技術解説(シーメンスヘルスケア)
2021年8月号
Women's Imaging 2021 最新技術
PET/CTによる最新技術を活用した乳がん診断
本稿では,Siemens HealthineersのPET/CT装置における最新技術を活用した乳がん診断について紹介する。
●高分解能画像再構成(880×880マトリックス)
従来,PET画像の再構成マトリックスは,ほかのモダリティと比べ低解像度の条件が選択されていた。日本核医学技術学会が2009年に作成した「がんFDG-PET/CT撮像法ガイドライン」1)では,検討に用いられたPETマトリックスサイズは,すべての機種において128×128である。Siemens Healthineersの最新型PET/CT装置「Biograph Vision」は,time-of-flight(TOF)時間分解能が214psと向上し,実効感度100cps/kBqという高感度,さらには,クリスタルの小型化による高分解能画像を実現した。画像再構成では,日常臨床において440×440マトリックスを選択することによる高分解能PET撮像が可能である。さらには,最大880×880の高分解能マトリックスを選択することも可能である。これらにより,小さな病変の検出能が向上し,腫瘍構造の描出を明瞭にすることができる。
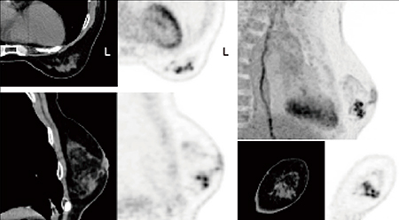
図1に症例を提示する。腹臥位で撮像することにより,乳房を伸展させ,胸郭の動きを抑制する。画像再構成はTOF+point spread function(PSF),880×880高分解能マトリックスの使用により,多発する小腫瘤を明瞭に描出している。
図1 左乳房BD領域に多発する小腫瘤の明瞭な描出
「伏臥位用乳房撮像クッションCPM」(中部メディカル社製)を使用し,腹臥位で撮像,TOF+PSF,880×880マトリックスの高分解能画像再構成を実施
(画像ご提供:九州大学病院様)
●参考文献
1) 福喜多博義, 林 万寿夫, 鈴木一史, 他 : がん FDG-PET/CT 撮像法ガイドライン. 核医学技術. 29(2): 195-235, 2009.
【問い合わせ先】
コミュニケーション部
TEL 0120-041-387
URL https://www.siemens-healthineers.com/jp/
