Canon Clinical Report(キヤノンメディカルシステムズ)
2019年11月号
Cardiac Solution No.1[NM]
心筋シンチグラフィにおいて3検出器型ガンマカメラを用いて高画質と高スループットを両立 〜治療方針の決定で重要となる虚血評価に高感度SPECT装置で収集したデータで応える〜
さいたま赤十字病院
さいたま赤十字病院(638床、安藤昭彦院長)は、埼玉県南部の新しい医療拠点として2017年1月、さいたま新都心に新築移転した。県内2か所目となる高度救命救急センターの開設など、県南部の急性期医療の中核を担う施設として診療体制を整えている。同院の核医学検査部門では、心臓および頭部検査の専用機としてキヤノンメディカルシステムズの3検出器型ガンマカメラ「GCA-9300R」を導入し、2検出器型との2台体制で核医学検査を行っている。循環器ソリューション第1回は、GCA-9300Rによる心臓検査の運用について、放射線科部の小池克美課長に取材した。
小池克美 課長 |
県南部の医療拠点として2病院を一体的に整備
さいたま赤十字病院は、1933年に旧・与野市(現・さいたま市中央区)に設立、県南部の救急医療など急性期医療を担う中核病院である。2017年1月、さいたま新都心に移転し、新病院としてオープンした。埼玉県の“さいたま新都心医療拠点”として埼玉県立小児医療センターと一体的に整備されたもので、建物の一部を共用するほか、両病院による総合周産期母子医療センターの運営など、埼玉県が抱える課題に対応する新たな医療拠点となった。さいたま赤十字病院では、高度救命救急センターの新設のほか、がんや循環器疾患への対応など、高度急性期医療に特化した体制を整備している。
新病院では画像診断機器についても充実が図られており、CT4台(1台増設)、MRI3台(3T装置を新たに導入)、血管撮影装置2台が追加されるなど、高度医療を支える体制を整えた。小池課長は、「装置が増えたことで、検査数だけでなく、さらに質の高い情報の提供が求められています。放射線科部のスタッフは43名ですが、モダリティごとに専門性を持った技師を配置して、診療科からの要望に応えるようにしています」と説明する。また、高度救命救急センターの運用で救急車やドクターカー、ドクターヘリによる搬送が増加し、放射線科部においても2名の当直体制でCT、MRI、血管撮影の検査に対応している。
GCA-9300Rのコンソール
心臓、頭部のSPECT専用機として3検出器型を選定
新病院の核医学検査部門では、新たにPET/CTが導入されたほか、SPECTについても旧病院の2検出器型2台の構成から、2検出器型と3検出器型のGCA-9300Rの組み合わせとなった。そのねらいについて小池課長は、「旧病院では、核医学検査全体の中でSPECTが半数以上を占めていました。検査内容についても心臓や頭部が多かったことから、より高画質のデータ収集と検査スループットの向上を図るため、3検出器型の装置を導入しました」と説明する。
同院では、従来から心筋シンチグラフィに使用する201TI(タリウム)製剤について、被検者の被ばく低減を考慮して111MBqではなく、74MBqの製剤を使用してきた。そのため、心臓SPECTには高感度で検出性能の高い装置が必須となる。その条件で選定を進めた結果、国内で販売されている唯一の3検出器型装置であるGCA-9300Rの導入に至った。
3検出器型ガンマカメラによる高画質かつ効率的なデータ収集
キヤノンメディカルシステムズの3検出器型ガンマカメラであるGCA-9300Rは、心臓、頭部のSPECT検査に特化し、高画質で高速データ処理と同時に、操作性や使い勝手も考慮したガンマカメラである。同社では、1989年に3検出器型ガンマカメラである「GCA-9300A」を発売し、頭部や心臓の専用機として高い評価を受けてきた。GCA-9300Rは、その基本コンセプトを引き継ぎ、さらに高画質かつ高スループットの装置として開発された。
3つの検出器を“三角形”の形でセッティングすることで、より被検者に近い位置でデータ収集が可能になる。また、360°のデータを得るために2検出器では180°回転させる必要があるが、GCA-9300Rでは120°の回転ですみ、より短時間で収集できる。さらに、心筋SPECT検査に最適化した低中エネルギー汎用(LMEGP)コリメータによって、低投与量でも安定した高画質のデータ収集を可能にしている。
小池課長は、3検出器型について、「心臓や頭部の検査では、2検出器型と比べて画質が向上しています。特に、心臓については少ない投与量にもかかわらず、安定して高い画質の画像が収集できています。検査時間についても、2検出器型では1検査20分程度かかっていましたが、GCA-9300Rでは15分で終了し、検査全体のスループットも向上しています」と述べる。
