New Horizon of 4D Imaging(ザイオソフト)
第76回日本医学放射線学会総会が2017年4月13日(木)〜16日(日)の4日間、パシフィコ横浜で開催された。ザイオソフト / アミンは15日に共催ランチョンセミナー16において、「New Horizon of 4D Imaging」を開催した。セミナーでは、森谷浩史氏(大原綜合病院副院長/画像診断センター長)を座長として、塚本信宏氏(さいたま赤十字病院)、山城恒雄氏(琉球大学医学研究科)が、“PhyZiodynamics”の有用性について報告した。
2017年7月号
JRC2017 ziosoft/AMIN Seminar Report New Horizon of 4D Imaging
閉塞性肺疾患の呼吸生理イメージング:PhyZiodynamicsを用いた呼吸ダイナミックCTの解析
山城恒雄(琉球大学大学院医学研究科放射線診断治療学講座)
近年、320列や256列といったCTの超多列化が進み、被検者の自由呼吸下に四次元的な胸部CTを撮影することが可能になった(呼吸ダイナミックCT)。従来の“吸気息止め”または“呼気息止め”の胸部CTに比して、呼吸運動そのものを直接的に観察することができる呼吸ダイナミックCTは、各種閉塞性疾患の病態解析や悪性腫瘍の術前診断などへの応用が期待されている。呼吸ダイナミックCTの解析のためには、すでに複数のソフトウエアが開発されているが、その中でも4DCTに特化したPhyZiodynamicsは、他のソフトウエアには見られない種々の機能を有し、呼吸ダイナミックCTの解析においても先進性の高いさまざまなデータを提供してくれる。
はじめに
320列CTスキャナ「Aquilion ONE」(東芝メディカルシステムズ社製)および256列CTスキャナ「Revolution CT」(GEヘルスケア社製)は、ともにガントリ1回転で頭尾方向に16cm長の撮影が可能である。通常、体幹部のCT撮影においては、64列CTを用いた場合3.2〜4cmの撮影長で寝台を頭尾方向に動かしながら撮影するヘリカルスキャニングが一般的であるが、これら320列、256列といった超多列CTを用いると、step-and-shoot法でも16cm長の撮影が可能であり(wide volume scanning)、さらにはガントリを同じ位置で連続回転させることによって16cm長の範囲内での透視画的なCT撮影が可能になっている(dynamic volume scanning)。一般的にはこのような撮影技法は心臓CTにおいて用いられるが、この撮影法を自由呼吸下の胸部CTに応用すると、胸郭、肺、気道の呼吸性運動を観察できる。このような4D胸部CT「呼吸ダイナミックCT」は、従来の“吸気息止め”“呼気息止め”の静止画としての胸部ヘリカルCTでは得られなかった、種々の新たな呼吸生理学的知見をもたらしてくれている1)〜4)。
呼吸ダイナミックCTに対するACTIve Study Groupの取り組み
私が所属する琉球大学放射線診断治療学講座は、日本国内の他の9施設(2017年5月現在)とともに、東芝メディカルシステムズ社の支援の下「ACTIve(Area-Detector Computed Tomography for the Investigation of Thoracic Diseases) Study Group」という共同研究グループを形成している。このACTIve Study Groupは、同社のAquilion ONEシリーズを用いて、胸部領域における先進的な診療・研究を行うことを目的としているが、逐次近似再構成法“AIDR 3D”を実用化後に、その大幅な線量削減効果を活用して、本格的に呼吸ダイナミックCTの臨床応用に乗り出すことになった。ACTIve Study Group内では、大原医療センター(福島市)、滋賀医科大学、大阪大学、琉球大学などで各種疾患の診療・研究において呼吸ダイナミックCTを活用している。ほかにも、私が非常勤講師として所属する聖マリアンナ医科大学でも積極的に呼吸ダイナミックCTが撮影されている。
呼吸ダイナミックCTの臨床応用
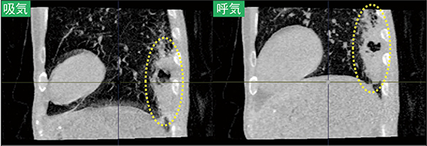
