造影CT画像の特性を活かし正確な画像診断へ
瓜倉 厚志(静岡県立静岡がんセンター 画像診断科)
Session 2-1:CT(技術・臨床アプリ「装置の性能を最大限に切り拓く」)
2019-5-24
造影CTでは,CT値を利用することで,定量性の高い画像を得ることができる。また,コントラストを良くすることで,診断精度を向上させることが可能となる。われわれは,これらの造影CTの特性を活用するための戦略として,非剛体レジストレーションによるサブトラクションを行う“SURESubtraction”を多くの症例に適用している。本講演では,SURESubtractionの有用性について概説する。
SURESubtractionの特長
SURESubtractionの最も重要なポイントは,非剛体レジストレーションという位置合わせ技術の採用である。軟部組織では,XYZ軸で単純に位置合わせを行うと,全体的に大きなズレが生じる。軟部組織でも非剛体でレジストレーションを行うことにより,位置合わせが可能になる。例えば,造影CT画像と単純CT画像で非剛体レジストレーションを行うと,背景組織のCT値に依存しない正確な造影効果をとらえることができる。
1.ヨード造影剤の定量性
われわれは,Dual Energy CT対応のファントム(京都科学社製)を用いて,SURESubtractionのヨード造影剤の定量性について検討を行った。ファントム実験では,0,4,8,12mgI/mLと濃度を変えたヨードを封入して,CTDIvolを2.6,5.1,8.0,10.1mGyに変更して撮影を行い,ノイズがどのように影響するかを評価した。その結果,撮影線量を低くするとCT値は高くなるものの最大でも1HU程度であり,SURESubtractionのヨードの定量性が非常に高いことが明らかになった。
2.肝ラジオ波焼灼療法の効果判定における有用性
通常,ラジオ波焼灼療法(RFA)の治療効果判定には,ダイナミックCTを用いる。ただし,アブレーションマージンが腫瘍を凌駕しているかどうかを見るには,造影効果にバラツキがある場合や,肝動脈化学塞栓療法(TACE)併用RFAでは,判定が困難なことがある。そこで,RFAの治療効果判定におけるSURESubtractionの有用性を検証するために,2018年7〜8月に施行した肝細胞がんのRFA前後でCT検査を行った11例で,ダイナミックCTの後期動脈相と,SURESubtractionで後期動脈相から単純CT画像をサブトラクションした場合の焼灼領域のCT値を比較した。その結果,ダイナミックCTでは,RFA前後でCT値に変化が見られない,または大きく変化しないものが一部あった。これは,TACE併用RFAではリピオドールが残存しているためと考えられる。一方,SURESubtractionでは,治療前はCT値が50HU前後が多く,治療後には0〜5HUに収まっていた。背景の正常肝実質は20〜30HU程度であることから,SURESubtractionは,RFAの治療効果を客観的に判定できると考えられる。
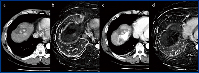
症例1は,51歳,男性の肝細胞がんで,TACE併用RFAを施行した(図1)。RFA前の造影CTでは以前TACEを行った後にできた新しい病変を描出しているが(図1 a),TACE併用RFA後ではリピオドールの残存が高吸収域となっており治療効果を判定できない(図1 c)。このような場合にSURESubtractionを用いることで,腫瘍が焼灼されたことを明瞭に確認できる(図1 d)。
図1 症例1:肝細胞がん(51歳,男性)
a:造影CT画像(TACE併用RFA前) b:SURESubtraction(TACE併用RFA前)
c:造影CT画像(TACE併用RFA後) d:SURESubtraction(TACE併用RFA後)
3.その他の症例提示
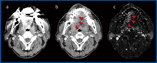
症例2は,61歳,男性の右舌縁がんである(図2)。インプラントがあるため,金属アーチファクト低減(Metal Artifact Reduction:MAR)技術の“SEMAR”(Single Energy Metal Artifact Reduction)を適用し,さらに,SURESubtractionを用いることで,腫瘍の範囲を同定できた(図2 c◀)。また,症例3は50歳,男性の舌がんである(図3)。造影MR画像では,撮像時間が長いためにモーションアーチファクトが発生し,腫瘍の同定が困難である(図3 b)。一方,SURESubtractionでは,腫瘍の辺縁も明瞭に描出され,リンパ節転移も観察できる(図3 c▶)。
症例4は,71歳,男性の肝細胞がんで(図4),単純CT,造影CT後期動脈相,造影CT平衡相で腫瘍が認められるが(図4 a〜c),SURESubtractionを行うことで椎体の骨転移も描出できた(図4 d◀)。本症例は多発骨転移があり,SURESubtractionによって容易に骨転移の同定が可能になった。
図2 症例2:右舌縁がん
a:単純CT画像(SEMARなし) b:単純CT画像(SEMARあり)
c:SURESubtraction+SEMAR
図3 症例3:舌がん
a:造影CT画像 b:造影MR画像 c:SURESubtraction
図4 症例4:肝細胞がん,骨転移
a:単純CT画像 b:造影CT画像(後期動脈相)
c:造影CT画像(平衡相) d:SURESubtraction
超高精細CTとSURESubtraction
当施設では,2018年8月に超高精細CT「Aquilion Precision」を導入し,SURESubtractionを施行している。症例5は,76歳,男性の下咽頭がんで,術前化学放射線療法後の経過観察中である(図5)。Aquilion Precisionのコロナル画像では高い空間分解能により腫瘍が高精細に描出されている(図5 a)。
動きのある喉頭・咽頭においても,SURESubtractionによって高精度の差分が可能である(図5 b▶)。
症例6は,81歳,男性の膵がんである(図6)。本症例は前医がステントを留置しているが,Aquilion Precisionではブルーミングアーチファクトがなく,ingrowthした腫瘍が造影されている(図6 a)。SURESubtractionを行うと,ステント外側の造影効果やステント内のingrowthが高精細に描出されており,診断に有用と考えられる(図6 b◀)。
図5 症例5:下咽頭がん(Aquilion Precision)
a:造影CT画像 b:SURESubtraction
図6 症例6:膵がん(Aquilion Precision)
a:造影CT画像 b:SURESubtraction
Beyond SURESubtraction
症例7は,75歳,男性の鼻腔腫瘍であるが(図7),腫瘍の造影効果が高くないためにSURESubtractionを用いても,腫瘍範囲の同定が困難である(図7 a)。そこで,造影効果を増強させる“CE Boost”を併用してSURESubtractionを行うと,コントラスト向上によりサブトラクション画像が明瞭化し,造影範囲の同定が容易になった(図7 b)。
図7 症例7:鼻腔腫瘍
a:SURESubtraction b:SURESubtraction+CE Boost
まとめ
SURESubtractionは,Dual Energy CTと同等,あるいは部位によってはそれを上回る高いヨード定量性を有しており,定量的,客観的な診断が可能になる。また,Aquilion PrecisionでSURESubtractionを使用すると,詳細な解剖を反映したコントラスト情報を提供でき,診断精度の向上や治療戦略の決定に寄与する。さらに,これらの特長により,膨大な画像を読影する画像診断医の負担軽減にもつながると考えられる。
- 【関連コンテンツ】
