Canon Clinical Report(キヤノンメディカルシステムズ)
2021年6月号
90cmラージボアの80列CTを導入して高精度で先進の放射線治療を展開 〜最新のAIを用いたアルゴリズムで放射線治療の精度向上やワークフローの改善に期待〜
国立がん研究センター中央病院
国立研究開発法人国立がん研究センター中央病院(病床数578床、中釜斉理事長、島田和明院長)では、がんの標準治療として年間約3万5000件の放射線治療を行っている。2021年4月に放射線治療部門にキヤノンメディカルシステムズの80列大開口径マルチスライスCT「Aquilion Exceed LB」が導入された。90cmの大開口径ガントリの80列CTに最新のCT画像処理技術を搭載した治療計画用CTの運用について、放射線治療科の井垣浩科長、放射線技術部の麻生智彦部長ほか放射線治療部門のスタッフに取材した。
放射線治療科・ |
放射線技術部・ |
放射線技術部・ |
放射線品質管理室・ |
放射線治療技術室・ |
専門化した各部門が連携、協調して高度医療を提供
同院は、1962年開設のがん専門の特定機能病院であり、日本のがん診療・研究の中心を担う医療機関として最高レベルの医療を提供している。
放射線部門には診療部門と共通部門があり、診療部門には放射線診断科と放射線治療科がある。放射線診断科には27名、放射線治療科には14名の医師が在籍する。また、共通部門は放射線技術部と放射線品質管理室(品質管理室)があり、放射線技術部には診療放射線技師80名、品質管理室にはスタッフ(医学物理士、レジデント、非常勤職員含む)10名が所属する。また、放射線技術部には放射線診断技術室、放射線治療技術室、放射線安全管理室を設け、それぞれ診断、治療、放射線管理の業務に当たる。麻生部長は放射線部門の体制について、「診療と共通の4つの部門が、車の四輪のように専門性を発揮しながら、業務連携や情報共有をして高度で安心・安全な運営を行っています。車の四輪はどれか1つが欠けても走らないように、協調して診療を行っているのが特徴です」と説明する。
同院では、外部照射装置6台、小線源治療装置1台の体制で放射線治療を行う。外部照射装置は、汎用型リニアックが4台のほか、サイバーナイフ、MR画像誘導放射線治療装置(MRIdian)など最先端の装置が導入されている。同院での放射線治療について井垣科長は、「肺がんや乳がんなど5大がんの治療件数が多いですが、それに加えて骨軟部腫瘍や脳腫瘍、小児腫瘍など希少がんの治療数も多いのが当院の特徴です。高精度で安全な治療の提供と同時に、当院でなければできない新しい治療法にも取り組み、その成果を発信することも使命だと考えています」と述べる。
品質管理室は、強度変調放射線治療(IMRT)など高精度放射線治療の治療計画の作成、医師が作成した治療計画のチェック、治療関連装置の品質管理や物理的検証などを行う。品質管理室の役割と業務について岡本裕之室長は、「高度化する放射線治療を高い精度で安全に実施できるように、品質管理を中心に放射線技術部と連携しながらチェックすることが役割です」と述べる。
治療計画用CTとしてAquilion Exceed LBを導入
今回、Aquilion Exceed LBは治療計画用のCTとして導入された。治療部門には、320列の「Aquilion ONE」、16列の「Aquilion LB」3台が稼働するが、そのうち1台をリプレイスしたものだ。
Aquilion Exceed LBは、ガントリ開口径90cm、FOV70cm(最大90cmのFull FOV再構成が可能)を持ち、0.5mm×80列の検出器を搭載した最新の大開口径CTである。“PUREViSION Optics”など最新のX線光学系プラットフォームを採用するほか、金属アーチファクト低減技術“SEMAR(Single Energy Metal Artifact Reduction)”や、ディープラーニングを応用した画像再構成技術“AiCE-i(Advanced intelligent Clear-IQ Engine-Integrated)”を搭載する。治療計画用CTとしてAquilion Exceed LBへの期待を放射線技術部の勝田昭一副部長(放射線治療技術室室長兼任)は次のように述べる。
「治療計画用CTはラージボアが必須ですが、16列のAquilion LBではAquilion ONEで可能な画像再構成技術を利用できないジレンマもありました。今回導入したAquilion Exceed LBは待望の最新ラージボアCTであり、このようなストレスもなく利用できると期待しています」
同院とキヤノンメディカルシステムズは、Aquilion ONEをはじめとするCTの研究・開発を共同で進めてきた経緯がある。麻生部長は、「ラージボアCTについても、共同研究してきた経緯があり今回の導入につながりました。ラージボアでは、開口径が広いことから画質の低下や線量増加が懸念材料となりますが、AI技術を生かして高画質、低被ばくでの撮影が可能になることを期待しています」と述べる。
90cm大開口径と80列高速撮影のメリット
