Zio Vision 画像の本質を診る(ザイオソフト)
2020年5月号
No.1
Ziostation2を用いた心臓の細胞外容積分画(ECV)解析
尾田済太郎(熊本大学大学院生命科学研究部画像診断解析学講座)
はじめに
超高齢社会の到来により,高齢心不全患者が顕著に増加することが予想され,「心不全パンデミック」とも称されている。今や心不全診療において,心臓CT,心臓MRIは欠かすことのできない検査ツールとなっている。心臓CTでは主に冠動脈を評価し,心臓MRIでは主に心筋を評価する。心臓MRIでの心筋評価では,遅延造影(late gadolinium enhancement:LGE)が確立した手法として広く普及している。近年では,心臓MRIのT1マッピングによる心筋細胞外容積分画(extracellular volume fraction:ECV)の有用性が示され,大変注目を集めている。一方,心臓CTでも遅延造影やECVの評価が可能となっている。本稿では,「Ziostation2」を用いたMRI,CTによる心筋性状評価について解説する。
心臓MRIによる心筋評価
Ziostation2では,心臓MRIによる心筋評価のアプリケーションとして,LGEイメージングに対応した“MR遅延造影解析”,T1マッピング解析に対応した“MR心筋T1マッピング”が使用可能である。
1.LGEイメージング
LGEイメージングは,細胞外容積が拡大した心筋線維化領域(主に置換性線維化)を可視化する確立した検査手法である1)。LGEイメージングは,LGEパターンによる疾患の診断,壁内LGE進展による心筋梗塞領域のバイアビリティ評価,LGE容積による重症度診断と予後評価において高いエビデンスを有しており,臨床診療で多用される。
Ziostation2のMR遅延造影解析では,LGE領域のBull’s eye表示,容積評価が可能である。正常心筋の信号強度と標準偏差から決定した閾値を基に,LGEのCore領域とGray領域を抽出し,それぞれの面積(容積)を測定することが可能である。LGEイメージングは視覚評価が一般的であるが,LGEを定量化することで,より客観的な診療方針の決定に寄与すると考えられる。
2.T1マッピング
LGEイメージングの限界として,(1) 軽度の心筋線維化は描出が困難,(2) びまん性心筋障害では過小評価となりうる,(3) 定量化が難しい,(4) 高度腎障害・透析患者ではガドリニウム造影ができない,が挙げられる。T1マッピングは,LGEイメージングの限界を補完できる検査法として注目を集めている。T1マッピングは,心筋ダメージの定量化が可能である点で特に臨床的な実用性が高く,米国心臓血管MR学会(SCMR)は,T1マッピングを心臓MRIの標準プロトコルに組み込むことを推奨している2)。
T1マッピングには,造影剤を使用しない「Native T1」と,造影剤を使用して評価する「ECV」の2つの指標が用いられる。Native T1は細胞内と細胞外の情報を包括しており,ECVは細胞外の情報を反映している。Native T1はガドリニウム造影剤を使用しないため,腎機能障害を有する症例でも,心筋性状を定量的に評価することが可能であり,臨床的な実用性は高いが,施設ごとの基準値の設定が必要である。一方,ECVの基準値は23〜28%が用いられ,静磁場強度や撮像シーケンスなどの影響は小さく,安定した心筋性状の評価が可能である。
Ziostation2のMR心筋T1マッピングは,簡便な操作により短時間でNative T1とECVのカラーマップ表示が可能である。カラーマップで観察することにより,心筋ダメージの程度や分布を視覚的に評価でき,病態の理解や病勢モニタにも有用である。Ziostation2では,非剛体位置合わせを適用することで元画像の位置ズレを補正し,精度の高い評価を実現している。
現時点で,T1マッピングの臨床診療上の有用性が確立している疾患として,心アミロイドーシス(図1),心ファブリー病(図2),心筋鉄沈着,心筋炎が挙げられる2)。特に心アミロイドーシスでは,Native T1とECVが共に極端な異常高値を示すことが多く4),T1マッピングの有用性はきわめて高く,「2020年版心アミロイドーシス診療ガイドライン」においても推奨グレードA(勧められる)となっている。
図1 MR心筋T1マッピングによる心筋評価:心アミロイドーシス
心筋壁のNative T1〔平均1480ms(施設基準値1230ms)〕とECV〔平均61%(基準値23〜28%)〕が,びまん性かつ顕著な異常高値を示している。ECVが40%以上を呈する場合は心アミロイドーシスを強く疑う必要がある3)。
図2 MR心筋T1マッピングによる心筋評価:心ファブリー病
ファブリー病の家族歴あり。Native T1は不均一に短縮(カラーマップの青領域)しており,脂質沈着が示唆される。後側壁にはNative T1の延長(カラーマップの赤領域)があり,心筋線維化を生じていると考えられる。
心臓CTによる心筋評価
心臓MRIは,(1) 検査時間が長く,(2) 撮影法が煩雑,(3) デバイス埋め込み症例では実施しにくい,(4) 透析患者ではガドリニウム造影ができないなど,臨床的実用性の点で心臓CTに劣る。実際,日本循環器学会の実態調査でも,心臓MRIの検査数は横ばいなのに対し,心臓CTの検査数は増加の一途であり,実用性が高い。こうした現状から,近年,心臓CTによる心筋評価の実用化が進められている。
Ziostation2では,心臓CTの心筋評価のアプリケーションとして“CT心筋遅延造影解析”と“CT心筋ECV解析”が使用可能である。
