Canon Clinical Report(キヤノンメディカルシステムズ)
2022年11月号
静岡県東部の救急医療の拠点病院に導入された大開口径80列マルチスライスCT 〜90cmのワイドボアと先進の画像処理による高画質、低被ばく検査やCT Perfusionによる急性期脳梗塞診断などを救急医療に活用〜
順天堂大学医学部附属静岡病院
順天堂大学医学部附属静岡病院〔病床数633(稼働603)床〕は、静岡県東部の最大規模の病院としてドクターヘリの運航など救急医療に注力している。2021年8月に救急外来、救命救急センターが入る新病棟(H棟)がオープン、救急用CTとしてキヤノンメディカルシステムズの大開口径80列マルチスライスCT「Aquilion Exceed LB」が導入された。90cmのワイドボアと広いFOVを持ち、Deep Learning技術を応用した画像再構成技術“Advanced intelligent Clear-IQ Engine-integrated(AiCE-i)”を搭載するAquilion Exceed LBの救急での運用について、放射線科の入江隆介科長、放射線室の篠田雅弘係長、平入哲也係長、杉山巧也CT担当診療放射線技師に取材した。
放射線科・ |
放射線室・ |
平入哲也 係長 |
杉山巧也 技師 |
静岡県東部の救急医療の砦として新病棟を開設
同院は、1967年に町立病院を引き継いで診療をスタート、救命救急センター、新生児センターなど診療機能を強化して、現在は静岡県東部で最大規模の病院となっている。2004年から運航を開始したドクターヘリは、年間800〜1000件出動しており、全国でも有数の実績を誇る。入江科長は、「県東部地域の救急医療を担う中核病院として、高度な医療を総合的に提供しています。三次救急のほか一次、二次の患者さんも受け入れています。総合的な医療のニーズに応えるため、放射線部門としてCT、MRIはもちろん、血管撮影装置、核医学検査装置などもそろえてあらゆるニーズに対応できる体制を整えています」と現状を説明する。
放射線科の医師は診断部門5名、治療部門1名、診療放射線技師は35名。モダリティはCT4台、MRI3台、血管撮影装置4台などが稼働するが、篠田係長は放射線室の体制について、「診療放射線技師は基本的に装置1台を1名で担当するスタイルを取っています。1人が責任を持って業務を完結することで確認ミスを防ぐことがねらいです」と述べる。
救急用のCTとして大開口径の80列CTを選定
2021年8月に診療を開始した新病棟は、救急外来・救命救急センターのほか、ハイブリッド手術室・ロボット手術室など8つの手術室、3つの血管撮影室、新生児センターなどが設けられ、高度化する検査や手術などへの対応を図っている。Aquilion Exceed LBは、1階の救急外来に隣接して救急用CTとして新たに増設された。同院のCTは、救急外来のほかに放射線部門に80列CT「Aquilion Prime SP」など3台が稼働する。検査件数は年間約4万3000件、月平均では3500〜4000件。CTの運用状況について篠田係長は、「当院は救急を含めて重症症例の割合が高いことからCT検査の依頼が多く、CT部門は常に検査に追われている状況でした。2018年にAquilion Prime SPが増設され、今回Aquilion Exceed LBが導入されたことで、スタッフの増員と合わせてCT検査の需要に応えられる体制になりました」と述べる。救急検査は従来、放射線部門で予約の合間に撮影していたが、Aquilion Exceed LBの導入で救急、外来双方のワークフローが改善した。篠田係長は、「昼間は予約の合間に救急患者の撮影を行っていたので、救急、外来の双方に検査の待ち時間が発生することがありました。救急用CTの導入で待ち時間が改善しました」と述べる。
90cmのワイドボア、広いFOVで救急検査に対応
Aquilion Exceed LBの導入について篠田係長は、「一番の特長である開口径、FOVの大きさを救急用CTとして期待しました。救急では、意識が混濁した状態や挿管したまま撮影することが多く、正しいポジショニングでの撮影が難しいので、大きな開口径で最大撮影領域70cm(拡張再構成90cm)のFOVで広範囲を撮影できることは他社にはない利点でした。もう一つは、救急部門では当直を含めて多くのスタッフが使いますので、Aquilion Prime SPで使い慣れている操作性の良さも評価しました」と説明する。
ワイドボア、FOVの広さについて杉山技師は、「挙上した患者さんの腕がガントリと干渉しないのは、救急撮影では大きなメリットです。高齢で挙上が十分にできない方もいますので、患者安全を考えても安心感があります。また、FOVが広いことで、1回の撮影で全身をカバーできます。ほかのCTでは全身撮影で上肢の骨折などが見つかった場合に、バックボードを動かして再度撮影する必要がありましたが、Aquilion Exceed LBではその必要がありません。検査スループットが向上すると同時に、早く診断できることで救命率の向上も期待できます」と述べる。
Aquilion Exceed LBの検査件数は、1日平均で救急40件、入院10件、トータルで50件以上となっている(表1参照)。平入係長は、「救急撮影以外に病棟患者の予約外の検査も行っています。1日フル稼働している状態ですが、スループットが良く余裕を持って対応できています」と述べる。Aquilion Exceed LBでは、±85mmの寝台左右動が可能で、さらに操作室のコンソールから寝台の上下左右動の操作ができる“SUREPosition”によって、検査室に入ることなくポジショニングをサポートできる。杉山技師は、「画質や被ばく線量を考えてアイソセンターに合わせることが望まれますが、寝台が大きく左右に移動できるので最適なポジショニングが可能です。また、救急では新型コロナウイルス感染症疑いの患者さんを撮影することもありますが、寝台左右動やSUREPositionを使うことで最小限の接触で感染対策を行いながら検査できます」と述べる。
