Philips INNOVATION and VALUE(フィリップス・ジャパン)
2025年7月号
フラッグシップモデル並み*の高画質とコストの最適化を両立するフィリップス社製「CT 5300」で地域医療に貢献 ─実現のカギはAI画像再構成「Precise Image」とX線管球保証「Tube for Life」
和歌山南放射線科クリニック 和歌山画像診断センター
和歌山南放射線科クリニック 和歌山画像診断センターは,県下でも数少ない新型のPET/CTや,2台の3T MRIなど高性能な機器を完備し,地域の医療機関からの紹介患者に対して質の高い画像診断を提供している。近接する和歌山県立医科大学からは,通常の検査依頼に加え,共同研究が打診されることもあることから,画像診断装置の選定に当たっては高度な要望に応える機能を有することも念頭に置いている。このような背景もあって,同センターではもともと,CTは当時のフラッグシップモデル*である「Brilliance iCT」が稼働していたが,2025年2月に「CT 5300」に更新した。AI技術の活用などによって従来と同等以上の画質を提供しつつ,コストの最適化も図るCT 5300の特長や初期使用経験について,同センターを運営する医療法人昭陽会理事の綿貫樹里氏,同センター事務長で診療放射線技師の中川克二氏,技師長の田中康夫氏にお話を伺った。
綿貫樹里 理事 |
中川克二 事務長 |
田中康夫 技師長 |
性能とコストを厳しく吟味し「CT 5300」を選定
同センターは,県のがん医療の発展に寄与することをめざして2005年に開設された。地域の医療機関の要望に応えるため,画像検査においては依頼当日の迅速な検査の実施や,病変を確実に検出できる明瞭な画像の提供,患者負担の軽減などを重視している。長年にわたり地域との信頼関係を築いてきた結果,現在,1か月の検査件数はPET/CTが約400件,MRIが約500件,CTが約350件と,地域でもトップクラスの検査数を誇る。
先進的な機器や検査法の導入などにも積極的に取り組んできたが,同センターの姿勢について綿貫理事は,「経営的な体力に見合わない装置を導入したがために経営が立ちゆかなくなれば,地域住民にとって大きな損失になります。そのため,機器選定に当たっては,最先端の情報も入手しつつ,当センターの状況に見合った,かつ一歩先を行く装置を見極めています」と語る。今回のCTの更新に当たっても,これらの観点から各社の装置を厳しく吟味した結果,CT 5300が選定された。
高画質とコスト最適化のカギはAI技術とX線管球保証
同センターでは,新しいCTに求める条件として,当時稼働していたBrilliance iCTと同レベルの画像を出力できることを大前提とし,同時にコストを削減したいという要望もあった。その両方に応えたのがCT 5300である。CT 5300は,新開発の検出器や,耐久性に優れたX線管球,AI技術の搭載などハードウエアとソフトウエアの設計を刷新することで,フラッグシップモデル並み*の性能を有しつつ,コストパフォーマンスの向上も大きな特長である。中川事務長と田中技師長は,「なかでも選定の決め手となったのは,AI画像再構成『Precise Image』とX線管球保証『Tube for Life』です」と口をそろえる。
Precise Imageは,画像再構成プロセスにディープラーニングを用いており,低解像度のデータから高解像度画像の出力を可能としている。これにより,FBP法と比較し,大幅な線量低減およびノイズ低減や, コントラスト検出能の改善に資する。田中技師長は,「CT 5300の画像を見せていただいたところ,Precise Imageによって高体重な被検者でも以前に比べて画質改善することが見込めたため,とても魅力を感じました」と述べている。
一方,Tube for Lifeは,耐用年数(同社の耐用期間は10年)中におけるX線管球の交換を完全に保証するサービスで,安定した経営の維持や運用コストの平準化に寄与する。中川事務長は,「Tube for Lifeが保守契約に含まれていることで,突然の管球切れによる高額な費用負担の発生を心配する必要がなくなりました。ユーザーに寄り添った,とても良いプログラムです」と話す。田中技師長も,「10年保証をするということは,メーカー自身が管球の耐久性を自負している証しでもあると思うので,それ自体が信用につながっています」と強調する。以前から同社のサポート体制に対する信頼感が大きかったことも,CT 5300を導入する後押しとなった。
