Canon Clinical Report(キヤノンメディカルシステムズ)
2023年9月号
トップアスリートから一般まで1.5T MRIや超音波診断装置を駆使した整形外科診療を展開 〜プロスポーツの診療・リハビリの知見を生かし地域の健康維持・増進に貢献するスポーツクリニック〜
ワイルドナイツクリニック
埼玉県熊谷市のワイルドナイツクリニックは、ジャパンラグビー リーグワンの強豪チーム・埼玉パナソニックワイルドナイツと連携し、トップアスリートの診療・リハビリテーションから得られた知見を一般に提供することをめざして2022年3月に開院した。質の高い医療を提供するために、画像診断機器はキヤノンメディカルシステムズの1.5T DLR(Deep Learning Reconstruction)-MRI「Vantage Orian」や16列CT「Aquilion Lightning」、超音波診断装置「Aplio a / Verifia」※1「Viamo sv7」などフルモダリティをそろえて、スポーツ医療・一般整形外科に活用している。ユニークなコンセプトで地域に貢献するクリニックの特徴や診療について、立花陽明院長、茂木久貴事務長/CFO、永井敦志放射線科リーダーに取材した。
立花陽明 院長 |
茂木久貴事務長/CFO |
永井敦志放射線科リーダー |
トップアスリートの診療で得た知見を一般に提供し地域に貢献
ワイルドナイツクリニックは、ラグビーワールドカップ2019が開かれた熊谷ラグビー場のあるさくらオーバルフォートに隣接する。2021年に本拠地を群馬県太田市から同地へ移転したワイルドナイツは、プロチームを通した地域貢献をめざしており、クリニックもその一環と言える。プロチームの名前を冠しているが、トップアスリートだけでなく、コミュニティレベルのアスリートに対するスポーツ医療や、一般整形外科の診療を提供している。
画像診断機器は、MRI、CT、一般X線、超音波、骨密度測定など一通りをそろえ、必要に応じた検査を迅速に行える環境を整えた。2階はほぼ全フロア(506.84m2)がリハビリ室で、運動器リハビリテーション料(Ⅰ)の施設基準認定を受け、理学療法士(PT)によるリハビリテーションを提供している。リハビリ室には各種トレーニングマシンも整備し、選手と患者がともにリハビリやトレーニングを行える環境にした。クリニックのコンセプトについて立花院長は、「ワイルドナイツの連携クリニックとして、トップアスリートに質の高い医療を提供すると同時に、その知見・ノウハウを一般にも還元することで地域の健康維持・増進をめざしています」と述べる。
迅速な診察・検査と適切な治療でスポーツ選手を支援
立花院長は、競技医事を統括するメディカルマネージャーを務めているためチームドクターではないが、選手の日々の健康管理や診療に当たり、シーズン中はほぼ毎試合後にチームトレーナーから連絡を受け、選手の診察・検査を行っている。立花院長は、「必要に応じてすぐに各種検査ができるため、ホームゲームや練習でけがをした、身体に違和感があるといった場合にも当日中に検査ができます。MRIでは肉離れに至る前のわずかな内出血なども確認できるので、悪化する前に対処でき、競技復帰が遅くなることを防げます」と話す。
一般向けの外来は、1日あたり90〜110人の患者が来院する。このうち6〜7割が一般整形外科の患者だが、児童・生徒・学生も含めたコミュニティレベルのスポーツ選手も多く、各個人に合わせた治療とリハビリが提供される。スポーツ整形外科を専門とする立花院長は、「勤務していた埼玉医科大学かわごえクリニックで、保存的療法における運動器リハビリテーションの有用性を実感し、当クリニックでもリハビリに注力することにしました。医師とPTが連携し、日常生活やスポーツにおけるニーズに沿ったリハビリを提供することで、単なる機能回復以上の効果が期待できます」と話す。
アスリートへの診療・リハビリの知見を、どのように一般に生かしているかについて、茂木事務長は、「けが・障害の再発防止や競技力向上のために、より足腰を強くするようなリハビリ・トレーニングプログラムを提供しています。また、インターハイといった大きな大会に間に合うように競技復帰を望む生徒や学生には、その希望にできるだけ応えられるように、アスリート診療のノウハウを生かした治療やリハビリの提供に努めています」と説明する。
広々としたリハビリ室ではPTによるリハビリを提供
高分解能・高速撮像が可能なオープンボアMRIを採用
フルラインアップがそろう画像診断機器の中で最も重視したのがMRIだ。立花院長は、「スポーツ整形外科では、骨折だけでなく軟部組織の外傷・障害の評価も重要です。特に身体が頑丈なラグビー選手は、骨折は少ないのですがハムストリングスなどの肉離れが多いため、MRIは必須のモダリティと言えます」と話す。
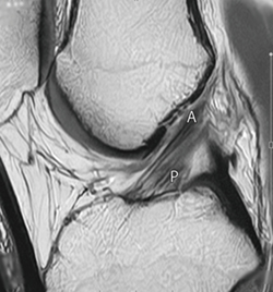
MRIは、画質や撮像スピードだけでなく、体格の大きいスポーツ選手の検査を行うためにボア径が広いことも条件であった。そこで選ばれたのが、71cmのオープンボアを有するVantage Orianである。立花院長はVantage Orianの画質について、「前勤務先ではMRI検査は3T装置を持つ他院に依頼していましたが、Vantage Orianの画像は3T装置の画像と見分けが付きません。3T装置でも見えにくい靭帯なども観察することができるため、より正確な診断、確かな治療が可能になります」と高く評価する(図1)。