表1 Aquilion Exceed LBの1日の稼働状況
AiCE-iの適用でアームアーチファクトを軽減
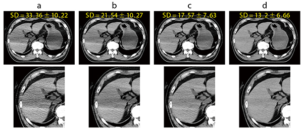
Aquilion Exceed LBでのAiCE-iの適用について平入係長は、「救急では、挙上できずに腕を下ろしたまま撮影することがありますが、以前は腕のアーチファクトの影響で画像が劣化していた腹部の肝臓などがAiCE-iの適用で画質が改善しています(図1)。また、従来より線量を下げた撮影プロトコールを組んでいますが、以前と同様に診断可能な画像を提供できているのはAiCE-iによるノイズ低減の効果だと思います」と説明する。
また、Aquilion Exceed LBでは、AiCE-iの適用でワイドボアで生じる画像のボケや線量不足による画像ノイズの増加を補正している。同院での物理特性の検証の結果、Aquilion Prime SPのAIDR 3D Enhancedに比べて空間分解能(MTF)の向上、ノイズ(NPS)の低減が確認できたと平入係長は説明する。入江科長は、「広い開口径で撮影可能な患者さんが増えても、画質が低下して診断が難しくなっては本末転倒ですが、AiCE-iの適用でワイドボアの利点を生かすことができ、救急撮影の適用範囲が広がっていると感じています」と評価する。
■Aquilion Exceed LBによる臨床画像
図1 AiCE-iの効果(上肢挙上不可能患者)
a:FBP
b:AIDR 3D
c:AIDR 3D Enhanced
d:AiCE-i
*AIDR 3D=Adaptive Iterative Dose Reduction 3D
VitreaのPerfusion解析を急性期脳梗塞診療に活用
脳血管障害に対しては、医用画像処理ワークステーション「Vitrea」の“CT 4D Brain Perfusion”(以下、4D Brain Perfusion)による解析で急性期脳梗塞の治療を支援している。4D Brain Perfusionは、ベイズ推定アルゴリズムを用いた解析を行い、灌流の状態を把握できる。Aquilion Exceed LBでは、ダイナミックボリュームスキャンを往復しながら80mmの範囲でPerfusionを撮影、さらにマスクとCTAのデータからMIP、VR像を自動作成し、撮影終了後にVitreaで3D-CTA、CTPを作成する。平入係長はVitreaの4D Brain Perfusionについて、「Vitreaでの解析は、1分程度でクリック数も少なく簡単に行えます。4D Brain Perfusionの画像で、通常は対象にならないM2、M3領域の細い血管の塞栓に対して、側頭葉の灌流低下が認められたことから血栓回収療法を施行し梗塞を防ぐことができた症例を経験しました(図2)。臨床科からも4D Brain Perfusionの画像が治療選択に役立ったと評価されました」と述べる。また、杉山技師は、「急性期脳梗塞の診療は時間との勝負になりますが、Aquilion Exceed LBのサブトラクションスキャンシステムで撮影した画像はすぐに確認できます。血管内治療を行う医師からは、術前に閉塞血管だけでなく大動脈の分岐を判断できると好評です」と言う。
Dual Energy(DE)は、血栓回収療法後のフォローアップで使用している。平入係長は、「通常のCTでは、出血の領域も造影剤もどちらも白く描出され判断が難しいため、DEのvirtual non-contrast画像で評価しています」と述べる。また、造影効果を増強する“CE Boost”については、「外傷患者の頸椎損傷の症例では、椎骨動脈の画像を作成する際に動脈相の画像では頸椎付近の血流が速く十分なCT値が得られないことがあります。CE Boostを使うことでCT値が向上してVR画像が作りやすくなります」(杉山技師)とのことだ。
ワイドボアの特長を生かし、Deep Learningを活用した画像再構成技術のAiCE-iを搭載したAquilion Exceed LBは、救急医療においてさらに広がっていくに違いない。
図2 急性期脳梗塞症例 通常血栓回収療法はM1のような太い血管に対して実施される。本症例はM3の塞栓だが、ペナンブラが広範であったため血栓回収に踏み切った。
左 :Vitrea CT 4D Brain Perfusion解析画面
右上:DSA画像
右下:MR画像
(2022年9月26日取材)
※AiCE-iは画像再構成処理の設計段階でDeep Learning技術を用いており、本システム自体に自己学習機能は有しておりません。
*記事内容はご経験や知見による、ご本人のご意見や感想が含まれる場合があります。
一般的名称:全身用X線CT診断装置
販売名:CTスキャナ Aquilion Exceed LB TSX-202A
認証番号:302ACBZX00024000
救急部門が入る新病棟(H棟)
順天堂大学医学部附属静岡病院
静岡県伊豆の国市長岡1129
TEL 055-948-3111
https://www.hosp-shizuoka.juntendo.ac.jp

- 【関連コンテンツ】
