最新技術を生かしたこどもに優しい画像診断
被ばく低減・リスク低減をめざして
相田 典子(神奈川県立こども医療センター 放射線科)
Session 1
2017-12-25
放射線感受性が高く,余命の長い小児は,CT検査を行うに当たり最も被ばく低減を考慮する必要がある。本講演では,小児CTにおける被ばく低減と緊急検査を含めた小児画像診断の進め方を中心に述べる。
小児のCT被ばくリスク低減の背景
近年,CTの被ばくによる発がんリスクについて多くの論文が発表されるようになったが,2013年のBritish Medical Journal(BMJ)に発表された報告1)は衝撃的であった。本論文は,0〜19歳までに診断目的でCT検査を行った68万人(脳CTが59.4%,外傷が最多)という非常に大きなコホートの約10年間の発がんリスクを評価したもので,CT検査を受けていない人との比較によるがん罹患率比は1.24と,CT検査1回ごとに0.16上昇している。低年齢であるほどがん罹患率比が大きく,脳CT後の脳腫瘍罹患率比は,1年以降で2.44,5年以降で2.02と,非常に高率であった。さまざまなバイアスがかかっているとしても,コホートの規模を考慮すると,放射線診断医および診療放射線技師はこのエビデンスを真摯に受け止めるべきであり,特に,小児のCT検査については適応をしっかりと検討する必要があると考える。
最近では,CT装置の進歩により被ばく低減が図られているが,不要なCT検査を行わないことが最大の被ばく低減になる。当センターでは,例えば緊急の頭部CT検査は原則単純CTのみとし,発達遅滞やてんかんの検査ではMRIを第一選択としている。中枢以外のCT検査は,骨や肺野の検査を除き原則として造影CT1相のみであり,また,超音波検査を積極的に行うという配慮が必要となる。
一方,必要な検査は適正な条件で施行することが重要であり,体動や過剰な線量低減による不十分な画像は,診断に寄与しないばかりか無駄な被ばくと言える。
小児CT検査の正当化と最適化
被ばく低減には『画像診断ガイドライン』が有用である。2013年版では小児の項目が設けられていなかったが,2016年版2)では小児と核医学が追加となった。小児の項の総論では,小児CT検査の正当化と最適化の重要性を強調した。小児は成人と比べて生存期間が非常に長いため,被ばくはもとより造影剤の蓄積効果なども含めて,より慎重に検査適応を決定し,発がんなどリスクの低減を考慮しなければならない。
1.小児CT検査の正当化
小児CT検査において,リスクの低い軽度な頭部外傷の画像診断ガイドラインにおける推奨グレードはD,つまり,「検査を行ってはいけない」という厳しい判定である(参考文献2),74項参照)。また,小児CT検査のうち,約30%は検査不要か,放射線を使用しないほかの検査に変更可能というヨーロッパからの報告もある。世界保健機構(WHO)の小児画像検査のワークショップレポートでも,その検査が最適かつ必要であるかどうかを十分検討した上で施行すべきとしているが,わが国ではこのような教育や啓発が不十分である。検査の適応の判断は,まずは依頼医が行うが,正当性を判断するのは放射線診断医の最も重要な仕事であると考える。
なお,当センターにおけるCTとMRIによる検査件数の年次推移を見ると,2013年を境に,MRIがCTを上回っている。当センターには2014年12月に「Aquilion ONE」が導入され,CTの検査効率が向上したが,放射線被ばくの影響の啓発や他検査への変更を提案して,小児CT検査の抑制に努めた結果である。
2.小児CT検査の最適化
小児画像検査の最適化は,ALARAの原則に則って行う。近年,わが国でも被ばく低減の動きが盛んとなっており,2015年には医療被ばく研究情報ネットワーク(J-RIME)により「最新の国内実態調査に基づく診断参考レベルの設定」が報告された。診断参考レベル(DRL)は被ばくの制限や限度を示すものではなく,必要性があれば超えてもよいものである。一方,CTDIvolがDRLを下回っていても,無用な多相撮影が行われれば被ばく量は倍増するため,小児に最適なプロトコールを成人用とは別に設定する必要がある。
