SCENARIA View Plus(シナリア ビュー プラス)
富士フイルムメディカル
CT 64列/128スライス
求められる検査をひとりでも多くの方へ

短時間で全身を検査できるCT検査は,
診断,治療,救急時など幅広いシーンで利用され,
今日の医療現場では欠かすことができない検査です。
一刻を争う状況下にある患者さまにも
より精度の高い画像診断を,よりスピーディにお届けするために。
富士フイルムの経験とAI技術で,CTをより使いやすく。
特長<1>
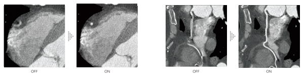
Body StillShot “抑える技術” がより高精度な臨床診断を支える
Body StillShotは,収集したRawDataから被写体の動く方向と量を4次元的に算出する際に,体軸方向の連続性を広範囲に維持することで動きによるブレの少ない画像を提供します。
特長<2>
Cardio StillShot 心臓の動きによるモーションアーチファクトを抑える
Cardio StillShotは心臓CT検査で収集したRawDataから被写体の動く方向と量を4次元的に算出し,画像再構成時に補正を行うことで最高28msec*1の実効時間分解能を実現します。心拍の高い方でも動きによるブレの少ない高精細な臨床画像を提供します。
特長<3>
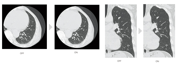
富士フイルムの経験とAI技術の活用により,被ばく低減と視認性を両立
IPV*3はAI技術を活用して開発した画像再構成技術です。充分な反復処理により得られる画像を教師データとして,高精度の処理を高速化しました。
特長<4>
新しいワークフローソリューション SynergyDrive
チーム医療を支え続けてきた富士フイルムだからできたAI時代のワークフローソリューション。Deep Learning等の技術*2を活用したワークフロー支援機能により診療の効率化と質の向上が期待できます。
特長<5>
再現性の向上と設定時間の短縮
Deep Learningを活用して開発した技術*2で,天井に取り付けた3Dカメラ画像を基に寝台上の人体の特徴点を検知し,ワンボタンで垂直・前後・左右の3次元方向のセッティングを行います。頭部,胸部を含む合計14種類に適用し,様々な体位に対応します。
特長<6>
富士フイルムグループの画像処理技術
富士フイルムがこれまで培ってきた画像処理技術を,CT装置本体にも搭載し解析機能を充実。また,SYNAPSE VINCENT Core*4と連携することで,CT装置が撮影で占有されている場合でも,解析処理のスループット向上が期待できます。
*1 0.35sec/rot,Beam Pitch 0.1719の場合
*2 AI技術のひとつであるDeep Learningを活用して開発した機能です。導入後に自動的に装置の性能・精度が変化することはありません。
*3 IPVはIterative Progressive reconstruction with Visual modelingの略称です。AI技術のひとつであるMachine Learningを活用して開発した機能です。導入後に自動的に装置の性能・精度が変化することはありません。
*4 SYNAPSE VINCENT Coreは,SYNAPSE VINCENTの解析機能のうち,放射線科領域で利用頻度の高い解析機能を集約し,当社のCT/MRIにカスタマイズしたエディションです。
3D画像解析システム SYNAPSE VINCENT 販売名:富士画像診断ワークステーション FN-7941型
認証番号:22000BZX00238000 製造販売業者:富士フイルム株式会社
・ガントリ
・寝台
・コンソール
ハードウェア:
ガントリ開口径800mmφ
寝台横スライド±20mm
ガントリ傾斜角±30度
ソフトウェア:
Body StillShot(オプション)
Cardio StillShot(オプション)
AI技術を活用して設計された画像再構成IPV(最大 83% 被ばく低減)
SynergyDrive(自動位置決め AutoPose ほか)
自動ポジショニング機能 AutoPositioning(オプション)
はみ出し補正Full FOV scan
体動補正BGC
金属アーチファクト補正HiMAR Plus 他
詳細については営業担当者へお問い合わせください。
3D画像解析システム SYNAPSE*1 VINCENT*2 Coreほか
詳細については営業担当者へお問い合わせください。
*1 SYNAPSEは富士フイルム株式会社の登録商標です。
*2 VINCENTは富士フイルム株式会社の登録商標です。
全国にサービス拠点を設置しており,お客さまの身近でさまざまなニーズにお応えする最適なソリューションを提供しています。
サービスエンジニアによるオンサイトでの装置・システムの維持やトラブルの未然防止,万一のトラブル発生時の迅速な対応はもちろん,インターネット回線を利用したSentinelカスタマーサポートがさらにきめ細かいサービスをお届けします。
●お問い合わせ先
富士フイルムメディカル株式会社
東京都港区西麻布2-26-30 富士フイルム西麻布ビル
TEL 03-6419-8033(代)
https://www.fujifilm.com/fms/
医療機器認証番号:230ABBZX00027000
SCENARIA View Plusは、操作卓CT-OC-23B搭載モデルの呼称です。
