Canon Clinical Report(キヤノンメディカルシステムズ)
2014年12月号
循環器専門クリニックに80列CTを導入し外来で冠動脈の即日検査を提供 〜高速撮影と画像処理で循環器疾患の予防から治療までサポート〜
長崎市・はまのまちハートクリニック
80列CTで冠動脈CTをルーチン検査に活用
坂井秀章理事長(中央左)と放射線科スタッフ
長崎県長崎市の“はまのまちハートクリニック”は、同じく長崎市内で心臓疾患に対するPCIや下肢静脈瘤治療など循環器専門の診療を行う“ながさきハートクリニック”の外来や検査を行う施設として、2014年6月にオープンした。同クリニックでは、東芝メディカルシステムズの80列CTである「Aquilion PRIME/Focus Edition」を導入。外来のルーチン検査で冠動脈CT撮影を行い、その日のうちに結果まで提供する即日検査体制を構築している。循環器専門クリニックとして、日常診療の中での心臓CT検査を展開する診療の現況を取材した。
坂井秀章 理事長 |
福原雅夫 院長 |
井川昌之 部長 |
白山省吾 主任 |
アーケード商店街の真ん中に循環器専門クリニックをオープン
“はまのまちハートクリニック”は、長崎市で一番の繁華街である浜町アーケード街の商業ビル3階にオープンした。同クリニックと本院である“ながさきハートクリニック”を運営する医療法人メディカル・セブンの坂井秀章理事長は、開設のねらいを次のように説明する。「2007年に立ち上げた“ながさきハートクリニック”では、19床の有床診療所ながら2つのカテーテル室や手術室、CTなどをそろえて心臓疾患に24時間365日対応して、多くのPCIを行ってきました。年々患者数が増加し外来が手狭になったことから、外来部門として診察と検査を中心に行う施設を新たに開設しました」
クリニックが入るビルは、長崎の老舗デパートである浜屋百貨店の向かいに位置し、1階は商店街になっている。4階にはメディカル・フィットネス 楽笑クラブを併設。心臓リハビリテーションなど医療と連携した専門的なリハビリやフィットネスまで提供する。また、2階の閉店した喫茶店のスペースを取得して、カフェレストラン「ハートラウンジ」を新たにオープンした。坂井理事長は、浜町地区での診療の展開について、「将来的には、このビルを心臓疾患を含めた予防医学の拠点とすることを考えています。これまでカテーテル治療を数多く手掛けてきましたが、その中で痛感したのは病気になる前からの予防の重要性です。食も含めた健康づくりからアンチエイジングまで、気軽に楽しみながら取り組めるように、交通の便が良く、多くの店が集まる繁華街の中心に拠点を設け、予防医学を展開することがねらいです」とコンセプトを述べる。
坂井理事長は、長崎市内の循環器専門病院の院長兼循環器内科部長としてPCIを中心とした診療を行っていたが、病院の経営方針の転換とそれに伴う休院によって、その診療を引き継ぐ形で独立。外来診療のみのハートクリニック設立を経て、2007年に心臓血管外科を併設し、カテーテル室、CT、入院施設などを整えた“ながさきハートクリニック”を現在地に開院した。“ながさきハートクリニック”では、開設当初から心臓疾患への24時間365日の診療を基本として、循環器内科でのPCIや心臓血管外科による下肢静脈瘤に対するレーザー日帰り治療などを行っている。現在は、2つのカテーテル室で年間380件のPCIを行う(2013年実績)。
長崎一の繁華街の商業ビルに新規オープン。 |
心臓リハビリなどにも対応する |
外来で心臓CT検査を可能にする高速処理とアプリケーション
“はまのまちハートクリニック”の診療の現状について福原雅夫院長は、「胸痛などの症状で直接来院される患者さんや、狭心症疑いなどで開業医から紹介される新患の割合が多くなっています。診療では、CT検査を含めて当日の患者さんには、その日のうちに検査から結果説明まで行うスピード感を大切にしています。当日に結果までわかることから、離島から船で来院されて、その日のうちに帰られる患者さんもいます」と説明する。外来は1日約80人、診察は午前と午後のほか、週4回17時半からの夜間診療も行っている。
同クリニックでは、Aquilion PRIME/Focus Editionが開院と同時に稼働した。本院では、2007年の開院当初から東芝メディカルシステムズのAquilion64を使用しており、そのメンテナンスやサービスへの評価が高かったことも同社製のCT導入につながった。その中で、Aquilion PRIME/Focus Editionを選択した理由について、坂井理事長は次のように語る。
「新しいクリニックのCTに求めたのは、スクリーニングの役割です。心臓に不安を持って来院された患者さんに対して、短時間で正確に治療方針を判断できることが重要であり、循環器専門クリニックとしての必要な情報とコストとのバランスを判断して、Aquilion PRIME/Focus Editionを導入しました」
