Brainlab® Elements
Elements BrainMets SRS,Elements Cranial SRS,Elements Spine SRS
ブレインラボ
高精度放射線治療
頭部・脊椎に対する定位放射線治療のベストプラクティスを反映して開発された,専用ソフトウェア
- 導入事例

Elementsは,頭部・脊椎に対する定位放射線治療専用に開発されたソフトウェアです。特定疾患に特化した複雑な治療計画ワークフローを標準化・自動化することで,定位放射線治療計画システムとしての使いやすさを追求しています。
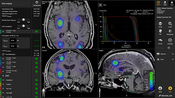
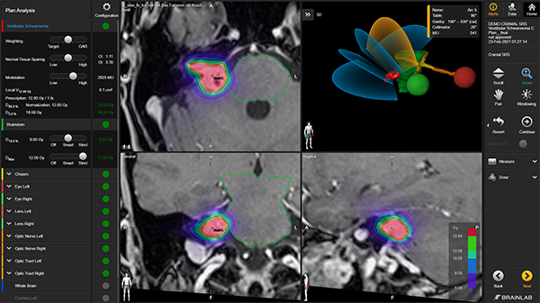
Elements Multiple Brain Mets SRSは,単発・多発性転移性脳腫瘍の治療で病巣数が多い場合でも,単一のアイソセンターで治療計画が可能です。Elements Cranial SRSは,4π最適化法とVMATを用いて良性・悪性脳腫瘍や血管奇形の治療を行います。
Elements Spine SRSは,脊椎腫瘍の定位放射線治療においてVMATを用いた治療計画を行います。
また,最新機能を常にご利用いただけるように,従来の買い切り方式に加え,サブスクリプション方式を導入しています。
製品<1> Elements Multiple Brain Mets SRS
単発・多発性脳腫瘍で病巣数が多い場合でも,DCAをメインに不整形腫瘍などに対してVMATを組み合わせた単一アイソセンターで治療計画が行えます。Retreatment Review機能により,過去の治療部位を見やすく表示し再治療計画をサポートします。
製品<2> Elements Cranial SRS
頭蓋内病変に特化し,複雑な形状の良性/悪性脳腫瘍や血管奇形に対して,独自のアルゴリズムでアークの照射軌道等を最適化したVMAT治療計画を作成します。
製品<3> Elements Spine SRS
転移性脊椎腫瘍に対する治療に特化し,VMATにより脊髄の境界部に急峻な線量勾配を実現した治療計画を行います。脊椎の弯曲補正,国際的ガイドライン*に準拠してGTV からCTV を自動的に描出,PTV への線量投与とOAR の保護を両立する標的定義機能を備えています。
*International Spine Radiosurgery Consortium Consensus Guidelines
<1> Elementsソフトウェア
-ビューワー3D
-イメージフュージョン
-ディストーションコレクション
-スマートブラシ
-セグメンテーション クラニアル
-オブジェクトマネジメント
<2>Elements症例別ソフトウェア(選択可能)
-Multiple BrainMets SRS
-Spine SRS
-Cranial SRS
<3>ワークステーション
※詳細は,弊社営業担当者までお問い合わせください。
Elements オプションソフトウェア
-ファイバートラッキング
-アンギオコンツーリング
- サブスクリプションによる期限付きライセンスの提供
●お問い合わせ先
ブレインラボ株式会社
〒108-0023 東京都港区芝浦3-2-16
TEL 03-3769-6900
brainlab.com/ja/
担当部署:放射線治療ビジネス部
メールアドレス:jp_sales@brainlab.com
販売名:エレメント(医療機器承認番号:30100BZX00108000)
販売名:エグザクトラック(医療機器承認番号:22200BZX00108000)