MRI検査では、ディープラーニングを用いて設計したSNR向上技術「Advanced intelligent Clear-IQ Engine(AiCE)」※2を全例に適用し、体格の大きい患者でも高分解能画像を短時間で撮像できるようにシーケンスを組んでいる。永井リーダーは、「院長の専門である膝の撮像では、プロトン密度強調画像と脂肪抑制プロトン密度強調画像、T2*強調画像をそれぞれ3方向、9種の画像を30分以内で撮像できます。ボア径が広いことで、大柄な選手でも上肢・下肢、肩などを撮像中心に近づけて撮像できますし、閉所恐怖症の患者さんでも検査が可能です」と話す。
患者には若年者も多いことから、検査による被ばくをより低減するためにCT検査の一部をMRIで代替できないかとの提案が立花院長からあり、放射線科では現在、CT-like MRIの検討を進めている。永井リーダーは、「Aquilion Lightningは手指・足指の微細な骨折や剥離骨折の検出に非常に有用で、低線量での撮影が可能です。それでも、発育期のスポーツ選手に多い腰椎分離症(疲労骨折)などは繰り返しCT検査を行う必要があるため、その一部をCT-like MRIで代替できればと考えています」と話す(図2)。
■1.5T DLR-MRI Vantage Orianによる臨床画像
図1 左膝MRIプロトン密度矢状断像
前十字靭帯の前内側線維束(A)と後外側線維束(P)が明瞭に判別できる
図2 左第5腰椎疲労骨折
a:MRI STIR横断像。左第5腰椎椎弓根に高信号像を認める(↑)。
b:CT-like MRI矢状断像。第5腰椎椎弓根尾側に亀裂を認め(↑)、初期の腰椎疲労骨折であることがわかる。
診療とリハビリをサポートする2台の超音波診断装置
超音波診断装置は、ハイクラスのAplio a / Verifiaを診察室に、タブレット型のViamo sv7をリハビリ室に導入している。診察室では、低流速血流を観察可能な「Superb Micro-vascular Imaging(SMI)」やカラードプラを用いて軟部組織の炎症評価などを行っている。また、足底筋膜炎などの難治性腱・腱付着部障害に対する体外衝撃波疼痛治療において、エコーを用いて病変部の確認を行っているほか、肩の術前評価でアルトロ(関節腔造影)MRIを行う場合に、造影剤となる生理食塩水を関節包に注入する際のガイドに用いるなど、Aplio a / Verifiaを診断やガイドに活用している。
持ち運びが容易なViamo sv7はリハビリ室に配備され、9名のPTが筋肉や靭帯、腱の動きの確認や、マッサージでターゲットとする筋肉の位置の確認などに活用している。立花院長は、「人工関節が必要だろうと思われた患者さんでも、リハビリで良くなる人がたくさんいますが、それには患部の動きを確認しながら適切なリハビリを行うことが重要です。PTがエコーで患部の状態や動きを正確に把握しながらリハビリを行うことで、効果が上がると思います」と述べる。
Aplio a / Verifiaは診察室で炎症評価などに活用
タブレット型のViamo sv7はPTがリハビリで利用
チームとともにスポーツをとおした地域の振興・健康増進をめざして
開院から1年が経過し、コンセプトが地域に浸透するとともに、患者は右肩上がりで増加している。クリニックでは住民向けの講演会も開催するなど、地域の健康維持・増進につながる活動に積極的に取り組んでいる。今後の展開について、立花院長は次のように展望する。
「クリニック内にとどまらずに活動していきたいという思いがあり、一つは川越で行っていた野球検診を北関東へも広げたいと考えています。また、ワイルドナイツともより緊密に連携して交流を深め、ラグビーに限らずスポーツを通じた事業に一緒に取り組み、地域を盛り上げていきたいと思います」
スポーツと医療で地域への貢献をめざすクリニックの今後の展開が期待される。
院内はワイルドナイツのロゴマークやラグビーのデザインが施され,スポーツを身近に感じることができる。
(2023年7月12日、20日取材)
※1 VerifiaはAplio a の愛称です。
※2 AiCEは画像再構成処理の設計段階でAI技術を用いており、本システム自体に自己学習機能は有しておりません。
*記事内容はご経験や知見による、ご本人のご意見や感想が含まれる場合があります。
一般的名称:超電導磁石式全身用MR装置
販売名:MR装置 Vantage Orian MRT-1550
認証番号:230ADBZX00021000
一般的名称:汎用超音波画像診断装置
販売名:超音波診断装置 Aplio a CUS-AA000
認証番号:301ABBZX00001000
一般的名称:汎用超音波画像診断装置
販売名:超音波診断装置 Viamo sv7 CUS-VSV7
認証番号:229ACBZX00025000
一般的名称:全身用X線CT診断装置
販売名:CTスキャナ Aquilion Lightning TSX-035A
認証番号:227ADBZX00052000
ワイルドナイツクリニック
埼玉県熊谷市今井68-1
TEL 048-578-4272
https://wkc-nobushi.com
- 【関連コンテンツ】
