Canon Clinical Report(キヤノンメディカルシステムズ)
2022年1月号
透視像の画質向上と独自の視野移動で多様化するX線透視下手技に柔軟に対応 〜i-fluoro,被ばく低減などX線透視下手技の新たな可能性を拓く「Astorex i9」〜
東京女子医科大学八千代医療センター
左から吉野侑里技師,中山径生主任,今西 啓医師,出村友理子技師,河合信幸主任
社会全体でデジタル技術を最大限に活用することでさまざまな変化を生む,デジタルトランスフォーメーション(DX)が注目されている。100年以上の歴史を持つX線の世界も例外ではなく,最新のデジタル技術を活用した理想のX線TVシステムを追究して登場したのがキヤノンメディカルシステムズのデジタルX線TVシステム「Astorex i9」である。2021年8月に稼働した東京女子医科大学八千代医療センターでの運用について,消化器外科の今西 啓医師,医療技術部画像検査室の診療放射線技師・中山径生主任を中心に取材した。
透視下手技の多様化を考慮してAstorex i9を選定
東京女子医科大学八千代医療センターは,2006年に開院。大学附属病院であると同時に,八千代市を中心に市川市,船橋市など東葛南部圏域の高度急性期医療を担っている。
同センターの診療放射線技師28名のうち,X線透視と血管撮影については1日4名のスタッフが担当している。X線透視検査室は2部屋あり,このうち多目的に使用されていた装置をリプレイスして,2021年8月にAstorex i9が導入された。Astorex i9とは,理想のX線TVシステムをめざして新たに開発されたキヤノンメディカルシステムズのデジタルX線TVシステムである。同センターでは,消化管造影検査のほか,消化器内科・外科のドレナージ術や瘻孔造影,整形外科の脊髄腔造影や神経根ブロック,小児科・小児外科の腸重積整復や排尿時膀胱尿道造影,泌尿器科での尿管カテーテル挿入術など,さまざまな診療科の検査,手技に多目的に活用されている。
機種の選定について中山主任は,「X線透視を利用した検査は小児科から整形外科,泌尿器科まで広がっています。内視鏡専用で使用しているCアーム型以外の多様な用途を考えた時に,透視下手技の利便性や快適性,安全性の高い装置が求められます。そのため,コンパクトな装置で透視像の画質や“i-fluoro”などの新機能に期待してAstorex i9を選定しました」と説明する。
画像検査室・中山径生 主任
透視検査の環境を大きく変えるAstorex i9
省スペース
広い検査空間で手技の安全性が向上
旧装置は本体が大きく,操作室と平行に設置されていたこともあって,検査室のスペースが非常に狭く,手技に使う各種装置の設置場所やスタッフの動線にも影響していた。中山主任は,「ワークスペースが狭く,患者さんをベッドで搬入する時にも前室を通らないと入らないなど,動線の確保に苦労していました。また,寝台周りのスペースが狭く術者の立つ位置が限られて穿刺のポジショニングに苦労したり,サポートするスタッフも非常に窮屈でした」と説明する。
Astorex i9は,奥行き方向が約173cmとコンパクトで,壁に密着して設置できることから,装置を操作室から見て垂直に配置でき,寝台の前に大きなスペースが生まれた。これによって,ベッドやストレッチャーでの搬入や手技の際の空間が確保できた。中山主任は,「Astorex i9では,検査室内が見違えるほど広くなりました。スタッフの動線も大きく改善されました」と言う。
Astorex i9が設置された多目的X線透視検査室
多目的X線透視検査室のレイアウトの変化
旧装置は操作室と平行に配置されていたが,Astorex i9はコンパクトで壁面に密着して設置することができ,寝台の前方に大きなスペースを確保できた。
画質向上
被ばくを低減し術中の視認性も向上
