Canon Clinical Report(キヤノンメディカルシステムズ)
2019年9月号
MSK Solution No.3[US]
“エコーファースト”による早期診断と適切な運動療法でスポーツ選手の競技復帰を支援 〜Aplio i800の高精細画像が野球肘や肩障害の手術適応、リハビリの適切な評価に寄与〜
江戸川病院
社会福祉法人仁生社 江戸川病院(加藤正二郎院長)は、JR総武線小岩駅から車で5分、江戸川沿いに立つ418床の総合病院である。同院のスポーツ医学科は、岩本 航部長の下、リハビリテーションスタッフと連携して専門的なスポーツ診療を展開している。スポーツ医学科では、キヤノンメディカルシステムズの超音波診断装置「Aplio i800」を導入して、超音波検査を診療に積極的に取り入れている。MSK(整形領域)Solution第3回は、スポーツ医学における超音波診断装置の活用について岩本部長に取材した。
岩本 航 部長 |
チーム医療で競技者の高いレベルでの復帰をめざす
スポーツ医学科は、スポーツ障害・外傷を対象に専門的な診療を提供する“スポーツ整形外科”と、スポーツに伴う内科的障害の診療を行う“スポーツ内科”で構成されている。スポーツ医学科は、江戸川病院のほか、同法人のかつしか江戸川病院(東京都葛飾区)、メディカルプラザ市川駅(千葉県市川市)にも開設されており、連携してトップアスリートから学生まで、総合的なスポーツ診療を提供している。岩本部長はスポーツ医学科の診療について、「できるだけ早く正確な診断を行い、適切な治療を行うことで、高いレベルで競技に復帰できることをめざしています。総合病院の中の専門診療科のメリットを生かし、CTやMRIなども比較的早く検査可能ですし、治療では高気圧酸素療法などにも対応可能です」と述べる。
さらに、スポーツ医学科とリハビリテーション科が連携し、スポーツ整形外科に専属の理学療法士(PT)12名が配置されている。スポーツ選手の治療では、手術ではなく機能を回復させる保存的な治療が優先であり、PTなどのリハビリテーション科とのチーム医療が重要になる。岩本部長は、「骨折や腱の断裂など重篤な解剖学的破綻がある場合を除いて、治療は機能的な破綻を修復し元に戻すリハビリテーションが中心です。スポーツ医学科では、医師と専属のPTとがチームで診療し、医師による早期の診断とPTによる適切な運動療法で回復を図る体制を取っています」と説明する。
“エコーファースト”による即時診断と適切な治療を提供
スポーツ医学科では、外来の診察室に超音波診断装置を設置して“エコーファースト”で診療を行っている。岩本部長は超音波の活用について、「スポーツ医学科の医師は全員、超音波診断装置を診察室で使っています。明らかな骨折などを除いてまず超音波で確認し、X線撮影は行わないことも増えました」と説明する。スポーツ外来では、捻挫や脱臼、腱の損傷など、スポーツに伴うさまざまな疾患を対象とする。岩本部長はスポーツ診療における超音波の役割について、「超音波のメリットは即時性と可視化です。目の前で痛みを訴えている患者さんにその場でプローブを当てて画像を確認して、痛みの部位を画像化できます。整形外科の診療では、触診によって圧痛点を確認することが基本ですが、X線では軟部組織は画像化できません。MRIは画像化できますが、結果が得られるまで時間がかかります。超音波では、圧痛点を確認して組織の変化などを画像として確認でき、その情報を基に患者さんにフィードバックすることが可能で、患者さんとの信頼関係を築く上でも大きな武器になります」と述べる。
同院では、PTも超音波診断装置を活用しており、リハビリテーションの際に超音波画像を参照しながら施術を行う。岩本部長はPTが超音波診断装置を扱うメリットについて、「一つはやはり可視化で、腱や筋肉を直接触って行う自分たちの施術の効果をその場で確認できます。また、動きの中での引っかかりの状態を画像で確認できるなどの教育的効果もあります。医師とPTが同じ部位を画像で診ることで、適切な治療が行えているのか、施術の妥当性などを確認できるメリットがあると感じています」と言う。
理学療法士も超音波診断装置を活用し適切な
リハビリテーションを提供
高精細画像が手術適応や競技復帰の判断をサポート
スポーツ医学科には、2017年にAplio i800が導入された。スポーツ医学科では、さまざまなメーカーの超音波診断装置を使用しているが、岩本部長はAplio i800について、「最近の装置は性能が向上し、どこのメーカーでも通常の診断には問題ありません。しかし、さらにこだわった診断をしたい、より詳細に見たいと思った時にAplio i800の高精細画像が必要でした」と説明する。Aplio iシリーズは、“iBeam”技術による高画質、微細な血流まで描出する“iSMI(Superb Micro-vascular Imaging)”や“Smart Fusion”などの豊富なアプリケーションで超音波検査をサポートする。