当センターでは,頭部CTの大部分や気道,肺,石灰化の有無の評価などは単純CTを行い,不明熱や感染巣,腫瘍性病変,心大血管・血管病変の検索については造影CTを推奨している。使用造影剤量は1.5mL/kg程度と少なめとし,撮影タイミングは領域や年齢,目的によって変更している(図1〜3)。
図1 当センターにおける造影CTプロトコール |
図2 胸腹部における造影CTのポイント |
図3 心大血管,新生児・乳児における |
3.症例提示
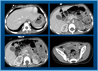
症例1は,2歳,女児,神経芽腫化学療法後症例である。造影1相のみで門脈と肝静脈が良好に描出された画像が得られた(図4)。
症例2は,2歳,女児,肝芽腫術後,化学療法後で,やはり造影1相のみで十分な情報が得られている(図5)。
症例3は,3か月,男児,総動脈幹症を含む複雑心奇形症例である。新生児/乳児の心大血管の撮影は難しいが,当センターでは造影剤量(300mg/mL)1.5mL/kgを生理的食塩水にて2:1で混和し,計15mLを20mLシリンジに入れて使用換算量を設定している。低管電圧(80kV)のボリュームスキャンを行うことで,わずかな線量でも心電図同期をかけることなく,十分な画像が得られている(図6)。
症例4は,4歳,女児,急性期脳梗塞症例で,心疾患の既往がある。昼寝からの起床時に上下肢麻痺が認められ,約3時間後のCTにてearly CT signが認められた(図7 a,b)。早期虚血の診断は小児も成人と同様に行うが,皮質と白質のコントラストが明瞭な画像が求められる。直後のMRI(1.5T)の拡散強調画像では,b値2000s/mm2(図7 e)にて病変が描出されているが,b値1000s/mm2(図7 d)ではわかりにくい。これとCT画像を比較すると,本症例ではCTの方が私には所見がわかりやすく,やはり適切な条件のCTは,小児においても強力な診断手法であると言える。
当センターでは,緊急の頭部CTは原則として単純CTを施行し,CTでの早期診断が難しい症例はMRIを施行するが,将来的にはFull IRの“FIRST”を応用することで,CTでも所見が拾い上げられる可能性が高くなることを期待している。
図4 症例1:左副腎原発神経芽腫化学療法後症例(2歳,女児)
図5 症例2:肝芽腫術後・化学療法後(2歳,女児)
図6 症例3:総動脈幹症を含む複雑心奇形症例(3か月,男児)
図7 症例4:急性期脳梗塞症例(4歳,女児)
緊急検査を含めた小児画像診断の進め方
日本は,CT,MRI共に保有台数が世界第1位である一方,放射線診断医が少なく,CT,MRI検査の多くは専門家のコントロール外で実施されていると考えられる。なかでも小児は,被ばくを含めた侵襲に最も配慮が求められるが,画像診断機器が適切に使用されていないほか,適応判断や検査方法,診断も不十分である。これらは日本の医療体制の問題ではあるものの,放射線診断医には,ぜひ小児をしっかりと診断していただきたいと考える。
また,状態の悪い患者の画像検査は,「検査室への搬送による状態悪化の可能性」と「CT/MRI所見により治療方針決定にかかわる重要情報が得られる可能性」との兼ね合いが難しいが,小児の病状把握は困難であるからこそ,緊急の画像診断がより有用となる可能性がある。
必要な検査であれば鎮静などの侵襲があっても十分な安全対策をした上で,最新技術を生かした適切な検査を完遂すべきと考える。
まとめ
小児画像検査は,放射線診断医や診療放射線技師がその能力を最も発揮できる領域であり,専門知識を駆使して検査に積極的にかかわり,未来を担う子どもたちのために貢献していただきたいと考えている。装置の専門家であるメーカーとも連携し,子どもたちにより良い医療を提供できれば幸いである。
●参考文献
1)Mathews, J. D., Forsythe, A. V., Brady, Z., et al. : Cancer risk in 680,000 people exposed to computed tomography scans in childhood or adolescence ; Data linkage study of 11 million Australians. BMJ,346, f2360, 2013.
2)画像診断ガイドライン 2016年版. 日本医学放射線学会編,東京,金原出版,2016.
- 【関連コンテンツ】
