技術解説(ザイオソフト)
2012年7月号
CT Colonography(CTC)による大腸がん診断
CT Colonographyのスクリーニング検査を支えるziostation2
清水 聡(マーケティング部)
近年,国内における女性の大腸がんによる死亡者数は,がんの中で最も高いと言われている1)。大腸がんの患者数も急増しており,ここ数年では部位別の総患者数としては肺がんを上回り2位になっている2)。大腸検診には内視鏡検査や注腸X線検査等があるが,スクリーニング検査として期待されている検査方法が,CT Colonography(以下,CTC)である。これはCT装置の進化と,ワークステーション(WS)装置におけるCTC用解析ソフトの進化,および検査方法の画一化による安定した検査画像の取得が可能となった影響が大きい。検査画像の評価も再現性が高くなり,診断に役立つ情報が十分に得られるようになってきた。本稿では,ziostation2の最新の「CT大腸解析」アプリケーションについて紹介する。
■画像処理・表示法
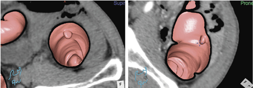
図1 air image
ザイオソフト社は,CTCアプリケーションの開発にあたり,早くから国立がん研究センター様を中心とするCTCタスクフォースに関与させていただき,CT装置で撮影された画像を効率良くスクリーニング検査できるように,十分な機能の実現を図ってきた。
CTC検査では,腸管内部の残液を完全に除去することが困難であるため,仰臥位と腹臥位,場合によっては右側臥位と左側臥位といったように2体位で撮影することで,所見部位の見落としを少なくする方法がある。当社の「CT大腸解析」では,一度に最大2体位を同時に読み込んで,比較表示を行うことが可能である。
患者リストからアプリケーションを起動すると,大腸のみが自動抽出されて,透過性をもつvolume renderingによる3D画像で,全体形状を確認できる。これを“air image”と呼んでおり,腸管の拡張状態や,不自然な狭窄の有無,壁の形状,さらに憩室の有無も観察することができる(図1)。不十分な拡張や,残渣等が多く存在することで,腸管の描出が途切れてしまうこともある。その場合は,画面上に腸管の中心線の端点を表示しており,任意の場所を簡単に結びつけることができる。
腸管内部の観察には,VE,MPR,VE+MPR,フィッシュアイビュー等の表示方法をサポートしている。特筆すべきは,独自開発によるVGP(Virtual Gross Pathology:仮想切除標本展開画像)表示である。当社は他社に先駆けてこの手法を実現し,改良を加えてきた。独自に開発した“補正円筒投影法”を用いて,歪みの少ない展開画像を実現したことで,大腸の屈曲に依存することなく,正確にひだの間隔や位置を再現している。この表示では,半月ひだの異常な太り方や隆起性の所見部位を確認することが容易である(図2)。従来は,仮想内視鏡表示で腸管を往復したり,視覚方向を変えながらでないと観察できなかった内腔全体を一度に観察することを可能としてるだけでなく,平面上に展開することで壁や屈曲等に隠れた病変も見つけやすい3)。平面的なポリープについても,光源を変えることで十分に病変を指摘できる4)。実際の読影実験でも,VGPでのスクリーニングは効率が良いという結果が出ている5)。
図2 VGP表示
VGPで異常を疑う所見部位は,3DのVEと2DのMPRを組み合わせた表示法(VE+MPR)により,所見部位の腸管外部への侵襲度の程度や,粘膜内外の形状,付近の血管走行の様子,リンパ節等を,MPR断面を移動しながら連続して観察が可能である(図3)。VE+MPR像は,壁の内側と外側を両方同時に観察することが目的となるために,MPRの移動は腸管の中心線に直行するMPR像が一般的に多く用いられる。しかしながら,腸管の屈曲が強いところでは,屈曲の外側のMPR像の移動ステップが内側より何倍も大きくなってしまい,細部を見落としてしまうことがある。当社は,このMPR移動ステップを0.3mmに設定することが可能で,その欠点を補っている。さらに,この表示では,腸管壁の肥厚や憩室の詳細な確認も容易である。また,残渣かどうかの判断にも有効となる。このほかVE表示では,実際の内視鏡像に近いスコープビューに切り替えることもできる。