[CT 5300の臨床画像]
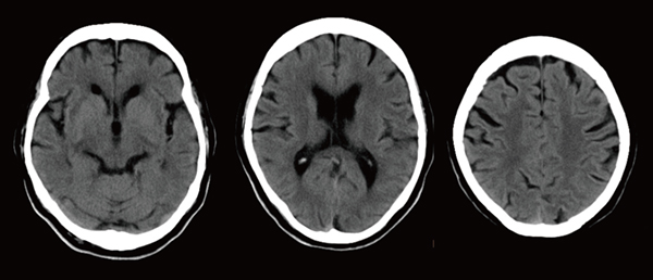
ノイズを低減した高画質頭部単純画像
(Precise Image,5mmスライス画像)
高画質CTA画像(Precise Image)
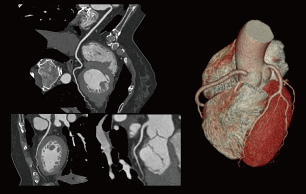
低被ばく高画質心臓CT画像
(Precise Image,CTDIvol 22mGy)
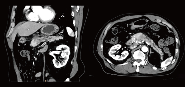
高画質膵臓がん症例
(Precise Image,2mmスライス画像)
ハードウエアの改善により検査効率や患者快適性が向上
CT 5300を導入して間もないが,同センターではすでに,以前と同様にフル稼働している。コンソールの操作性は大きく変わっていないため,問題なく使用できている。ガントリに搭載されている液晶の操作パネルが,以前よりも使いやすくなったほか,寝台移動が高速化したことで個々の撮影シリーズのインターバルが短くなり,検査のスループットが向上した。また,寝台の幅が広くなり,最低高が以前よりも低くなったため踏み台も不要で,ポジショニングのしやすさや,患者の安全面にも配慮した設計が快適性の向上につながっている。綿貫理事は,「患者さんが気兼ねなく検査を受けられることで,また当センターで検査を受けてもよいと思っていただければ,長期的には紹介患者の増加にもつながっていくと考えています」と述べる。
Precise Imageが多岐の部位で3D解析や造影剤低減に大きく貢献
検査の内訳としては,心臓CTが月約40件,そのほかは頭頸部や胸部,耳鼻科領域,整形領域,泌尿器科領域など,全身の検査をまんべんなく行っている。CT 5300の画質について,中川事務長は次のように評価している。
「Precise Imageによって以前よりもノイズが大幅に低減し,コントラストが向上しているため,3D画像の作成においては,ワークステーションによる骨や血管の自動抽出の精度が向上しました。末梢血管は通常,ノイズに埋もれてコントラストも付きにくく,3D画像の作成が非常に難しいのですが,現在は作成の手間が以前の半分以下になり,ストレスも軽減しています。また,頸部の撮影では肩のアーチファクトが劇的に低減し,鎖骨下動脈や肩周りの画像再構成が簡単に行えるようになりました」
ワークステーションは以前と同じものを使用しているため,画質改善が作業負担の軽減に寄与していることは明らかである。また,Precise Imageを使用しても,画像再構成に要する時間は以前と同等か,部位によっては短縮しているとのことだ。
さらに,同センターでは,和歌山県立医科大学から膵臓のthin slice画像の撮影依頼を受けることが多いが,Precise Imageによってノイズが以前よりも大幅に低減し,微小病変も明瞭に描出されるなど,診療に大きく寄与する画像を提供できるようになった。肝臓のCTも,Precise Imageによってコントラストが向上した結果,造影剤量を約20%低減しても,以前と同等の画像が得られている。肝臓以外の造影検査でも同様の効果が得られており,患者の負担軽減に貢献している。
なお,CT 5300はBrilliance iCTよりも時間分解能が低いため,中川事務長は当初,心臓CTの画質に若干の懸念があったというが,「CT 5300は心臓の再構成プロトコールが優れているため,比較的良好な画像が得られます。心拍にブレのある症例などでは,心臓専用AIモーション抑制の『Precise Cardiac』を使用することで,ブレの少ない画像が得られています」と評価している。
Precise Imageは,さまざまなシチュエーションでも高画質が得られることから,今後は頭部領域の線量低減にも期待が寄せられている。また,低線量肺がん検診CTの画質改善も期待できる。患者の負担を軽減しつつ,診断に役立つ画像を迅速に提供し続けていくことで,CT 5300は,同院がめざす理想の医療を支え続けていくに違いない。
(2025年5月16日取材)
*フィリップス社製CT装置内の比較
和歌山南放射線科クリニック 和歌山画像診断センター
〒641-0012
和歌山県和歌山市紀三井寺870-2
https://pet-wakayama.com/

- 【関連コンテンツ】