同院のSPECT検査は、2台で月間140件前後、そのうちGCA-9300Rでは約80件行われている。内訳は心臓6、頭部4の割合になっている。核医学検査部門のスタッフは8名で、日々の検査業務には3名で対応する。負荷心筋シンチグラフィ検査は、午後の時間帯で負荷時の撮像後、3時間後に安静時の撮像を行っている。
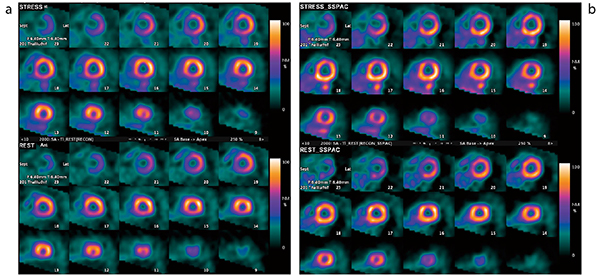
■3検出器型ガンマカメラ「GCA-9300R」による臨床画像
図1 201Tl 74MBqの低投与量による心筋シンチグラフィ
a:垂直長軸断層像(VLA) b:同、SSPAC+ 症例所見:70歳代、男性。LADに中等度狭窄(#50%)を認め心尖部虚血が疑われる。心尖部に一部再分布を伴う集積低下を認める。LAD領域に軽度のWOR(Washout Rate:薬剤の洗い出し率)低下を認める。
図2 SSPAC法による減弱補正
a:短軸断層像 b:同、SSPAC+ 症例所見:60歳代、男性。心電図による胸部誘導でST低下あり。虚血評価目的で負荷心筋シンチグラフィを実施。前壁中隔、心尖部でWOR低下を認めTID(Transient Ischemic Dilatation:負荷時の一過性虚血性左室拡大)陽性、安静時画像で再分布があり虚血を疑う。
SPECTファーストの虚血評価で治療方針を決定
同院での心筋シンチグラフィは、虚血性心疾患で経皮的冠動脈形成術(PCI)の術前に行われるが、なかでも安定狭心症でPCIを行う場合には全例で実施し、虚血を評価している。そのほか、腎機能が悪く、CTや血管撮影による検査ができない場合にも核医学検査が選択される。2018年の診療報酬改定において、安定狭心症に対するPCI術前の機能的虚血評価が必須の条件となったが、同院では従来より全例で虚血評価を行ってきたことから、算定要件変更後も大きな件数の増加はないという。しかし、同院ではCT検査件数が全体として多いため、心臓CT検査の予約が取りにくいという状況があり、SPECTが心筋の虚血評価の第一選択となっている。小池課長は、「SPECTファーストの状況があるだけに、高画質で安定した解析が可能なGCA-9300Rが心臓検査に有用だと感じています」と言う。
循環器内科の医師からは、GCA-9300Rの導入後、画質が向上し虚血の判断がしやすくなったほか、PCI施行など治療方針の決定にも貢献していると、評価されている。小池課長は、「心臓の核医学検査は、心筋の虚血の評価を定量的かつ客観的に判断できることが大きなメリットです。また、循環器内科の医師からは、心電図の変化が乏しい症例でも心筋シンチグラフィでは虚血が検出できる点についても評価されています」と述べる。
SSPAC法による減弱マップを作成して診断支援
GCA-9300Rには、減弱補正の手法として、SSPAC(Segmentation with Scatter and Photopeak window data for Attenuation Correction)法が搭載されている。心筋SPECT検査では、生体内の吸収・散乱の影響によって、深部に位置する下壁や中隔領域で集積が低下する問題がある。これを解決するため、外部線源やCTを用いて作成された減弱マップを利用した減弱補正が行われる。SSPAC法は、CTや外部線源を使わずに被検者から収集されたガンマ線の情報を用いて減弱マップを推定する方法で、追加のSPECT収集やCTの撮影が不要であり、収集ずみの撮像データからレトロスペクティブに処理をして作成することができることが特徴だ。小池課長は、「下壁や中隔の集積が低下し、あたかも虚血のように見えることがあり、それを防ぐために検査時に仰臥位と腹臥位で2回撮像する方法もありますが、検査時間が長くなってしまいます。GCA-9300RのSSPAC法では、収集されたSPECTデータから減弱マップを作成でき、
1回の撮像ですみます。医師には、減弱補正をしていない画像と補正した画像の両方を提供して、総合的に判断できるようにしています」と述べる。
GCA-9300Rでは、テクネチウム(99mTc)を用いた脳血流の定量法であるbrain uptake ratio(BUR)法を改良したimproved BUR(iBUR)法が新たに搭載された。小池課長は、脳血流だけでなく心臓についても今後、定量化に取り組んでいきたいと言う。「iBUR法ではファンビームコリメータを交換せずに、そのまま定量解析ができ、自動ROI設定で高い再現性が期待できます。現在は脳血流ですが、これを応用することで定量解析などにも取り組んでいきたいと考えています」と述べる。
GCA-9300Rは全国で約50台が稼働しており、心臓や頭部のSPECT装置として評価は高い。特に、虚血性心疾患をはじめとする循環器の画像診断においては、低投与量でも高画質・高スループットが両立できることに加え、独自の補正処理が診療現場で期待されている。
(2019年9月9日取材)
さいたま赤十字病院
埼玉県さいたま市中央区新都心1-5
TEL 048-852-1111
http://www.saitama-med.jrc.or.jp/

