Canon Clinical Report(キヤノンメディカルシステムズ)
2021年12月号
医療機関からの依頼検査に対応する画像診断専門クリニックでの低被ばく・コンパクト80列CTの運用〜最新の画像再構成技術による低線量撮影や金属アーチファクト低減技術で多様な検査に対応〜
メディカルスキャニング川崎
メディカルスキャニング川崎は、CTとMRIを導入し画像検査と診断を専門に行うクリニックとして2021年7月1日に開院した。CTは、ディープラーニングを応用した画像再構成技術“Advanced intelligent Clear-IQ Engine-integrated(AiCE-i)”を搭載した80列CT「Aquilion Lightning / Helios i Edition」が導入され、大学病院などの依頼検査から自由診療の全身がん検査などまで多様な画像検査に対応している。同クリニックを含めて首都圏で33施設を展開するメディカルスキャニングの概要を含め、最新の80列CTの運用について、小川健二院長と関根麻生マネージャー(診療放射線技師)、メディカルスキャニングの小林仁郎統括シニアマネージャー(同)に取材した。
小川健二 院長 |
小林仁郎 統括 |
関根麻生 |
即日検査、即日レポートも可能な画像診断専門クリニック
メディカルスキャニングは、現在、画像検査・診断専門クリニックを東京都、埼玉県、神奈川県、千葉県で33施設展開している。すべての施設でCT、MRIを導入し、当日の予約、検査、そして画像診断専門医による即日レポートが可能な体制を取っている。病院や開業医からの依頼検査(保険診療)のほか、検診(自由診療)としてMRIによる全身がん検査(DWIBS)、脳ドック(MRI、MRA、DWI)、肺CT、MRIによるMRCP、婦人科・乳房などの検査も提供する。依頼検査(保険診療)と検診(自由診療)の割合は8:2で、メディカルスキャニング全体での検査件数は年間約40万件、1日あたりでは約1600件、うちCT検査は3割程度を占める。スタッフは、常勤の放射線科専門医が16名、診療放射線技師140名、そのほか看護師や医療事務などが在籍する。また、画像検査と画像診断に知見を持つ医師が100人以上在籍して、ネットワークによる遠隔読影の体制も構築されている。
メディカルスキャニングは、2001年に渋谷に最初の施設を開設。以来、首都圏を中心に施設数を増やしてきた。いずれも主要路線の駅の近くに立地し、平日の遅い時間や休日の診療にも対応するなど患者や医療機関の利便性に配慮している。小林統括シニアマネージャー(SM)は、「地域の医療機関からの検査の依頼を受けて迅速に検査を行い結果をお返しすることが基本です。大学病院や開業医の先生に、あらゆる診療科の多様な検査に対応して専門医によるレポートまで提供できる体制を取っています」と述べる。
メディカルスキャニング川崎は33番目の施設として2021年7月1日にオープンした。JR川崎駅西口から徒歩4分の新築ビル2階に立地し、80列のAquilion Lightning / Helios i Editionと3T MRIを導入した。日本鋼管病院病院長などを務めた小川院長は、画像診断専門クリニックの位置づけについて、「今や画像情報は診療に欠かせない情報であり、高額医療機器をいつでも利用するための選択肢として、開業医だけでなく大学病院を含めて地域からのニーズを強く感じています」と述べる。依頼は近隣の開業医からが多く、整形外科、婦人科、頭部領域、泌尿器科の腎結石、尿管結石疑い、肺炎疑いや熱発などの症例、歯科領域(口腔外科)などの検査を行っている。
省スペース性と高度な機能を両立した機種を選定
メディカルスキャニングでは、全施設で55台のMRI、33台のCTが導入されている。小林統括SMは機種選定のポイントについて、「地域の検査ニーズもありますが、前提となるのは設置環境です。装置の設置可能面積のほか、電源容量なども考慮する必要があります。それらの前提条件をクリアしつつ、質の高い検査を提供できる性能を持った装置が求められます」と述べる。特にCTは、より大きな専有面積と電源容量が必要なMRIが優先されるため、条件はさらに厳しくなる。小林統括SMは、「高度な検査が可能なことは当然として、被ばくや造影剤量の低減などCTに求められるハードルは高くなっています。さまざまな条件を検討して、コンパクトながら上位機種にも匹敵する画質や、最新のAiCE-iなどでさらなる低被ばく検査が期待できるAquilion Lightning / Helios i Editionを選択しました」と言う。Aquilion Lightning / Helios i Editionは、川崎のほか溜池山王、センター南、浜松町、柏にも導入され、今後オープン予定の施設でも導入される予定だ。Aquilion Lightning / Helios i Editionは、最小設置面積9.8m2で、上位機種にも搭載されているX線光学系技術“PUREViSION Optics”などで高い画質を実現する。
また、メディカルスキャニングでは多数の機器を扱うことから、装置の操作性も大きなポイントとなる。小林統括SMは、「操作性はワークフローにも影響しますので、速やかな検査で被検者の負担を減らすためにも重要なポイントです。その点、Aquilion Lightning / Helios i Editionは直感的に理解でき、戸惑うことなく検査ができます」と評価する。実際に川崎で検査を担当する関根マネージャーも、「他社製CTの使用経験が長くキヤノン製は初めてでしたが、操作にはすぐに慣れて問題なく運用できています」と評価する。
AiCE-iの適用で1mSv程度での胸部CT撮影を実現
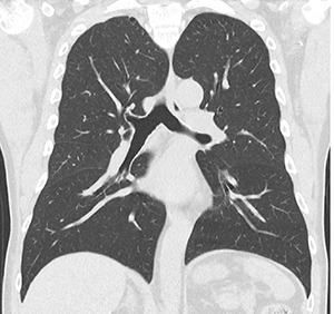