Astorex i9では,キヤノン製17インチ×17インチのFPDの採用(i-FPD),新規開発された画像処理装置(i-DR)によって,透視像の高画質化を実現したことも特長だ。中山主任は,「旧装置では,透視像では詳細が確認できず,やむを得ず静止画撮影することがありました。患者さんの被ばくを増やすことにもつながりますし,安全な手技のためにも透視像の画質の向上は現場として強く求めていた部分です」と言う。
Astorex i9では,高画質・低線量検査コンセプトである“octave i”や,最適な線量での手技を可能にする被ばく低減機構によって,画質の向上と同時に被ばくの低減を可能にしている。中山主任は,「低線量にもかかわらず,コントラストの高い画像が得られています。特に低コントラスト領域の描出能が高く,視認性に優れていると感じます。実際の手技でも針先まで明瞭に確認できます。余計な撮影がなくなることは,患者さんの被ばく低減にもつながります」と述べる。
i-fluoro
寝台や映像系を動かさずに視野移動
Astorex i9に新機能として搭載されたのがi-fluoroである。i-fluoroでは,透視の視野領域(拡大表示)を,寝台の天板や映像系(X線管−FPD)を機械的に動かさずに移動できる。最初に位置決めを行った17インチサイズの範囲内で,視野領域を任意のエリアに移動して拡大表示できる。これによって,穿刺やドレナージなどの手技を行う際に,寝台や映像系を動かさずに安全に視野移動が可能になった。中山主任は,「侵襲的な手技の最中に映像系や天板を動かして視野を移動させることはリスクが高く,術者のストレスにもなります。また,患者さんは機械の動く振動を感じて不安になることもあります。天板も映像系も動かさずに視野を移動できるi-fluoro のメリットは大きいと感じています」と述べる。
■Astorex i9のi-fluoroによる視野領域の移動
i-fluoroでは,17インチサイズ(aの赤枠)内で映像系や天板を動かさずに視野が移動できる。視野移動はi-consoleのi-fluoro用のレバーでベッドサイドでも操作可能(b)。
多目的寝台
i-fluoroと組み合わせた自在な検査
Astorex i9の多目的寝台は,FPDが天板の端から9cmまで移動可能なため,頭足方向で205cmの幅広い範囲で観察を可能にする。i-fluoroの視野移動を組み合わせることで,天板の端での透視撮影など天板を広く使った手技や,ポジショニングの自由度が大きく向上し,術者や患者の負担を軽減した検査や手技が可能になった。中山主任は,「泌尿器科の造影検査などでは砕石位にて手技を行うことがありますが,Astorex i9では天板の端まで視野を移動できるので無理なく透視ができます。患者さんの負担も少なくなりますし,ポジショニングの変更も少なくなりました」と言う。
i-console
手技を支援する操作器
i-fluoroなど透視検査の際の操作を検査室内で行うコンソールが“i-console”である。i-consoleでは,パルス透視や線量モードの切り替えといった画像表示系の操作も可能で,被ばく低減にも配慮しつつ,スムーズな操作ができる。中山主任は,「検査室内で医師の手技の様子を見ながら,簡単に直感的に操作できます。手技に合わせて最適な線量,画質の提供が求められるので,i-consoleの操作性は重要です」と述べる。
デジタルX線TVシステムの可能性を追究
同センターでは今後,多様な手技に柔軟に対応できる透視装置として,Astorex i9の検査が増えていくことが期待されている。中山主任は,「Astorex i9では,従来の透視装置の枠を超えてできることが広がっています。今後,ユーザー同士でノウハウを共有できる場が広がるといいですね」と言う。Astorex i9がもたらすX線透視の新しい波が広がり始めている。
(2021年11月11日取材)
UseCase 消化器外科
消化器系の多様な穿刺手技をサポートする“i-fluoro”の有用性
消化器外科では,上部消化管造影,注腸やイレウス管などの消化管造影をはじめ,穿刺系では中心静脈(CV)穿刺やCVポートの増設などをAstorex i9で行っている。導入後の変化を消化器外科の今西 啓医師に聞いた。
