Canon Clinical Report(キヤノンメディカルシステムズ)
2020年6月号
心臓から救急まで80列CTをオールラウンドに活用して地域密着の医療を展開 〜ディープラーニング画像再構成“AiCE-i”をルーチン検査に適用して低線量検査を提供〜
吉村病院
福岡市早良区の吉村病院(病床数57床)は、消化器外科、整形外科などを中心に救急医療を含めて地域に根づいた医療を展開している。同院では、救急医療や心臓などの検査環境の充実のため、2020年2月にキヤノンメディカルシステムズの80列CT「Aquilion Prime SP / i Edition」を導入した。心臓CTを含めた幅広い検査に対応した運用と、深層学習(ディープラーニング)を用いて設計された画像再構成技術“Advanced intelligent Clear-IQ Engine-integrated(AiCE-i)”の評価について、吉村茂昭院長と放射線科の小湊祐作技師長、塚本洋介技師に取材した。
吉村茂昭 院長 |
放射線科・小湊祐作 技師長 |
塚本洋介 技師 |
“町医者”として地域に根ざした医療を提供
吉村病院は1946年に現院長の父・吉村欽二氏が“吉村外科醫院”として開業、以来、地域に密着した診療を提供し、現院長は三代目となる。現在は外科、整形外科、内科、消化器科、循環器科、泌尿器科、リハビリテーション科など診療科を拡充すると同時に、救急告示病院として24時間365日患者を受け入れている。吉村院長は、「開業以来、地域に根ざし住民が安心してかかれる“町医者”として診療を行ってきました。患者さんが困った時には、救急や手術などいつでも何にでも対応できるよう診療体制を充実させてきました。同時に、クリニックと大病院の間でスムーズな連携が行えるように高度な診断が可能な体制を整えています」と語る。
手術は、外科の急性虫垂炎や胆石症などの腹腔鏡下手術、整形外科の四肢骨折や腱縫合などを行う。また、病床は一般病棟57床で、在宅医療や地域連携を積極的に展開している。診療放射線技師は4名で、小湊技師長は画像検査について、「救急や緊急手術なども多いので、検査はCTのウエイトが高くなります。検査領域は、腹部と整形領域が多くを占めますが、そのほか胸部や頭部の検査もあり、患者層も子どもから高齢者までバラエティに富んでいるのが当院の特徴です」と説明する。
多様なニーズにオールラウンドに対応する最新80列CT
同院では、2020年2月に他社製16列CTをリプレイスしてキヤノンメディカルシステムズの最新型80列CTであるAquilion Prime SP / i Edition(以下、Prime SP)を導入した。CT導入について吉村院長は、「従来からの救急体制を強化したことがきっかけです。旧装置がリプレイスの時期にあったこともあり、心臓CTなど新たなニーズに対応できる装置への更新を検討しました」と述べる。
心臓CTについては、現在、非常勤医師による循環器内科の外来が週2回設けられているが、吉村院長は「当院の外来で冠動脈CTが可能になれば、専門病院への紹介や治療後のフォローアップが迅速にできます」とねらいを説明する。
機種選定では、価格だけでなく心臓CTを含めた幅広い検査に対応できる機能が重視された。広範囲かつ高速撮影、検査スループット、低被ばく撮影などがポイントとなったが、加えて検査室の拡張が難しく16列CTの部屋にそのまま設置できる省スペース性が条件となった。各社のCTを比較検討し、80列×0.35秒の高速撮影やコンパクトな設置性などを評価してPrime SPが導入された。選定を担当した小湊技師長は、「80列で心臓CTにも対応できる高機能とコストパフォーマンスの高さを評価しましたが、最終的にはディープラーニング再構成が使用できることが大きな決め手になりました」と述べる。
高い操作性と豊富な機能でワークフローが向上
Prime SPについて、塚本技師はキヤノンメディカルシステムズのCTの一貫した操作性を次のように評価する。
「前職場でのAquilion64から久しぶりに操作したのですが、基本的な操作や良いところをすべて継承しており、最新の装置にもかかわらずすぐに扱うことができました。キヤノンのCTの良いところは、誰が撮っても再現性が良く高いパフォーマンスを発揮できるところです。そのポリシーが評価され、九州地区でも高いシェアにつながっていると思います」
CTの検査件数はリプレイス後に約1.5倍に増加、救急車の受け入れ台数も約2倍になり月100台を超えている。吉村院長は、「旧CTでは救急での連続撮影に限界があり、運用のネックになっていましたが、Prime SPでは問題なく撮影できています。画質も大きく向上しており、経営効果に加え患者さんへのメリットも大きいでしょう」と評価する。
心臓CTは、導入後2か月半で10例を行っており、現時点で冠動脈CT撮影後、心カテに紹介した患者は3件あり、導入のねらいが現実のものとなっている。Prime SPでは、心臓CT検査について最適撮影条件をナビゲートする“Heart NAVI”、最適な心位相を自動検出する“Phase NAVI”などの機能が利用できる。心臓CTについて塚本技師は、「冠動脈が止まったタイミングを、確実に外さずに自動で選んでくれ、また、AiCE-iによる再構成はアキシャル画像での血管の輪郭はAIDR 3Dと比較すると一目瞭然にきれいになるので後処理が簡単で、これまでは100%の成功率です」と言う。また、小湊技師長は、「非常勤の循環器内科医も、Prime SPは新しいAiCE再構成により非常に高画質なので、心臓の撮影は当院でしたいと評価されています」と述べる。
