RSNA2018 ケアストリームヘルス - AI
サードパーティAIに加えて自社開発を進めて最適な読影環境の構築をめざす
2018-11-29
読影業務を支援するAIの自社開発(W.I.P.)を発表
RSNA 2018 AI
Carestream Health(ケアストリームヘルス)は,昨年のRSNA2017でAIによる画像解析アルゴリズムを提供するゼブラ・メディカル・ビジョン(以下,ゼブラ)社のPACSへのインテグレーションを発表した。今回は,それに加えて自社開発のAI技術をCCPに搭載することをアナウンスした(W.I.P.)。同社のAI開発は,AIの解析をいかにPACSやレポートシステムに統合し,読影の生産性の向上やいかに質を高めるかに焦点を当てて開発を行っている。
ゼブラ社のAIのインテグレーションについては,さらに統合を進めて,ビューワ上のゼブラのAIのウィジェットで解析した結果を,PACS上にブックマークとして登録する機能を追加した(W.I.P.)。結果は同様にレポートにも反映されるようになっている。
ゼブラ社のAIはウィジェットのスタイルで画面上に表示
解析結果をPACSやレポートにブックマークとして反映(W.I.P.)
自社開発のAIは,1) Diagnostic Aide,2) Head & Neck Vessel Analysis Protocol,3) CTにおける自動でのLung nodule(肺結節)の自動抽出,4) CTにおけるSpine labelingの自動化の4つ(すべてW.I.P.)。Vue PACS Clientは,以前から過去検査や異なるモダリティ間の自動位置合わせ(Registration)や肺や肝臓領域での病変管理機能(Lesion Management)などボリュームデータで管理することで,自動処理によって読影をサポートする機能が充実している。AIの搭載はそれをさらに強化するもので,データをバックグラウンドでAI解析サーバに転送し,結果をビューワやレポートに表示する。
1) Diagnostic Aide
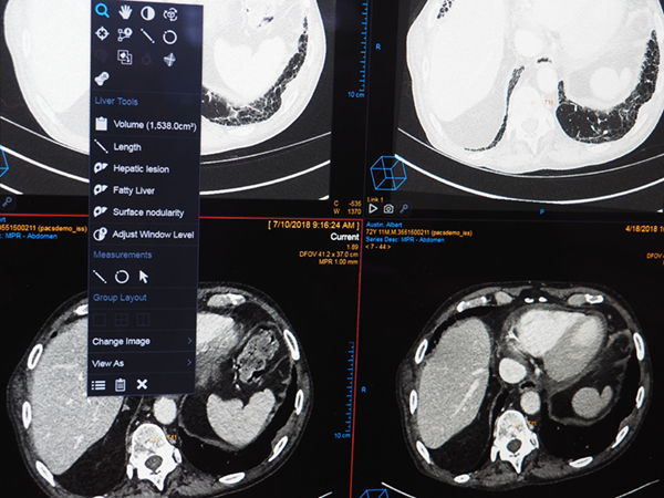
診断補助(Diagnostic Aide)として,腹部領域でCTのアキシャル画像から臓器のセグメンテーションと自動認識を行う。肝臓や腎臓といった臓器を自動で判別し,その臓器に合った測定ツールを提示する。腹部の病変の自動抽出と計測を行い,計測結果は自動でレポートシステム(Vue Reporting)に反映される。レポートのテキストはハイパーリンクとなっており,ビューワの病変部とのリンクがつけられるほか,計測データはダイナミックに変化する。
2) Head & Neck Vessel Analysis Protocol
頭頸部の血管を自動的に認識して抽出を行うプロトコール。対象となる画像データについて,バックグラウンドのAIサーバで処理を行うため,従来,血管の抽出に90秒程度かかっていた処理が瞬時に終了する。
3) CTにおけるLung nodule(肺結節)の自動抽出
胸部CT画像で肺結節を自動で認識し抽出。計測結果はレポートに自動で反映される。従来のビューワでは,結節の選択や計測はセミオートで読影時に選択する必要があったが,AIの自動認識技術で自動化し,計測も自動で行われる。読影医は選択された結節の採否を判断するだけでよく,診断業務をサポートできる。
4) CTにおけるSpine labelingの自動化
椎体のラベリングをバックグラウンドで自動で実行し,画像上に表示する。
ケアストリームヘルスでは,AI技術のPACSやレポートシステムへの搭載について,開発を進めながらユーザーからのフィードバックを反映して,効率的かつ質の高い読影の実現に向けて最適な統合の形を追究していくことをアピールした。
Diagnostic Aide(W.I.P.)。臓器のセグメンテーションと自動認識を行い測定ツールを表示。
Diagnostic Aide(W.I.P.)。腎臓を自動認識して臓器に合わせた測定ツールが表示されている。
Diagnostic Aide(W.I.P.)。計測結果は自動でレポートに反映。数値はインタラクティブに変化する。
Head & Neck Vessel Analysis Protocol(W.I.P.)。頭頸部画像からバックグラウンドでAIが血管を認識して瞬時に表示する。
CTにおける自動でのLung nodule(肺結節)の自動抽出(W.I.P.)
CTにおけるSpine labelingの自動化(W.I.P.)