─X線透視下の手技の現況について
今西:腹腔内膿瘍などの手技では,誤穿刺などのリスクを考慮して,浅い領域でない限り必ず透視下で行います。X線透視下では針先やカテーテルを,広い領域でリアルタイムに鮮明に確認できるのがメリットです。
─Astorex i9導入後の変化について
今西:検査室のスペースが広がったことで,超音波や生体モニタなどの装置が配置しやすくなりました。なにより手技の際のポジショニングの自由度が上がり,穿刺がしやすくなるので,手技の精度や安全性も向上していると思います。さらに,Astorex i9では画質の向上によって,より安全な穿刺が可能になりました。アームや寝台の動きもスムーズで,直感的に扱える操作性も手技の精度向上につながっています。
─i-fluoroの活用について
今西:例えばCV穿刺のPICCカテーテルの挿入では,患者さんの腕はどうしても寝台の端に来るので,i-fluoroの視野移動は有用だと思います。そのほか頸動脈からの穿刺の際にも患者さんの身体を移動させたり,無理な体勢を取ってもらわなくていいのは大きいですね。
今西 啓 医師
症例1 CVポート抜去術における抜去直前の全体透視像
CV専用の画像処理を構築することで,通常では描出困難であった高吸収域から低吸収域にまたがる1本のカテーテルが,非常に明瞭に観察可能となった。
Pick up 被ばく低減機構
“octave i”で画質向上と被ばく低減を両立し安全で効率的な検査を支援
〈パルス透視〉
グリッド制御X線管によって波頭・波尾の短いパルス透視が可能になり,フレームレートも9種類(1,2,3,5,7.5,10,15,20,30fps)に増えた。中山主任はパルス透視について,「動きを優先した15fpsと被ばく低減を考えた7.5fpsの中間の10fpsが新たに追加されました。10fpsでは,被ばくにも配慮しつつ動きや視認性を損なうことなく手技が可能になりました。また,低レートの選択肢が増えたことで,小児の手技では被ばく低減を優先できるなど目的に応じた対応が可能です」と評価する。
〈デジタル輝度調整〉
透視撮影では,従来,画像の輝度調整は照射するX線量を自動で調整する“automatic brightness control(ABC)”で行うが,Astorex i9では透視線量は変えずにデジタル処理で輝度を補正する“デジタル輝度調整”が可能になった。デジタル輝度調整では,画像処理によって明度やコントラストを調整して輝度を上げて視認性を向上させる。また,透視線量モードでは,デジタル輝度調整によって画面の輝度は一定にしたまま,透視線量の比率をNormal(100%),Mid(50%),Low(35%)に設定できる。中山主任は,「術者から視野を明るくしてと要望があった時に,透視の線量を増やさずに画面の輝度を明るくできます。実際にデジタル輝度調整だけで視認性が向上し,手技の継続が可能になったケースを経験しています」と言う。
豊富な機能を検査室内でコントロールできるi-console
症例2 乳児上部消化管造影時の栄養カテーテル挿入
線量モードはNormalであるが,輝度不足であったためデジタル輝度+2とした。線量を上げることなくデジタル輝度調整のみにて栄養カテーテルおよび縦隔の視認性を確保した。
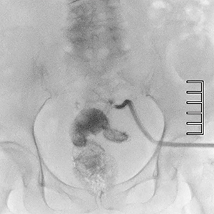
症例3 直腸穿孔に伴う膿瘍腔内のドレナージ造影
線量モードをMidにて実施。Normalに比しSN低下は顕著であるが,外径6mmのドレーンとX線不透過ライン,また造影剤の視認性は確保できている。
* 記事内容はご経験や知見による,ご本人のご意見や感想が含まれる場合があります。
一般的名称:据置型デジタル式汎用X線透視診断装置
販売名:デジタルX線TVシステム Astorex i9 ASTX-I9000
認証番号:302ADBZX00081000
東京女子医科大学八千代医療センター
千葉県八千代市大和田新田477-96
http://www.twmu.ac.jp/TYMC

- 【関連コンテンツ】
