Canon Clinical Report(キヤノンメディカルシステムズ)
2020年2月号
ADCT+ダブルスライドCアームの最新式Angio CTをIVR領域の高度な治療に活用 〜ADCTの4D撮影やボリュームデータによって血行動態確認や正確なCTガイド下生検を実施〜
浜松医科大学医学部附属病院
浜松医科大学医学部附属病院(613床、金山尚裕病院長)は、1974年の設立以来、静岡県唯一の医科大学として優れた人材の育成、産学連携による独創的な研究の展開、先進医療の提供を行っている。同院に2019年3月、最新型の320列Area Detector CT(ADCT)の「Aquilion ONE」とダブルスライド式Cアームを採用した「Alphenix Sky+」を組み合わせた「Angio CT」が導入された。CTと血管撮影装置の最上位機種同士を融合した最新のAngio CTの運用について、放射線診断学・核医学講座の五島 聡教授とスタッフに取材した。
五島 聡 教授 |
牛尾貴輔 助教 |
川村謙士 医師 |
神谷正貴 技師長 |
野村孝之 主任技師 |
静岡県下唯一の医科大学として高度医療の提供と人材育成に注力
放射線診断学・核医学講座(診療科としては放射線診断科)は、主にCT、MRI、核医学の画像診断と血管内治療(IVR)を担当する。2019年4月に赴任した五島教授は、同講座について「人口370万人の静岡県の唯一の医科大学として、県西部を中心とする地域に対する高度な医療の提供と同時に、地域の放射線診療のニーズに応える放射線科専門医の育成に取り組んでいくことも使命です」と語る。
同院での血管内治療は、放射線診断科のほか、循環器内科、脳神経外科、血管外科などで行っている。放射線診断科では、体幹部領域を中心に肝細胞がん(HCC)に対する肝動脈化学塞栓療法(TACE)をはじめとして、頭頸部がんに対する動注化学療法、副腎静脈サンプリング、動脈瘤のコイル塞栓術、外傷に対する塞栓術などを行い、件数は年間300〜350件。放射線診断科では、13名のスタッフのうち7名がIVRを行うが、五島教授はIVRへの対応について、「スタッフには基本的に画像診断とIVRの両方に取り組んでもらいたいと考えています。両方に精通することで、画像診断の知識に基づいたIVRが提供でき、治療(インターベンション)を理解することで診療科との連携も深まります」と述べる。
神谷正貴診療放射線技師長は放射線部の体制について、「診療放射線技師は36名で、5つのグループに分かれています。IVRについては血管造影・手術室グループとして8名で、各科の血管内治療とハイブリッド手術室を含めた手術室業務に対応しています」と現状を説明する。
3世代目のAngio CTとしてADCTを搭載した最新機種を導入
血管撮影装置は3部屋(心臓、頭部、体幹部)とハイブリッド手術室に導入されているが、今回、体幹部用のAngio CTをリプレイスし、Aquilion ONEの最新機種と、ダブルスライド式Cアームを搭載した血管撮影装置Alphenix Sky+を組み合わせたAngio CTが導入された。同院では、1997年に最初のAngio CT(シングルCT)が導入され、2009年には16列CTにリプレイス、Angio CTは3世代目となる。牛尾貴輔助教は、「腹部領域ではTACEの件数が多かったことから、患者を移動せずにすぐにCTが撮影できるAngio CTを活用してきました。CT画像による栄養血管や塞栓範囲の確認が、精度の高い治療やストレスの少ない手技につながっていることが臨床科にも評価されています」と説明する。
Angio CTは、Aquilion ONEには“PUREViSION Optics”や“SEMAR”などを搭載した最新機種を採用し、血管撮影装置のAlphenixシリーズは“Rite”コンセプトの下に、16倍に拡大したダイナミックレンジを実現するなど大幅な画質の向上を図っている。五島教授はAngio CTについて、「1世代前の装置に比べ画質やワークフローが大きく向上しています。画質については、CT画像やDSA画像の空間分解能が高く細かい血管まで明瞭に描出されています。また、処理能力が向上しており、画像転送の時間や画像再構成から表示までのタイムラグがなくワークフローが改善されています。IVRでは、術者は常に一歩先を考えながらテンポ良く進めたいので、画像の待ち時間が発生しないのは重要なことです」と述べる。
また、同院には診断用CTにADCTがないことから、Angio CTのAquilion ONEの診断での利用も期待されている。牛尾助教は、「これまでCT Perfusionなどのオーダは診断用で稼働しているCTでは十分に対応できませんでしたが、ADCTの広範囲検査により使用用途が広がっています」と述べる。放射線部の野村孝之主任技師は、「循環器内科のPCIでステントの破損が疑われたものの、2管球CTでははっきりと描出されず、ADCTで破損状況が確認でき対処できた症例を経験しました」と述べる。Cアームのパーク機能によってスペースが確保できることで、CT単体としてIVR以外の領域の検査にも展開の可能性が広がっている。
