セミナーレポート(キヤノンメディカルシステムズ)
2024年11月号
第47回日本呼吸器内視鏡学会学術集会スポンサードセミナー3 気管支鏡検査の正確性向上のために~CアームX線システムの最新活用法~
〈講演1〉新画像処理条件Accentの実臨床上の効果
立原素子(神戸大学大学院医学研究科 内科学講座 呼吸器内科学分野)
当院の呼吸器内科は、年間約400例の気管支鏡検査を行っている。2022年6月に導入したCアームX線TVシステム「Ultimax-i」(キヤノンメディカルシステムズ社製)は、コンパクト設計で十分なワーキングスペースを確保しつつ、高画質・低被ばくで安全な検査が可能である。本講演では、Ultimax-iに新たに搭載された新画像処理条件やCアームを活用した検査例を紹介する。
当院の透視内視鏡室の工夫
当院の光学医療診療部は2室の透視内視鏡室を備え、呼吸器内科と消化器内科が共同で使用している。呼吸器内科では、ガイドシース併用気管支内超音波断層法(EBUS-GS)や超音波気管支鏡下穿刺吸引生検法(EBUS-TBNA)、クライオ生検やインターベンションなどを行っている。1日あたりの検査件数は最大10件としているが、状況に応じて12件程度行う場合もある。
透視内視鏡室には、アイランド型のX線TVシステム1台とCアームX線TVシステムであるUltimax-i(いずれもキヤノンメディカルシステムズ社製)をそれぞれ設置している。Ultimax-iは奥行きが約226cmとコンパクトな設計であるのに加えて、装置本体を透視内視鏡室の壁面に沿って設置可能である(図1)。そのため、検査中は検査医1名と介助者2名のほか、鎮静担当医、検体処理担当者を各1名配置しているが、十分なワーキングスペースを確保できている。また、天板や大型モニタ、内視鏡装置などを手技のしやすい位置に配置できるのも有用である。
Ultimax-iのCアームはRAO41°〜LAO90°回転し、幅広い角度で観察できる(図2)。コンソール上にあるレバー1本のみで操作できるため、Cアームを直感的に動かすことができる。Cアーム型装置の導入前は担当医や介助者が被検者の体位を変換し、保持する必要があったが、Cアームを回転させることで被検者を動かすことなく病変部を観察でき、マンパワーの省力化にもつながっている(図3)。
透視内視鏡室内の照明には可変色LEDを採用している。手技に応じて最適な明るさや色合いに調整することで術者の視認性が向上する(図4)。当科では通常、紫色に設定しているが、モニタ画面が観察しやすく術者の眼の負担を軽減するほか、被検者の心理的な安心が得られ、検査中の不安を和らげることが期待される。55インチの大型モニタは4系統の表示が可能で、内視鏡像、透視像、生体モニタ、ナビゲーション画面などを表示している(図5)。透視時は、ベストポジションの撮影像とライブ像を同時に表示・確認している。
また、検査室内のフットスイッチで透視・撮影が可能である(図6)。従来、操作室にいる医師が透視・撮影を行っていたが、検査室の外からでは透視を行うタイミングの判断が難しく、X線を照射し続けたまま手技を行わざるを得なかった。しかし、フットスイッチを用いることで、術者がデバイスを操作しながら最適なタイミングで照射でき、最低限の透視時間で被ばくを抑えた検査が可能となる。
図1 透視内視鏡室内のUltimax-iの配置
コンパクト設計で広いワーキングスペースが確保できている。
図2 Ultimax-iのCアームとコンソール
RAO41°~LAO90°回転をレバー1本で直感的に操作できる。
図3 EBUS-TBNAにおけるCアームの活用例
Cアームにより、被検者を動かさずに観察できる。
図4 透視内視鏡室の照明の工夫
図5 4系統の表示が可能な55インチの大型モニタ
図6 検査室内のフットスイッチ
高画質・低線量検査を実現するUltimax-iの機能
「octave SP」は、多重解像度SNRFなどの8つの技術で構成される高画質・低線量検査コンセプトで、従来装置より放射線量を65%低減する。
さらに、Ultimax-iは透視線量モードとパルス透視のフレームレートの切り替えによる大幅な線量低減も可能である。透視線量モードは、タッチパネル操作で透視を切らずに操作できるため、検査を妨げることなく切り替えが可能で、検査内容に応じてNormalモード(標準の線量)、Midモード(標準の50%の線量)、Lowモード(標準の35%の線量)の3段階から選択できる。当院では基本的にMidモードに設定しているが、照射線量を下げても画像のコントラストが維持されており、すべての検査で被ばくを抑えた検査ができている(図7)。octave SPによる照射線量低減(65%)と合わせて82.5%の線量低減が可能である(図8)。また、パルス透視のフレームレートはダイヤルを回すだけで1.0〜15fpsに細かく調整できる(図9)。当院では、検査開始時には15fpsに設定し、病変の確認後は7.5fpsに切り替えるなどの運用を行っているが、術者がストレスなく観察可能な十分な画質が得られている(図10)。
図7 各透視線量モードによる透視像
照射線量を下げても画像のコントラストが維持されるため、毎日の検査で被ばくを抑えることが可能。