Aquilion Lightning / Helios i Editionでは、高速スキャン(0.5s/回転、PF:1.388)とAiCE-iを適用することで違和感なくノイズを低減し、短時間・低被ばく撮影が可能になる。同クリニックでは全検査でAiCE-iを適用している。AiCE-iによって被ばく線量は16列CT(FBP)と比べて半分以下になった。小林統括SMはAiCE-iの運用について、「放射線検査における線量管理の義務化の流れや、患者サービスの観点からも低線量での撮影は必須です。メディカルスキャニングのAquilion Lightning / Helios i Editionを導入した施設では、すべてAiCE-iを組み込んだプロトコールを採用しています」と述べる。また、メディカルスキャニングでは、全身がん検査でDWIBSに併せて肺CT撮影を行っているが、この撮影では被ばく線量を1mSv程度に抑えた検査を行っている(図1)。小林統括SMは、「MRI検査を選択されるような受診者は被ばくへの意識の高い方が多いので、できるだけ低線量での撮影を行っています。それだけ線量を落としても読影に問題のない画像が得られています」と言う。小川院長は、「Aquilion Lightning / Helios i Editionは、実績あるキヤノンのCTの技術を受け継いでおり画質も問題ありません。AiCE-iを適用した画像も違和感なく読影できています」と述べる。
Aquilion Lightning / Helios i Editionでは、金属アーチファクト低減技術である“Single Energy Metal Artifact Reduction(SEMAR)”が標準搭載されている。関根マネージャーはSEMARの運用について、「大腿骨に人工関節を留置されている方では腹部や骨盤腔内の描出は難しかったのですが、SEMARを適用することで読影が可能な画像を提供できるようになりました。また、当クリニックは口腔外科からの依頼も多いのですが、義歯によるアーチファクトで舌やリンパ節が見にくいというケースがありましたが、こちらもSEMARで低減できるようになりました」と述べる。小林統括SMは、「SEMARでは、造影剤を使った検査で造影効果を落とさずに、アーチファクトだけを低減できていると感じています」と評価する。小川院長は、「最近は脊椎の手術などをされている患者さんも多く、紹介検査を基本とする当クリニックでは、実際に撮影してみないとインプラントがあるのかどうかわからないこともあり、撮影した画像に対して処理できるSEMARは有用性が高いと思います」と述べる。
余裕のある管球容量で連続検査にも対応
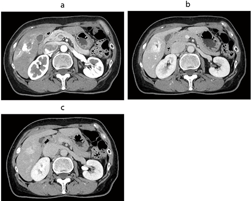
Aquilion Lightning / Helios i Editionでは、腹部造影3相撮影(図2)や下肢の血管撮影など広範囲撮影を行っても、管球冷却待ち時間などが発生せず連続した検査が行える。小林統括SMは、「多くのCT検査をコンスタントに行い、検査内容も耳鼻科の中内耳撮影、頭部CTAなどの頭頸部から下肢CTAまでさまざまです。患者さんをお待たせすることなく、効率的に検査を進めるためにも、余裕を持って検査を行えることは助かります」と述べる。下肢CTAではAiCE-iを適用することでノイズが低減し、高分解能の画像データが得られるため、骨と血管の分離が容易になり、3Dワークステーション(WS)を使わずに本体のコンソールで3D作成を行っている(図3)。関根マネージャーは、「3DWSにデータを転送する必要がなく、検査のスループットが向上しています」と述べる。
■Aquilion Lightning / Helios i Editionによる臨床画像
図1 低線量胸部CT
高速スキャン、AiCE-i適用で胸部を3.5秒、約1.0mSvで撮影〔k:0.014(ICRP Publication 102)、Effective Dose=DLP×0.014〕
図2 腹部造影3相撮影
a:動脈相
b:門脈相
c:平衡相
AiCE-i適用で高画質画像を提供
図3 CTコンソールにて作成した下肢CTA 3D画像
画像検査を地域で連携して幅広く提供
小林統括SMは、Aquilion Lightning / Helios i Editionでの今後の取り組みとして、低管電圧撮影による造影剤の低減も検討していきたいと言う。また、小川院長は画像検査・診断に特化したクリニックの可能性について、「地域連携が進む中で、画像検査や診断についても従来のように急性期病院だけが担うのではなく、当クリニックのような専門施設が特徴を生かしながら連携することで、医療機関、患者さんの双方にメリットを提供して地域医療に貢献できると考えています」と語る。
多様化する医療提供体制の中で、地域のニーズに合わせて高度な画像検査・診断を提供するメディカルスキャニング。その診療を、最新の技術をコンパクトにパッケージしたCTが支える。
(2021年10月28日取材)
※AiCE-iは画像再構成処理の設計段階でAI技術を用いており、本システム自体に自己学習機能は有しておりません。
一般的名称:全身用X線CT診断装置
販売名:CTスキャナ Aquilion Lightning TSX-036A
認証番号:228ABBZX00118000
*記事内容はご経験や知見による、ご本人のご意見や感想が含まれる場合があります。
メディカルスキャニング川崎
神奈川県川崎市幸区中幸町3-31-2
LOC'S KAWASAKI BLDG. 2階
TEL:044-540-6667、044-540-1117
https://www.medicalscanning.net

- 【関連コンテンツ】
