘍の質的診断にもつながると言える。
図5 PhyZiodynamicsによる画像作成(呼吸器外科領域)
a:シネ矢状断像 b:シネ冠状断像
c:胸壁と血管と腫瘍の位置関係のVR
図6 モーション解析によるカラーマップ(最大吸気のフェーズ)
a:velocity b:displacement
図7 Dynamic VOIにてモーション解析をしたグラフ(上段:腫瘍部位、下段:肺底)
a:velocity b:displacement
まとめ
当院におけるZiostation2を使用した画像処理に関して報告した。Fusion処理はわれわれユーザーの意見を取り入れたものとなっており、臨床現場で活用している。PhyZiodynamicsに関しては、撮像の工夫次第で応用できる部位や疾病はあると考えている。画像処理は、われわれ診療放射線技師の腕の見せどころである。メーカーの開発したものを使いこなすのも一手であるが、「あれがしたい、これはできないの?」とユーザーとしてのわがままな声を上げるのもわれわれの使命と思っている。日々そういった姿勢で取り組んでいくことが、さらなるワークステーションの性能向上につながる。われわれの臨床画像に対するこだわりが、真の画像支援となり治療成績向上につながれば幸いである。
