Area Detector CTが変えたもの(腹部領域)
南 哲弥(金沢大学大学院医薬保健学総合研究科 内科系医学領域放射線科学)
Session 2
2017-12-25
当院は2017年2月,320列ADCTを組み合わせた最新型のAngio CTを導入した。これまでは64列MDCT「Aquilion 64」を組み合わせたAngio CTを使用していたが,今回導入したのは320列ADCT「Aquilion ONE/Global Standard Edition」と血管撮影装置「INFX-8000C」を組み合わせた最新型のシステムである。同時に冷凍手術器「CryoHit」(GALIL MEDICAL社製)も導入し,CTガイド下にて腎がんに対する凍結療法を施行している。
本講演では,当院におけるAngio CTの使用状況や運用事例を紹介し,今後の課題や展望について述べる。
320列最新型Angio CTの使用状況
320列最新型Angio CTでは,2017年2月の導入から8月半ばまでに503件の検査を実施した。肝TACE,肝精査,超選択的動注療法など,肝臓の検査・治療を中心にCTを使用した手技が56%あり,TAEの緊急止血時などの使用も含めると全体の60%程度でCTを施行している。
4D CTHA
Angio CTのCT装置が64列MDCTから320列ADCTへと進化したことで,肝臓検査において大きく変わったのが肝動脈造影下CT(CTHA)である(図1)。肝細胞がん(HCC)の診断では,特異的所見であるコロナ様濃染をCTHAのdelayフェーズで確認することが重要である。64列MDCTでは,ヘリカルスキャンでearly(7秒)とdelay(50秒)の2相撮影を行い,必要に応じて腫瘍が疑われる領域を,撮影範囲が限定される中ではあるが,連続スキャン(“Single Slice Dynamic CTHA”と呼称)する2回の撮影をしていた。しかし,320列ADCTでは160mm幅の全肝の4D撮影が可能なため,肝臓のZ軸方向が150mm以下の被検者では,Dynamic Volume ScanにてCTHAと4D撮影を一度の検査プロセスで行っている。64列MDCTと320列ADCTでのCTHAの撮影プロトコールを図2に示す。
64列MDCTのSingle Slice Dynamic CTHAでは40秒の息止めにて連続スキャンを行っていたが,それが困難な被検者も多い。そこで320列ADCTでは,連続スキャンと間欠スキャンの間で一呼吸を入れて,息止めを2回(20秒×2)に分けている。
HCCの血行動態の観察において,32mmの撮影範囲を有する64列MDCTに比べ,320列ADCTでは160mm幅を撮影できるという点で臨床的意義は大きい。64列MDCTでは,全肝の血行動態の観察にはearlyとdelayの2相をフュージョンした画像を作成し,HCCに注目する場合にはSingle Slice Dynamic CTHAで撮影した32mmの領域の血流評価をしていた。一方,320列ADCTでは全肝のDynamic Volume Scanが可能で,HCCが複数ある場合にも個々の血行動態の違いをとらえることができる(図3)。
Dynamic Volume Scan でHCCとAPシャント/門脈瘤(血管性病変)の血行動態を比べると,血流やwashoutの様子,肝臓実質の濃染に明らかに違いがあることがわかる(図4)。今後は,血行動態の詳細な検討が必要と考えている。
図1 CTの進化による肝臓検査の変化
図2 当院におけるCTHAの撮影プロトコール
図3 全肝Dynamic Volume Scan:HCC症例
図4 全肝Dynamic Volume Scan:HCC(a)とAPシャント/門脈瘤(b)の比較
CTガイド下手技
最近では,分子標的薬治療など,殺細胞性の抗がん剤化学療法ではない治療法が多く行われるようになり,CTガイド下の生検が非常に増えている。
320列の最新型Angio CTは,CTガイド下手技において,リアルタイムに“AIDR 3D”を適用した3断面透視画像に加え,モード切り替えにより穿刺やドレナージ,生検など,さまざまなシーンで利用できるように工夫が施されている。当院導入後の503件の検査のうち,18%でCTガイド下手技(生検,マーカー留置,凍結療法,ドレナージ術)を実施している。