Aquilion Exceed LBの最大の特長が、90cmの大開口径ガントリだ。治療計画CTの撮影では、実際の照射に合わせた体勢での撮影が必要となるため、固定器具を装着した状態や挙上での撮影ができる開口径が求められる。さらに、正確な照射線量の計算には、身体の輪郭線がすべて撮影できるFOVが望まれる。岡本室長はラージボアについて、「VMAT(強度変調回転放射線治療)の回転照射では、体格のよい患者さんで腕など身体の一部が欠けてしまうと治療計画に影響があります。全身が撮影できるラージボアは精度の高い治療のためにも必要です」と評価する。
80列になったAquilion Exceed LBへの期待を放射線治療技術室の芝田祥宏主任は、「撮影スピードが速いことがメリットです。治療計画用CTは息止めで撮影しますが、肺がん患者さんなどで息止めが困難な場合や骨転移などで痛みが強い患者さんなど、できるだけ短時間で撮影できるのは負担の軽減にもつながります」と述べる。岡本室長は肺がんに対する小線源治療(brachytherapy)でのメリットを挙げる。気管支からのbrachytherapyでは、アプリケータを気管支に挿入した状態で、CT撮影から照射までを行う。岡本室長は、「撮影時間が短くなれば呼吸によるブレの影響を排除でき、治療計画の精度の向上が期待できます。また、治療開始までの時間も短縮できるので患者さんの負担軽減にもつながります」と述べる。
Aquilion Exceed LBでは、高精度の治療計画を実現するために、米国医学物理学会(AAPM)のTG66基準をクリアした、300kg耐荷重かつブレの少ない支持機構を搭載した寝台を採用した。芝田主任は、「動きが滑らかで直進性も高くなっています。剛性も高くガントリ内で寝台が下がる“たわみ”も少なくなっています」と言う。岡本室長は、「高精度放射線治療ではミリ単位の精度が求められます。1mmの誤差が治療の精度に影響を与えるからで、CT装置の精度の高さは重要です」と述べる。
画質向上で高精度治療と治療計画業務を効率化
Aquilion Exceed LBのSEMARでは、固定器具や小線源治療のアプリケータなど金属の影響を低減した撮影が可能になる。岡本室長は、SEMARによる金属アーチファクトの低減で、治療計画の精度が向上するのではと次のように期待する。
「金属アーチファクトで画像がマスクされると筋肉なのか金属なのかを類推して計算することになります。SEMARでは金属アーチファクトの低減で目視で判断して計算できます。特に金属の近傍に腫瘍があるような場合には、治療精度にも影響してくると考えられます」
治療計画の際には、腫瘍領域やリスク臓器を判別するため、治療計画用CT画像での輪郭描出(コンツーリング)が重要な作業となる。井垣科長は、「正確なコンツーリングのためには画質が良いことは大きなメリットです。SEMARによるアーチファクトの低減やAiCE-iによる画質の向上は、輪郭描出作業の際のストレスの軽減や治療計画のスループットの向上が期待されます」と評価する。
■Aquilion Exceed LBによる臨床画像
症例1 中咽頭がん
SEMARを用いることで金属アーチファクトが低減され、腫瘍の輪郭描出 (コンツーリング)がより正確になる。
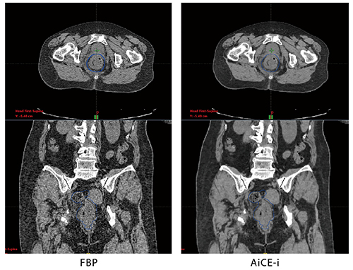
症例2 直腸がん
AiCE-iでは粒状性を維持しながら高いノイズ低減効果が得られている。コンツーリングの精度、効率が向上するとともに被ばく低減も期待される。
画像再構成法の進化に合わせた治療計画を検証
現在、治療計画用のCT画像はすべてFBP法で再構成されているが、治療計画への適用を含めたAiCE-iへの期待について芝田主任は、「画質の向上と被ばく低減が可能になることが期待できます。ただ、CT値の変化が起こることが想定されるため、実際の治療計画への適用については品質管理室とも相談しながら進めたいと考えています」と述べる。岡本室長は、「放射線治療のCT値は照射線量を決める重要な情報です。再構成法が変わることで、どのような変化があるのか、今後精密な評価が必要だと考えています。われわれとしてはFBPやAIDR 3Dを含めて安全重視でしっかりと検証を進めて、その結果を発信できればと考えています」と述べる。被ばくの低減について勝田副部長は、「治療計画CTだけを考えれば撮影回数は多くありませんが、IGRT(画像誘導放射線治療)が増加する中で今後は放射線治療全体として被ばくを考慮することは当然求められることです。その中でAiCE-iのような技術の利用は重要で、期待しています」と述べる。
Aquilion Exceed LBのラージボアと先進の画像処理技術の組み合わせが、放射線治療の精度向上やワークフローの改善にどのように貢献していくのか、同院の取り組みが期待される。
(2021年4月19日取材)
国立研究開発法人
国立がん研究センター中央病院
東京都中央区築地5-1-1
TEL 03-3542-2511
https://www.ncc.go.jp/jp/ncch/
- 【関連コンテンツ】
販売名:CTスキャナ Aquilion Exceed LB TSX-202A
認証番号:302ACBZX00024000
*記事内容はご経験や知見による、ご本人のご意見や感想が含まれる場合があります。