呼吸ダイナミックCTが特に威力を発揮する胸部疾患として、(1) 中枢気道の異常および奇異性運動の可視化(小児の先天性気道狭窄等)、(2) 胸部腫瘍の周囲臓器への癒着・浸潤の評価(肺がんの大動脈浸潤等)、(3) 慢性閉塞性肺疾患(COPD)や喘息等の閉塞性呼吸障害における気道・肺運動の評価などが挙げられる。聖マリアンナ医科大学でしばしば撮影される、小児の先天性中枢気道異常の呼吸ダイナミックCTでは、従来は喉頭ファイバーや気管支鏡でのみ観察可能であった、種々の異常な現象・呼吸性運動が確認されている。また、最もわかりやすく呼吸ダイナミックCTの有用性が示される領域としては、肺がんなどの悪性腫瘍が周囲の構造物へ癒着・浸潤しているか判定できることである。これはACTIve Study Group参加施設のみならず、多くの施設ですでに試みられているが、対象とする肺がん・縦隔内腫瘍などを深呼吸下に呼吸ダイナミックCTで撮影することで、周囲構造物へ癒着・浸潤がある場合には“腫瘍がすべらない”、癒着・浸潤がない場合には“腫瘍がすべる”ように見える点を活用するものである3)。単に悪性腫瘍のステージングのみならず、執刀医に対し術前に癒着・浸潤に関する正確な情報提供・注意喚起を可能にする点で有用性が高い(図1)。この呼吸ダイナミックCTを用いた胸部腫瘍の周囲癒着・浸潤は、例えば肺がんが大動脈に浸潤しているかどうかといった、場合によっては手術の適否自体を左右するような局面でも威力を発揮する。
図1 肺がんの呼吸ダイナミックCT(抜粋)
吸気から呼気で胸膜直下の大きな肺がん(黄破線)が胸壁直下を滑るように移動しており、壁側胸膜への癒着や浸潤が存在しないことがわかる。
呼吸ダイナミックCTによる閉塞性疾患の動態解析
COPDなどの閉塞性疾患は、これまで各種の画像モダリティにて放射線医学的な研究が進んでいる領域であるが、「実際に呼吸時にどのような異常な生理現象が肺・気道に生じているのか」という点においては、実験動物モデルの構築が難しいということもあり未解明な点が多くあった。実際のCOPD患者などにおいて、肺や気道の“生の呼吸運動”を唯一可視化できる呼吸ダイナミックCTは、従来の胸部CT、MRI、RI検査などを圧倒的に凌駕する情報量を含有しているものと思われる。しかし、呼吸ダイナミックCTの弱点の一つとして、従来のような3方向(横断像・冠状断像・矢状断像)のみでの観察では、対象物が観察面から呼吸運動により“ずれる”ことが挙げられる。したがって、呼吸ダイナミックCTをより効果的に活用するためには、観察対象物を追尾・追跡するような機能を有するソフトウエア・ワークステーションを活用することが望ましい。ただし、呼吸ダイナミックCTにおいて、観察対象物を追尾・追跡する機能を有するということは、まず各時相間における全ボクセルの移動を計算・registrationできているということであり、その天文学的な演算量を考えると実用化がきわめて困難なことは容易に推察される。現在のところ、呼吸ダイナミックCTを用いた解析対象物の動態解析を実用化・商品化できているのは、「4D Airways Analysis」(東芝メディカルシステムズ社)4)と「PhyZiodynamics」(ザイオソフト社)の2つである。
PhyZiodynamicsの先進性
呼吸ダイナミックCTの解析に用いられるPhyZiodynamicsは、全ボクセルのregistrationおよび、それによるtracking(追跡・追尾)機能に加えて、interpolation(補完)という独創的な機能を有している。これは心臓用の4DCT解析の技術に基づき、時相間のボクセルの動きを用いてさらに細かく時相を推測・再現する機能であり、このinterpolation機能を使うことによって、より低ノイズかつより滑らかに対象物を観察できる。このようなPhyZiodynamicsの機能が、閉塞性疾患の動態解析にどのように応用できるのか、ここでは「dynamic VOI(volume-of-interest)解析」および「strain mapping解析」に関して紹介する。
PhyZiodynamicsを用いたCOPDの病態解析