図3 VE+MPR像
■タギング前処置法とデジタルクレンジング法
2体位表示による所見部位の見落としの軽減について先に述べたが,CTC検査をルーチンで行い,安定して十分な評価を得られる画像を得るためには,撮影のための前処理をルーチン化して,安定したCT画像を取得することが重要になる。そのためには,腸管内部の残液(異物)を取り除く必要があり,通常は内視鏡検査や注腸X線検査と同様の前処理を施す方法がある。内視鏡検査の場合はゴライテリー法と言われ,腸管洗浄剤として等張液を服用し,大量の飲水で腸管を拡張させて残渣を洗い流す方法である。注腸X線検査の場合はブラウン変法と言われ,検査前日から低残渣食を摂り,高張液の下剤を服用することで体内の水分を腸管内に吸収して腸管を拡張させ,残渣を排泄させる方法である。どちらにも欠点はあり,また,CTCは内視鏡検査や注腸X線検査と違い,検査中に残渣を吸引することができないので,さまざまな手段が検討されている。
そこで注目されているのが,タギング前処置法である。造影剤を腸管内部に注入することで,残液部分のCT値を強制的に高くする(印をつける)ことができる。この残液部分をWS側で自動的に認識して削除するのがデジタルクレンジングという機能である(図4)。当社でもこの機能を搭載しており,表示中にON/OFFの切り替えがスムーズに行える。体位によっては残液に沈んでしまう所見も,残液を取り除くことで観察が容易となる。先述のair imageでは,残液が残った所では腸管の一部が欠損像となってしまうが,デジタルクレンジング機能を利用することで,air imageでも正確な腸管壁の形状を観察することが可能になる。
図4 デジタルクレンジング
■複数の表示法をリンク
数々の表示方法があるが,WSでは画像の観察法が施設ごとに適したワークフローと表示レイアウトが選べなければならない(図5)。当社は複数の表示方法を2体位で比較表示ができるように設計されており,さまざまなレイアウトをワンタッチで切り替えることができる。VGP,VE(VE+MPR/スコープビュー),air imageは,それぞれがリンクしており,VGP画像上でクリックすると,自動的に他の表示画像上で同じところにマークが表示される仕組みになっている。
図5 表示レイアウトパターン(3種)
所見部位は,マーキングをすることで自動的に記録される(図6)。2体位で撮影した画像間でマッチングが可能であり,所見レポートの作成へつながっていく。また,高さや長さ等の計測も可能である。
図6 関心領域とマークリスト
■CADへの期待
CTC検査による読影は,読影者の経験量にも左右されると言われる。診断できる医師の数も十分とは言い難い。CTCの診断支援機能として,これらの診断精度のばらつきを最小限にする手段として注目されるのがコンピュータによる所見部位の自動認識機能(CAD)である。当社でも現在その研究を進めている。CTCの検出精度が高まることで,より早期浸潤がんの発見率が高まるであろう。さらには,単に特徴,形状の認識だけではなく,粘膜下のCT値の解析も必要になると思われる。
当社はこれまでのように先端技術の開発に力を注ぎつつ,効果的なセミナーを開催し,CTC検査の普及に努めていきたい。
●参考文献
1) 厚生労働省大臣官房統計情報部 編 : 平成20年患者調査
2) 厚生労働省大臣官房統計情報部 編 : 平成22年人口動態統計
3) 富松英人・他 : 仮想内視鏡による消化管診断. 臨床画像, 24・3, 2008.
4) 飯沼 元, 松本和彦, 森山紀之・他 : CT Colonography大腸癌スクリーニングへの応用を目指して. 胃と腸, 43・6, 2008.
5) 富松英人, 飯沼 元・他 : 大腸3D画像の有用性. 新医療, 32・10, 2005.
【問い合わせ先】 TEL 03-5427-1921