岩本部長が、Aplio i800でこだわり、一番のターゲットとしているのが肘関節の軟骨の描出である。岩本部長は、NPO法人(江戸川スポーツ医学研究会)で少年野球選手を対象とした野球肘検診にも取り組んでいる。野球肘は投球障害肘とも呼ばれ、投球動作によって生じる筋や腱、靭帯などの障害や骨軟骨の外傷・障害である。部位によって、内側障害 、外側障害、後方障害に分類されるが、外側の離断性骨軟骨炎は軟骨やその下の骨がはがれることで、疼痛やロッキングなどの障害が発生する。離断性骨軟骨炎は、初期であれば保存的治療を行い経過観察を行うが、軟骨が剥離するなど進行している場合には手術が必要となる。岩本部長は多くの野球肘の症例を診療する中で、「従来の超音波診断装置では、軟骨部分は黒くなっていて内部の状態はわかりませんでした。軟骨の下にある骨(軟骨下骨)の状態を確認していましたが、Aplio i800では軟骨の内部が濃淡のある画像として確認できました。特に子どもの肘関節は軟骨が厚く、内部の状態がわかれば手術適応など治療方針の決定に寄与することが期待されます」と説明する。さらに、「スポーツ選手の診療で重要なポイントとなるのが競技復帰時期の判断です。いつから復帰できるのか、どの程度練習に参加してよいのかは選手にとっては重要な問題で、その判断のための情報は多い方がより適切な判断ができます。Aplio i800の高画質画像が有効な情報になるのではと考えて、症例を蓄積しながら検討しているところです」と述べる。
岩本部長は、肘関節の軟骨について、Aplio i800のSmart FusionでMR画像をリファレンスとした観察を数例行った。「MR画像とのフュージョンで、超音波画像で軟骨の状態がどれだけ評価できるかを検証するために行いました。実際の手術の際の解剖と比較しても、超音波画像の描出能は高いと思います。Smart FusionではMR画像を参照して同部位を描出することが可能です」。また、iSMIについても、「iSMIでは低速で微細な血流が描出可能で、腱の付着部などの症状が判断できるのではと期待しています」と述べる。
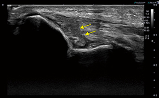
■Aplio i800による臨床画像
図1 離断性骨軟骨炎(野球肘) |
図2 肘内側側副靭帯(UCL)損傷 |
タブレット型「Viamo sv7」をスポーツ診療で活用
Viamo sv7は、タブレット端末型の超音波診断装置で、12インチの画面サイズで約1.2kgと軽量であり、バッテリーで約3時間駆動する。「試合などの現場では、軽くて画像が見やすいsv7は使い勝手が良いです。本体にカメラが搭載されていて、選手の顔や患部の写真が撮影できるのも、いろいろな状況に対応する必要があるスポーツの現場では有用性が高いと感じました」と言う。さらに、岩本部長は、スポーツ診療における小型の超音波診断装置を用いたPoint-of-Care Ultrasound(POCUS)については、「スポーツの練習や試合の場でのケガやアクシデントで求められるのは、その場で治療することではなく、すぐに病院に行った方がよいのかという判断です。POCUSを行うことで、より的確な判断ができるようになるメリットは大きいですね」と述べる。
タブレット端末型「Viamo sv7」の活用の様子。
フィールドに持ち出して(左)、その場で患部を確認(右)。
スポーツ診療の充実した体制をオリンピックのレガシーに
2019年のラグビー・ワールドカップ、そして、2020年の東京オリンピックと、日本でのスポーツのビッグイベントが続く。岩本部長は、「スポーツへの関心が高まることで、競技者や愛好家の人口も増えるでしょう。同時に、アスリートを支えるスポーツ医学の体制が充実して、オリンピックのレガシー(遺産)となることを期待しています」と述べる。
痛みをその場で可視化できる超音波診断装置は、高画質化や小型化が進むことでより多くの場面で活用され、スポーツ医学の領域に新たな知見を加える可能性が期待される。
(2019年6月25日取材)
社会福祉法人仁生社 江戸川病院
東京都江戸川区東小岩2-24-18
TEL 03-3673-1221
https://edogawa-hospital.jp/