撮影スピードや心電同期のONとOFFを2回切り替えることができるバリアブルヘリカルピッチ撮影について、塚本技師は、「息止めが難しい患者で、広範囲の撮影は画質劣化が避けられませんでしたが、ワークフローの向上と被ばく低減で患者負担を軽減しつつ、画質の維持ができています」と言う。また、塚本技師は、操作室のコンソールで寝台左右動の操作ができる“SUREPosition”について、「従来の他社製CTの自動化技術に比べて、目視で確認ができるためズレがなく確実にセッティングできます。特に、急患の際には、ある程度セッティングして、あとはSUREPositionで回転中心まで動かせるので、被ばくの低減、画質、ワークフローの向上につながっています」と述べる。
AiCE-iを用いた0.06mSvの超低線量肺がんCT検診を開始
AiCE-i は、ディープラーニングを用いることで、短時間でMBIR(Model Based Iterative Reconstruction)相当の大幅なノイズ低減効果と空間分解能の向上を可能にした画像再構成技術である。MBIRでも改善が困難な、低線量時の低コントラスト描出能において、安定した画質改善効果が得られる。また、アドバンストMBIRを教師画像としたDCNN(ニューラルネットワーク)を実装しているため、MBIR相当の高画質をより高速に提供できる。
同院では、AiCE-iによる再構成を頭部以外のすべての領域に適用し、CTの設定線量は以前の装置に比べ1/3~1/4程度になっている。小湊技師長は、「まずは画質の向上を優先して設定していますが、AiCEによってどこまで線量低減が可能か、ファントム実験や臨床科の医師と相談しながら取り組んでおり、さらに2〜3割は低減できると考えています」と述べる。
画質については、「AiCEではノイズ低減効果が大きく、特に腹部領域では医師からの画質への要求が厳しかったのですが、クリアしています。整形領域についても骨関数を用いてもバックグラウンドのノイズが低減することで、高精細な3D画像が短時間で提供できています」(小湊技師長)とのことだ。同院では、“Insta View”を、すべてのプロトコールに組み込んで再構成までに画像確認ができるようにしている。「当院では、救急だけでなく通常の検査でも、診療科の医師が検査に立ち会って画像を確認することが多いので、再構成処理前に簡易的に画像が確認できるInsta Viewのメリットは大きいですね」(塚本技師)と言う。
同院では、AiCE-iを適用した超低線量の肺がんCT検診プロトコールを作成した。同プロトコールでは、AiCE-iを適用することで、CTDIvolで0.1mGy、DLP4.8mGy・cm、実効線量0.06mSv程度で撮影が可能になった。小湊技師長は、「ほぼ胸部一般撮影と変わらない線量で撮影が可能です。診断能についても、専門医から通常線量にて検出された3mm以下の結節影も描出されており、全体の画質としても問題がないと評価をいただきました」と述べる。残念ながら2020年初頭から猛威をふるう新型コロナウイルス感染症(COVID-19)の影響で検診はストップしているが、同院ではCOVID-19の肺炎疑いの症例で胸部CT撮影を行っており、「早期の肺炎の徴候をCTで判断できます。胸部一般撮影では難しい症例においても、Prime SPの低線量撮影で低被ばくかつ精度の高い診断が可能です」(吉村院長)とのことだ。
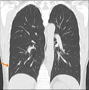
■Aquilion Prime SP / i EditionのAiCE-iによる臨床画像
図1 胸部検診撮影
CTDIvol=0.128 mGy、DLP=4.8mGy・cm、実効線量=0.06mSv
AiCE-i再構成で最大3mmの結節のほか複数の微小結節まで、通常CTで確認できたすべての結節を検出できた。肺野はもとより、肺尖部、肺底部もよく観察できる。縦隔も許容範囲と読影医から評価。
図2 下肢動脈造影
CTDIvol=3.6mGy、DLP=423.1mGy・cm
AiCE-i再構成により、低被ばくで、かつ末梢の血管まで描出能が向上している。
DoseXrossでの線量管理も含め低線量CT撮影を拡大
今回のCT導入に合わせて線量管理ワークステーション「DoseXross」が導入された。小湊技師長は、「個人線量管理として、また被ばく線量を分析することでDRLとの比較など被ばく線量の最適化を図るための線量管理を行います。これまでは手入力だったので、線量データの自動取得が可能になり負担が大きく軽減しました」と述べる。
小湊技師長はPrime SPについて、「320列CTならではの撮影を重要視しなければ、AiCE-iを搭載したPrime SPは、320列CTと比べてもコストパフォーマンスに優れた装置だと思います」と評価する。さらに、「臨床でのディープラーニングの活用はもう少し先で、それも320列CTなどフラッグシップCTでのことだと思っていましたが、こんなに早く、しかも日常の検査で使えていることに驚いています」(小湊技師長)と話す。
Prime SPが、地域に密着した市中病院での診療にもたらす効果が注目される。
(2020年4月30日取材)
吉村病院
福岡市早良区西新3-11-27
TEL 092-841-0835
http://www.yoshimura-h.jp

- 【関連コンテンツ】