(当院ではMidモードを使用)
図8 透視線量モード切り替えによる照射線量の低減
図9 パルス透視のフレームレートの切り替えによる照射線量の低減
図10 パルス透視の各フレームレートにおける病変とデバイスの視認性
a:3.75fps b:7.5fps c:15fps
低線量の低いフレームレートでも、病変の位置確認やガイドシース先端の観察に十分な画像が得られている(Accent適用症例画像)。
(ガイドシース:GuideSheathKit2、オリンパス社製)
新画像処理条件「Accent」による病変・デバイスの視認性の向上
Ultimax-iに新たに搭載された画像処理条件Accentは、デバイスや造影剤を強調し、術者が見たい部分の視認性を向上する技術である。当院は、病変やデバイスの視認性の高さから、大半の症例でAccentを適用している。経気管支生検針(PeriViewFLEX、オリンパス社製)は透視下での視認性が若干低い場合があるが、Accentでは針の先端も明瞭に確認できる(図11)。
さらに、Accent適用時に透視線量モードを切り替えることで、より低線量での検査が可能である(図12)。前述のとおり、標準(Normalモード)の約半分の照射線量であるMidモードでも十分な視認性を維持できることから、当院ではMidモードとAccentを併用している。また、生検や擦過を繰り返し行うケースなどは透視時間が長くなるが、より低線量なLowモードを選択し、被ばく線量の大幅な低減を図っている。
Accentは病変とデバイスの位置関係をより正確に把握できるため、末梢病変に対する気管支鏡検査では特に有用である(図13)。また、肺部小結節などの視認が困難な症例でも、Accentを適用することで視認性が向上する。透視線量モードをMidモードにして低線量(3.6mGy/min)で検査を行った場合でも、Accentを適用しないNormalモード(7.0mGy/min)と比較して病変やデバイスを明瞭に視認できた(図14)。
図11 Accent適用症例画像1:経気管支生検針の視認性の向上
a:通常モード b:Accent
(吸引生検針:PeriViewFLEX、オリンパス社製)
図12 Accent適用症例画像2:各透視線量モードにおける病変とデバイスの視認性の向上
a:Normalモード(3.4mGy/min) b:Midモード(2.1mGy/min) c:Lowモード(1.2mGy/min)
より低線量の透視線量モード(Lowモード)でも視認性が向上しており、病変の位置確認をしながらブラシを視認できる。
図13 Accent適用症例画像3:病変とデバイスの視認性の向上
a:通常モード b:Accent
病変の位置確認をしながら鉗子を視認できる。
図14 Accent適用症例画像4:病変とデバイスの視認性の向上
a:通常モード・Normalモード(7.0mGy/min) b:Accent・Midモード(3.6mGy/min)
Accentにより、通常よりも低線量で、病変の位置確認をしながら鉗子を視認できる。
Cアームを活用したクライオ生検
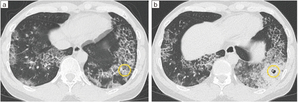
Ultimax-iのCアームは、クライオ生検時に有用である。クライオ生検では、胸膜から1cm手前の位置が最も良質かつ安全に検体を採取できるとされており1)、そこでいかに確実に採取を行うかが重要なポイントとなる。生検中に介助者らが被検者の体位を変換し、保持している間に体が動いてしまうケースがあるが、Cアームを用いることで、被検者の体位を固定したまま最適な角度で検体採取が行える。前医が気管支肺胞洗浄(BAL)や経気管支肺生検(TBLB)を行ったが診断がつかず、当院でCアームを用いてクライオ生検を行った結果、肺胞蛋白症と診断された症例なども経験している(図15、16)。Cアームを有効に活用することで、病変やデバイスと胸膜との位置関係をより正確に把握し、安全に検査を行えることは、大きなメリットとなる。
図15 Cアームを活用したクライオ生検1
被検者を動かさずに行えるため、安全性が向上する(Accent適用症例画像)。
図16 Cアームを活用したクライオ生検2
a:生検前 b:生検後
図15の症例のCT画像。当院でのクライオ生検の結果、肺胞蛋白症と診断された。
まとめ
気管支鏡検査において透視装置は必須であり、画質に妥協せず、かつ低線量な検査が可能な装置が求められる。また、広いワーキングスペースの確保や安全な検査という観点から、コンパクト設計のCアーム型装置であるUltimax-iは大変有用と考えている。
*記事内容はご経験や知見による、ご本人のご意見や感想が含まれる場合があります。
●参考文献
1)丹羽 崇:クライオバイオプシーにおけるCアームの活用(第46回日本呼吸器内視鏡学会学術集会ランチョンセミナー5 気管支鏡検査の正確性向上のために ~CアームX線システムの最新活用法~).
一般的名称:据置型デジタル式汎用X線透視診断装置
販売名:多目的デジタルX線TVシステム Ultimax-i DREX-UI80
認証番号:221ACBZX00010000
- 【関連コンテンツ】