PhyZiodynamicsによるDynamic VOI解析だが、これは体積一定の球形VOIを肺内の任意の点に置くと、その中心点が呼吸ダイナミックCTの全時相で追跡され、VOI内の肺野濃度の自動計測ができる、というものである(図2)。VOI内の平均肺野濃度MLD(mean lung density)の変化は、吸呼気による肺容積の変化と等価であり5)、すなわち吸気時にはMLDが低下し、呼気時にはMLDが上昇する時間曲線を描くことができる。このDynamic VOI解析を、右肺3葉、左肺2葉において行ってみると、健常者においては当然ながらMLDの時間曲線はよく相似するが、重症COPDになると曲線の相似性が崩れ、各葉が時間的連動性を失ってバラバラに動く傾向があることが明らかになった(図3)。この結果は、学術論文として近日中に海外の学術雑誌より出版されるが、これまで種々の理学所見・画像検査などで明らかになっている、COPD患者での換気の不均一性・横隔膜の異常運動などに対応した、「肺葉の呼吸運動の同時性の消失」を世界で初めて明らかにしているものと考えられ、COPDの病態生理学的な画像解析において新たな扉を開いたものと確信している。
また、さらに進んだPhyZiodynamicsによる呼吸ダイナミックCTの解析として、strain mappingが挙げられる。この解析法は、基準の時相を設定した上で、時相の変化に伴って生じる、肺内の架空の六面体の“歪み度”を全肺にわたって表したもので、単なる移動量や回転量の成分を排した“最大主歪み”を表現するとされる。この解析法は、元は拍動下の心筋の異常運動を可視化するために開発されたものと思われるが、COPD患者の呼吸ダイナミックCTに応用することで、“肺の中の不均一な呼吸運動”を容易に可視化することができる(図4)。今後は、このstrain mappingを用いた、COPDなど各種閉塞性疾患の病態解析にも乗り出していきたいと考えている。
図2 PhyZiodynamicsによるDynamic VOI計測の例
図3 非COPD患者、COPD患者におけるDynamic VOI計測の結果(右上葉・右下葉のみ提示)
COPD患者では平均肺野濃度(MLD)曲線がほぼ逆の形態を示し、上葉と下葉の呼吸運動が連動していない。
図4 PhyZiodynamicsによるstrain mapping解析
非COPD患者よりもCOPD患者で肺の呼吸性運動の“歪み”が強い。
おわりに
超多列CTを用いた呼吸ダイナミックCTの臨床応用・研究に関して概説したが、未知・未解明の多くの呼吸運動が呼吸ダイナミックCTのみで可視化できることが明らかになりつつある。今後の研究、診療においては、PhyZiodynamicsなどの先進性の高いソフトウエア・ワークステーションが必須であり、ザイオソフト社や東芝メディカルシステムズ社の製品を嚆矢として、さらに発展した解析ツールが速やかに実用化されることを期待したい。
[参考文献]
1)森谷浩史・他:320列面検出器CTによる呼吸動態撮影とtracking技術の進歩. 映像情報Medical、47・11、70〜78、2015.
2)山城恒雄:胸部4DCT「呼吸ダイナミックCT」の臨床応用の可能性. 映像情報Medical、48・10、120〜124、2016.
3)Sakuma, K., Yamashiro, T., Moriya, H.,et al.:Parietal pleural invasion/adhesion of subpleural lung cancer ; Quantitative 4-dimensional CT analysis using dynamic-ventilatory scanning. Eur. J. Radiol., 86・2、36〜44, 2017.
4)Yamashiro, T., Moriya, H., Tsubakimoto, M.,et al.:Continuous quantitative measurement of the proximal airway dimensions and lung density on four-dimensional dynamic-ventilation CT in smokers. Int. J. Chron. Obstruct Pulmon. Dis., 11・1, 755〜764, 2016.
5)Yamashiro, T., Matsuoka, S., Bartholmai, B. J., et al. : Collapsibility of lung volume by paired inspiratory and expiratory CT scans ; Correlations with lung function and mean lung density. Acad. Radiol., 17・4, 489〜495, 2010.
- 【関連コンテンツ】