同クリニックのCT検査件数は1日10件程度で、冠動脈CTが7〜8割を占める。冠動脈CTについては、ほとんどが予約なしの当日検査で、検査から3D解析、結果の提供までその日のうちに対応している。医療技術部の井川昌之部長は心臓CTの運用について、「問診と診察、心電図検査を行った上で、医師が必要と判断すればCT検査を行います。造影検査を行って即日に結果まで提供するように検査を行っています」と説明する。
Aquilion PRIME/Focus Editionによる心臓CTのメリットについて福原院長は、「CT検査を希望する患者さんも多く、適応を判断してできるだけ要望に沿えるようにしています。検査結果を3D画像を交えて説明することで、患者さんの理解も深まります」と評価する。
当日検査、即日結果提供で効率的な運用を実現
検査から画像処理、結果提供まで
2名のスタッフで当日検査に対応
同クリニックでの冠動脈CTは、まず単純撮影でカルシウムスコアを計測し、PCIに回すか、造影検査を進めるかを判断する。単純撮影を含めて検査時間は10分程度、画像処理を合わせても約30分で結果の提供まで行っている。CT検査を担当する放射線科の白山省吾主任は、本院の開院当初から64列CTでの冠動脈撮影に取り組んできた。Aquilion PRIME/Focus Editionでの心臓検査について、「ガントリの情報モニタであるi-Stationで息止め練習用のソフトを利用して、検査説明と息止め練習から撮影までを1人でできるようになりました。画像処理担当と2名で検査を進めることができています」とメリットを説明する。
Aquilion PRIME/Focus Editionでは、80列の検出器とガントリ回転速度の向上による撮影時間の短縮で、造影剤量が低減された。さらに、撮影では全検査でAIDR 3Dを使用しており、被ばく線量は64列に比べて半分以下になっている。心拍数は50後半を目標として、それより高い場合は医師の指示のもとβブロッカーを使用する。白山主任は、「息止めや撮影時間に合わせて造影剤量を設定していますので、撮影時間が3秒短縮すれば造影剤量は約10cc少なくなっています。被ばく線量についても、医師の意見を聞きながら画質を調整してSD値を最大限に落としています。さらに、心拍が安定している患者さんには、心電同期フラッシュスキャンシステムを用いることで、より少ない線量での撮影が可能です」と述べる。
画像再構成についても、Aquilion PRIME/Focus Editionでは高速処理が可能で、検査のスピードアップにつながっている。同時に3Dワークステーション(WS)もZiostation2を導入して画像処理能力が向上しており、下肢動脈の連続撮影では64列に比べて1/3の時間で処理が終了する。白山主任は、「CTの性能の向上とWSのバージョンアップで全体の処理能力が向上しました。冠動脈撮影でも検査が終了してから至適心位相を選択してWSに転送し、冠動脈の処理を行っていますが、以前と比べても作成時間が短縮しワークフローが改善しています」と述べる。また、Ziostation2は本院とネットワークで接続されており、同クリニックで撮影したCTデータを本院側で処理することが可能になっている。白山主任は、「緊急検査が重なってこちらだけでは対応できないときでも、本院のスタッフがカバーすることができます。その逆も可能で、それによって以前と変わらないスタッフ数で運用が可能になっています」と述べる。同クリニックと本院を合わせて現在、3名の診療放射線技師で運用している。
心臓の画像については、静止画サーバに10°ごと360°回転したVRとCPRを保存して電子カルテ上で参照できるようにしているほか、理事長、院長の診察室にはZiostation2の端末を設置して直接参照が可能になっている。
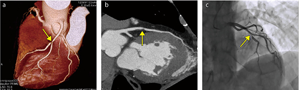
■Aquilion PRIME/Focus Editionによる冠動脈CT
69歳、男性 a:VR画像、b:CPR画像、c:血管撮影画像
早足歩行時に胸部に軽い圧迫感、動悸を主訴として来院。スクリーニングとして冠動脈CTを施行した。心電図ではST変化なしであったが、冠動脈CTではLADに高度狭窄を認めた(↑)。
予防医学まで見据えた循環器疾患への取り組みを展開
本院からの外来、検査の同クリニックへの移行は順調に進んでおり、CTの検査件数も増えているが、白山主任は、「冠動脈CTについては、件数が増えても対応できるように準備はできています。患者さんにより負担の少ない心臓検査が行えるように80列CTを活用していきたいですね」と、今後の取り組みについて述べている。
坂井理事長は、「多列化CTは循環器の診断カテーテルを代替する低侵襲検査として定着しました。今後、ステント留置後のスクリーニングが可能になる分解能や、造影剤を用いない冠動脈CTが可能になれば、より患者さんにやさしい検査が可能になると期待しています」と要望を述べる。
2つのハートクリニックを中心に、予防から治療まで幅広く展開する心臓疾患へのアプローチを、高速で低侵襲なCT検査が支えていく。
(2014年10月30日取材)
はまのまちハートクリニック
長崎県長崎市浜町8-13
仲見世8番街3F
TEL 095-893-8808
総合受付
- 【関連コンテンツ】