1.CT遅延造影(late iodine enhancement:LIE)
CT遅延造影は,造影平衡相における心電図同期撮影を行うだけのシンプルかつ実用的な手法である。MRIと比べてコントラスト分解能が劣るが,近年では,低管電圧撮影技術やdual energy撮影の仮想単色X線低エネルギー画像の活用によりコントラスト分解能が大きく向上し,実用化のレベルにある。冠動脈CTに遅延造影撮影を追加することで,付加的な情報を得ることができる(図3)。
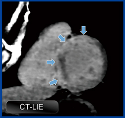
図3 CT遅延造影:心サルコイドーシス
胸部不快感と不整脈の原因精査のため,心臓CTが施行された症例。冠動脈に有意狭窄はなかったが,CT遅延造影にて前壁から中隔の外層優位に広範なLIEを認めた。その後,心サルコイドーシスの診断に至った。
2.心臓CTによるECV評価
CT遅延造影の画像を使用することで,ECVの評価が可能であり,心臓MRIのECVと同等の結果を得ることが期待できる。ECVの算出法には,通常のsingle energy CTで実施可能な心筋造影効果に基づいたサブトラクション法と,dual energy CTでのヨード密度値に基づいたヨード法があり,いずれも同等の値を示すとされる5)(図4)。ECV評価は潜在性心アミロイドーシスの検出に特に有効であり,心アミロイドーシス診療ガイドラインでも紹介されている(図5,6)。Ziostation2は,サブトラクション法とヨード法のいずれにも対応している(ヨード法はW.I.P.)。
図4 心臓CTによるECV評価:サブトラクション法とヨード法
図5 心臓CTによるECV評価(サブトラクション法):心アミロイドーシス
通常の心臓CTにECV解析を追加し,ECVの著明高値(カラーマップの赤領域)を認める。その後,心アミロイドーシス(変異型ATTR)の診断に至った。
図6 心臓CTによるECV評価(ヨード法):心アミロイドーシス
dual energy CTのヨード法でECV解析を実施し,ECVが著明高値(カラーマップの赤領域)を示した。その後,心アミロイドーシスの診断に至った。
おわりに
遅延造影とECVの評価は,今や循環器診療に不可欠な指標となっている。心臓MRIのT1マッピング(Native T1とECV)は,ルーチン検査の位置づけと考えるべきである。また,心臓CTでもMRIと同等の遅延造影/ECVの評価が可能となりつつあり,実用性の高い検査ツールとして期待される。Ziostation2はMRI,CTいずれの遅延造影/ECVにも対応しており,臨床活用のポテンシャルは非常に高い。
●参考文献
1) Mewton, N., Liu, C.Y., Croisille, P., et al. : Assessment of myocardial fibrosis with cardiovascular magnetic resonance. J. Am. Coll. Cardiol., 57(8) : 891-903, 2011.
2) Messroghli, D.R., Moon, J.C., Ferreira, V.M., et al. : Clinical recommendations for cardiovascular magnetic resonance mapping of T1, T2, T2* and extracellular volume : A consensus statement by the Society for Cardiovascular Magnetic Resonance(SCMR) endorsed by the European Association for Cardiovascular Imaging(EACVI). J. Cardiovasc. Magn. Reson., 19(1) : 75, 2017.
3) Dorbala, S., Ando, Y., Bokhari, S., et al. : ASNC/AHA/ASE/EANM/HFSA/ISA/SCMR/SNMMI expert consensus recommendations for multimodality imaging in cardiac amyloidosis : Part 1 of 2-evidence base and standardized methods of imaging. J. Nucl. Cardiol., 26 : 2065-2123, 2019.
4) Fontana, M., Banypersad, S.M., Treibel, T.A., et al. : Native T1 mapping in transthyretin amyloidosis. JACC Cardiovasc. Imaging, 7(2) : 157-165, 2014.
5) Ohta, Y., Kitao, S., Watanabe, T., et al. : Measurement of Myocardial Extracellular Volume Fraction From Iodine Density Images Using Single-Source, Dual-Energy Computed Tomography : A Feasibility Study. J. Comput. Assist. Tomogr., 41(5) : 750-756, 2017.