1.肺生検
肺生検における3断面透視の実際のモニタ画面を図5に示す。モードの切り替えは,画面左下のボタン(図5□)で容易に行うことができ,通常の肺生検などではOneshot Modeで穿刺を進め,腫瘍に近づいたらContinuous Modeに切り替えるといった使い方をしている。Oneshot Modeではhalf scanを利用することで,術者の被ばく線量を低減することができる。
また,AIDR 3Dを適用することで,ノイズの少ない3断面透視画像ガイド下に手技を行うことができる。肺はコントラストが非常につきやすいが,実質臓器内の腫瘍や大きな腫瘍のどの部分をねらって穿刺するかを判断する場合などには,AIDR 3Dを適用することでコントラストが向上し有用である。
図5 肺生検における3断面透視画面
2.腎がん凍結療法
2011年5月,小径腎がん(RCC)に対する凍結療法が保険適用となった。当院では320列の最新型Angio CTと同時に冷凍手術器を導入し,2017年4月から実際に小径RCCに対する凍結療法を開始した。
モニタリングのため,凍結中には適宜,320列ADCTのVolume One Shotモードで撮影する(図6)。Volume One Shotでは,1回転0.5秒で160mm幅を撮影できるため,寝台や被検者を動かすことなく広範囲の穿刺状態を確認できる。Volume One Shotでは,撮影後に方向を変えたオブリーク画像も作成することができるため,手技を安全かつ迅速に進めることができる点で大変有用なツールである。今後はさらなるリアルタイム性の向上に期待している。
RCCに対する凍結療法では,ニードルを3本使用することが多い。RCCが腸管に近接している場合はHydrodissection法を併用するが,ニードル3本に加えて造影剤があることで強いアーチファクトが生じ,アキシャル画像に近い3断面透視画像だけでは病変をリアルタイムに正確に把握することが困難となる。そこで当院では,このような症例に対して,オブリーク穿刺により3断面透視画像でニードルを非常に短い範囲だけ描出することで,金属アーチファクトの抑制を図っている(図7)。320列ADCTでは,Volume One Shotを用いることでオブリーク穿刺を比較的容易に行える利点がある。
なお,Volume One Shotは,同定が難しい副腎静脈サンプリング(AVS)においても有用である。
図6 凍結療法におけるVolume One Shotでのモニタリング
図7 RCC(74歳,男性)に対するオブリーク穿刺
今後の課題・展望
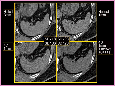
今後は,まず,画像や撮影法の最適化と,さらなる被ばく低減が課題となる。Dynamic Volume Scanでは被ばくを考慮して撮影するため,ヘリカルCTと比べ画質が低下するが,Time Average法を用いて2回転分のデータを1画像とすることで,ヘリカルCTと遜色ない画質を得ることができる(図8)。
また,全肝Dynamic Volume Scanデータを用いたperfusionデータの活用・解析法の検討を進めていく。肝臓は肝動脈と門脈の2系統入力となるため,解析は容易ではないかもしれないが,CTA(肝動脈造影)とCTAP(門脈造影)を1系統ずつ入力するSingle Input Maximum Slope法などの応用により,血行動態について新たな知見が得られると考える。
また,Angio CTにおいては,CTとCアームシステムの連携も課題である。
CTガイド下手技については,今までにないVolume One Shotが使用できるようになったことから,前述のオブリーク穿刺にとどまらず,Z軸方向でリアルタイムにモニタリングをしながらのアプローチも可能ではないかと考えている。CTガイド下手技はますます増えており,透視の多断面化やVolume One Shotのリアルタイム性の向上など,今後のさらなる進化に期待したい。
図8 320列ADCTの画質向上
- 【関連コンテンツ】
