頭頸部領域における超高精細CTの有用性
久保 優子(国立がん研究センター中央病院放射線診断科)
Session 1
2019-11-25
本講演では,頭頸部領域におけるキヤノンメディカルシステムズの超高精細CT「Aquilion Precision」の有用性について,症例を提示して報告する。
■頭頸部がんの診断の現状
頭頸部がんでは,治療戦略のために画像診断が重要な役割を担っている。頭頸部領域のCT撮影では,義歯による金属アーチファクトの影響によって深達度診断が困難なことがあり,組織分解能が高く,腫瘍浸潤の評価に優れるMRIで診断されることが多い。しかし,原発巣の深部浸潤および隣接臓器への浸潤,リンパ節転移,遠隔転移などの評価には,MRIだけでなくCTやPETなど,複数のモダリティを用いて総合的に判断することが多い。
当院では,Aquilion Precisionが導入された2017年4月以降,頭頸部がんの術前精査については全例で,MRI(もしくはPET/MRI)とAquilion Precisionによる診断を行っている。
■Aquilion Precisionの特長と再構成法の活用
Aquilion Precisionの検出器は0.25mm×160列であり,従来の0.5mm×320列のエリアディテクタCT「Aquilion ONE」と比べて1/4の画素サイズとなる(図1)。当院で実施したスリット状のファントムモデルを用いた視覚的試験では,従来CTよりも高い空間分解能が示され,0.2mmまではより明瞭に描出可能であった。実際の側頭骨の画像でも,Aquilion Precisionの方が耳小骨や乳突蜂巣がより明瞭である(図2)。
図1 Aquilion Precisionの特長
図2 Aquilion Precisionによる側頭骨の描出
a:従来CT b:超高精細CT
また,Aquilion Precisionでは,各種の再構成法が活用できることも特長である。“AIDR 3D”や“FIRST”といった逐次近似画像再構成法(IR)を用いることでノイズが低減する。model-based IRであるFIRSTでは,空間分解能を向上させつつノイズ低減が可能であると同時に,金属アーチファクトの低減にもつながることが特長である。
金属アーチファクトについては,金属アーチファクト低減処理機能“SEMAR(Single Energy Metal Artifact Reduction)”処理を行うことで,特にダークバンドアーチファクトを大幅に低減できる(図3)。頭頸部領域では,義歯による金属アーチファクトが問題になることが多く,当院では必ずSEMAR処理を行うようにしている。
図3 金属アーチファクト低減処理機能SEMAR
また,サブトラクションソフトウエアとして,“SURESubtraction Iodine Mapping”を使用している。これは,位置合わせのアルゴリズムに相互情報量を使った非線形位置合わせ法である。複数時相(単純相と造影相など)のボリュームデータに対して高精度の位置合わせが可能になり,サブトラクションボリュームデータが生成できる。このサブトラクションデータからヨードのみの情報を抽出したヨードマップを元の造影画像に加算することで,造影成分を強調する“CE Boost”画像を作成できる(図4)。
図4 造影成分を強調するCE Boost画像
a:造影CT b:単純CT(TACE後の肝細胞がん再発) c:CE Boost画像
■症例提示
Aquilion Precisionが診断に有用だった頭頸部領域の症例について提示する。
1. 下咽頭がん/喉頭がん
表在がん(特に,低容積病変)は,内視鏡的診断が主体となりうる疾患であり,T1病変およびT2病変では,CTでは可視化できないこともあるので注意が必要である。
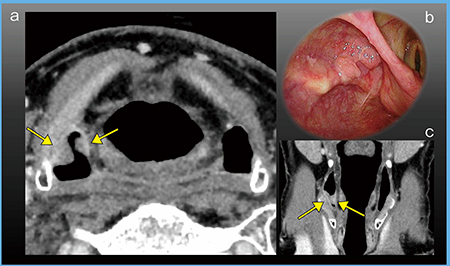
症例1は右の梨状陥凹に隆起性病変があり,内視鏡的に下咽頭がんと診断された症例である。Aquilion Precisionでは,6mmと5mmの隆起性病変が2か所,明瞭に描出されている(図5)。
図5 症例1:下咽頭がん(T1)
a:超高精細CT(1mm厚,AIDR 3D) b:内視鏡画像
c:超高精細CT(コロナル画像,2mm厚)
症例2の声門がんは5mm大の小さな表在がんであるが,Aquilion Precisionで描出が可能であった(図6)。表在性低容積病変は,従来CTでは指摘困難なことがあり,内視鏡的所見で診断されることが多かったが,Aquilion Precisionでは,深さ1mm程度の表在がんも描出可能になった。
図6 症例2:声門がん(T1a)
a:超高精細CT(1mm厚,AIDR 3D) b:内視鏡画像
2. 口腔がん
金属アーチファクトが最も問題になるのは,口腔がんである。
症例3は左舌縁がんの症例であるが,インプラントによる金属アーチファクトの影響により,MRIのみでは同定が困難だった(図7 a,b)。PET/MRIでは腫瘍に一致したFDG集積を認めた(図7 c)。SEMARを適用した造影CTでは,金属アーチファクトが問題になることなく,腫瘍の深達度診断が可能であった(図7 d,e)。さらに,CE Boost画像では,より明瞭に腫瘍を描出できた(図7 f)。
図7 症例3:左舌縁がん(T3)
a:MRI(T2WI) b:MRI(T2WI+Gd) c:PET/MRI
d,e:超高精細CT(SEMAR) f:CE Boost画像
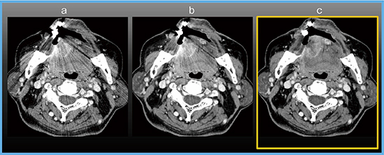
症例4は右舌縁がんの症例であり,FIRSTを用いることでインプラント(義歯)からのストリークアーチファクトが低減し,腫瘍が鮮明に描出されている(図8 b)。さらに,FIRSTにSEMARを適用することでダークバンドアーチファクトも低減され,相乗効果によって,ほぼ金属アーチファクトの影響のない画像が得られた(図8 c)。
図8 症例4:右舌縁がん(T3)
a:FBP b:FIRST c:FIRST+SEMAR
■まとめ
Aquilion Precisionでは,空間分解能が向上し,表在がんの検出能が向上した。さらに,各種の画像再構成法を用いることで,金属アーチファクトの低減が期待できる。また,進化したサブトラクション機能,特にCE Boost画像によって,より鮮明な腫瘍の描出が可能となる。
