Canon Clinical Report(キヤノンメディカルシステムズ)
2017年12月号
80列CTを導入し急性期医療から予防医学まで高いレベルの診断を提供して地域に貢献 〜高速撮影と大容量管球の搭載でフル稼働する日常検査をサポート
新河端病院
医療法人医修会新河端病院(河端博也理事長)は、内科、消化器外科、整形外科、放射線科などを標榜し、予防から救急医療まで地域に根ざした医療を提供している。同院では、2017年4月に4列CTをリプレイスして、東芝メディカルシステムズの80列CT「Aquilion Lightning / Helios Edition」を導入した。病床数99床ながら多くの診療科を有し、地域の患者の受け皿として健診から入院、手術、救急までカバーする同院の診療の概要と、80列CTの運用について、浅野恒一郎院長と放射線科の永田哲朗技師長に取材した。
地域の中核病院として予防、診断、救急医療までをカバー
京都市の南西に隣接する長岡京市に1972年に開設された新河端病院は、病床数99床、診療科は内科(循環器、消化器、呼吸器、神経、膠原病)、消化器外科、整形外科、リハビリテーション科、放射線科などで、急性期を中心に地域医療を担っている。長岡京市は人口約8万人、市内には村田製作所など企業本社や工場も多く、JRや阪急線で京都市内や大阪梅田まで15〜30分程度と利便性が良いことからベッドタウンともなっている。一方で、同市を含めた乙訓(おとくに)地域(向日市、乙訓郡大山崎町)には自治体病院はなく、高度な治療が必要な場合には済生会京都府病院(350床)などへの紹介となる。その中で、同院の地域での役割を浅野院長は、「当院は地域における急性期医療を担うべく、近隣の医療機関と連携しながら消化器や整形外科の手術、2次救急などに取り組んできました。また、健診センターでの予防医療にも力を入れています。設備やマンパワーの関係から最先端の治療が必要な場合には紹介が必要になりますが、その一歩手前の急性期から亜急性期医療に関しては幅広く対応できる体制を整えています」と説明する。
同院の外来は月平均約6500人、手術件数は外科、整形外科で月間60〜70件で、消化器センターでの内視鏡による検査や治療にも力を入れている。浅野院長は、「患者さんは近隣の住民が多く、地域の開業医からの紹介や検査依頼も数多く受けています。治療の部分では体制的に対応できるレベルに限りはありますが、早期発見は早期治療につながりますし、予防医療や他院への紹介など適切な治療を提供するためにも、高いレベルの診断機能を持つことが必須であり、診断機器については高度かつ最新の機器をそろえています。それによって開業医の先生方の信頼を得て、連携しながら急性期医療を提供していくことが当院の役割だと考えています」と説明する。
浅野恒一郎 院長 |
永田哲朗 技師長 |
レベルの高い診断の提供を目的に80列CTを導入
同院では、2006年から使用してきた4列CT(Asteion Super4)をリプレイスして、2017年4月に東芝メディカルシステムズの80列160スライスCTであるAquilion Lightning / Helios Editionを導入した。永田技師長はCTの更新について、「急性期病院として地域に貢献するという方針から、診療科も多く、院内のさまざまな診療科からの検査や、突発的な救急検査に迅速に対応し、断らない検査を基本としています。放射線科としても、それに対応するための機器をそろえていますが、その中でもCTは救急を含めて日々の検査の中で重要なモダリティになっています。今回、4列CTの更新に当たって、当院の診療体制に合ったスペックを持った機種が必要だと考え、最新の80列CTを導入しました」と述べる。
Aquilion Lightning / Helios Editionは、Aquilionシリーズの最上位機種で搭載されたX線光学系技術“PUREViSION Optics”や逐次近似応用画像再構成“AIDR 3D Enhanced”を採用し、金属アーチファクト低減技術の“SEMAR”などを標準搭載すると同時に、コンパクトなガントリにより最小設置面積9.8m2で設置できることも特長だ。今回のリプレイスでは、入れ替えの工事期間をできるだけ短縮することも機種選定のポイントだったと、永田技師長は次のように述べる。
「CTでは月間350件程度の検査を行っていますが、近隣施設からの依頼検査も2割程度あります。長い期間検査を止めるわけにはいきませんでしたので、短期間の工事をお願いしました。結果的に部屋・空調の改装なども含めて1週間で、4列CTと同じ部屋にリプレイスすることができました」
4列から80列への更新で診療報酬の面でも増収が見込まれるが、浅野院長は「中小病院にとってはスタッフの充実が財産であり、良い機器をそろえてモチベーションを向上し、誇り持って働ける環境とすることの意味が大きいです」とCTの更新に期待する。