ADCTとダブルスライド式Cアームが連動してIVRを支援。Cアームのパーク機能によるスペース確保や、コンパクトガントリの低いアイソセンターにより効率的な穿刺が可能。
ADCTの有用性を生かし効率的で低侵襲なIVRを実施
神谷技師長は最新型のCT装置について、「Aquilion ONEの面検出器の特性を生かした動態撮影は診断用CTとして大きなメリットですが、Angio CTとしても血行動態の観察などで臨床に有用な情報をもたらすことが期待できます」と述べ、HCCに対するCTAP/CTHA、肺動静脈瘻の血行路の評価などで4D撮影を活用している。牛尾助教は、Aquilion ONEが有効だった症例として、脊髄の硬膜動静脈瘻でIVRによる塞栓が可能か手術が必要かの判断を、CT Perfusionでシャンティングポイントやアダムキュービッツ動脈を確認し、IVRでは塞栓不可と判断して手術が選択された症例を挙げた。
同院では、IVRの治療としてCTガイド下生検や各種ドレナージを数多く行っているが、最新型のAquilion ONEでは、78cmの開口径を確保するほか、ガントリがコンパクト化されたことで従来よりもアイソセンターが低くなり、穿刺のための空間が確保しやすくなっている。野村主任技師は、「面検出器を生かすことで、穿刺の際にMPRを利用しながら斜め方向からアプローチができ、開口径は十分でした」と述べる。
また、3断面CT透視、ONE Shot CT透視、“Volume ONE Shot”CT透視が利用できることについて牛尾助教は、「以前のCTでは針先を少し進めては撮影して再構成していたので時間がかかり、患者さんの負担も大きくなっていました。Volume ONE Shotでは、16cmの幅を1回転で撮影してMPRを表示できます。表示までの時間も速く、術者として治療計画の際に従来のCTではあきらめていた難しい穿刺でもトライできるようになりました」と評価する。
■Angio CTによる臨床画像
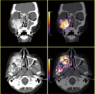
症例1 上顎洞がん、栄養血管の把握
腫瘍に対する栄養血管の塞栓治療時に、サブトラクション技術による“Iodine Map”が有用だった症例。Iodine Mapによって、腫瘍内に染まらない箇所が存在していることを客観的に把握でき、異なる栄養血管の関与が迅速に判断できた。ボリュームスキャンによって寝台を動かさず0.5秒で撮影が完結し、高速かつ安全な手技が可能であった。
症例2 肝細胞がんに対するTACE
DSA画像:TACEにおける血管造影にて、肝内の細かな末梢血管まで描出が可能 |
DTS(Dose Tracking System):手技中の患者皮膚入射線量をリアルタイムに可視化して局所線量の把握が可能 |
高画質・低被ばくの両立とDTSによる線量管理
最新型のAngio装置での被ばく低減について野村主任技師は、「以前から被ばく低減を考慮し、補償フィルタなどで低い線量での撮影を行ってきましたが、その分、画質が犠牲になっている面もありました。Angio CTでは、線量は下げながら画質は以前よりも良くなるようにキヤノンメディカルシステムズとも相談して条件を検討しました。運用から1年弱での検証では、Alphenix Sky+では2割程度、Aquilion ONEでは半分程度まで線量を削減できています」と述べる。手技を担当する川村謙士医師は、「画質は以前よりも向上しており、線量が下がった影響はまったくわかりませんでした」と述べる。
また、Angio CTでは手技の際に患者の皮膚入射線量をモニタリングする「Dose Tracking System(DTS)」を活用している。川村医師は、「手技の際には操作室のモニタに常時表示されているので、患者さんの被ばく状況が可視化され、注意しながら進めることができます」と述べる。被ばく線量については、医療法改正で2020年4月から“診療用放射線被ばく”として線量管理が義務化される。五島教授は、「病院としても管理体制の構築を進めていますが、最終的には患者さんにも線量管理について理解していただくことが改正の趣旨であり、今からDTSなどの機能を利用していくことが必要です」と期待する。
集約化と連携で地域の高度医療のニーズに対応
Angio CTのこれからについて川村医師は、「人工知能(AI)の自動認識技術を応用した血管の精度の高い自動検出」を挙げる。さらに牛尾助教は、「AI技術の応用によるTACEなどの教育用のコンテンツ」に期待する。五島教授は大学病院の今後の役割について、「医療費抑制、病院再編の流れの中で、病院には機能の集約化と、その上での医療連携が求められます。その中で大学病院は高度医療の提供が期待されますが、限られたマンパワーの中で自院だけでなく、地域全体の画像診断やIVRを担うことが必要です。そのためにも、まずは院内の機能を効率的に集約できるような体制づくりをめざしていきたいですね」と述べる。
CTと血管撮影装置が一体となったAngio CTの活用が大学病院の診療を支えていく。
(2020年1月7日取材)
浜松医科大学医学部附属病院
静岡県浜松市東区半田山1-20-1
TEL 053-435-2111
https://www.hama-med.ac.jp/hos/
- 【関連コンテンツ】