ある1日の検査例
単純撮影から腹部の3相ダイナミック撮影までフル活用されている。
高速撮影と高画質を両立し整形や呼吸器などの依頼に対応
同院の放射線科のスタッフは、永田技師長を含めて5名が在籍する。
Aquilion Lightning / Helios Edition導入のメリットを永田技師長は、「ルーチンで0.5mmスライスでの検査が可能になり、最初から高精細なデータの取得ができます。腹部領域の検査目的で撮影した患者さんを、整形外科からのオーダで改めて骨関数で再構成して提供し、脊椎と股関節の診断を行うことも可能になりました。また、高齢の患者さんが多いため、撮影スピードの向上は息止め時間が短くなるなどメリットは大きいです」と述べる。
また、逐次近似応用画像再構成としてAIDR 3D Enhancedを搭載し、従来に比べて被ばく線量の低減が可能になった。同院では4列CTの時代から、撮影時に必要のない領域にはプロテクターを使用するなど被ばく低減には積極的に取り組んできた。永田技師長は、「AIDR 3D Enhancedでは、診断参考レベル(DRL)も参照しながら設定していますが、4列CTに比べて約1/3に線量低減されています。また、検査時に照射野に合わせたポジショニングを確認するなど、基本を守った検査を行うように徹底しています」と説明する。
Aquilion Lightning / Helios Editionでは、金属アーチファクト除去技術のSEMARが標準搭載されている。整形外科では、人工股関節置換術後のフォロー検査を行っているが、インプラントが留置されていてもSEMARによって関節周囲の観察が可能になったと永田技師長は評価する。
「現在は、SEMARで処理したものと両方の画像を提供しています。SEMARでは、金属アーチファクトがきれいに除去されて、従来はアーチファクトで見えなかったところまで確認できるようになりました」
放射線科スタッフ。5名体制で当直帯の検査にも対応する。
広範囲のダイナミック造影撮影など多様な臨床ニーズに貢献
同院では、頭から足先まで全身のCT検査をこなしフル活用していることが特長だ。1日約20件の検査を行うが、午前中を中心に腹部の造影検査、胸部単純、整形外科の関節撮影などを集中的に行っている。Aquilion Lightning / Helios Editionでは、撮影時間の短縮と画像再構成速度の向上で検査スループットが改善した。腹部領域では、肝臓がんの術後フォローアップでのダイナミック3相撮影を行っているが、永田技師長は、「4列の時には肝臓のみに絞ってダイナミック撮影を行っていたのですが、Aquilion Lightning / Helios Editionではより広範囲にカバーできるようになりました。管球容量も大きく、3 相のダイナミック撮影の検査が続いても問題なく検査ができています」と説明する。
循環器内科を専門とする浅野院長は、肺塞栓症や解離性大動脈瘤などのCT撮影では検査に立ち会い、その場で診断をすることも多い。浅野院長は、「当院は整形外科の患者さんが多いのですが、腰や下肢の骨折の術前術後で深部静脈血栓症や重篤な肺塞栓症に比較的多く遭遇します。CTによる診断では造影のタイミングが重要ですが、Aquilion Lightning / Helios Editionでは撮影速度が上がったことで広範囲を1回の撮影でカバーでき、胸部から下肢まで一連の画像として診断できるようになったことは大きなメリットです」と評価する。
■Aquilion Lightning / Helios Editionによる臨床画像
図1 大腿骨転子部骨折症例
SEMARを使用することにより、金属アーチファクトで評価が難しかった骨折線が明瞭に描出できている。
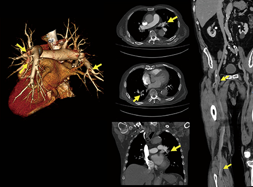
図2 肺塞栓症例
1回の造影で広範囲撮影が可能。肺塞栓および下肢静脈血栓の複数の所見を確認できた。
診断を中心に病院の機能を高め地域医療の中で役割を果たす
浅野院長は病院のこれからの方向性について、「80列CTの導入で高いレベルの診断を提供できる体制が充実しました。今後、医療環境はますます厳しくなることが予測されますが、予防医療や整形外科や消化器領域での幅広い疾患に対応することで、急性期病院として地域に根ざし信頼される医療を提供していきたいですね」と述べる。
急性期病院として地域の診断の要の役割を担う同院の診療を、80列CTが今後も支えていく。
(2017年10月30日取材)
医療法人医修会 新河端病院
京都府長岡京市一文橋二丁目31-1
TEL 075-954-3136

- 【関連コンテンツ】
