Canon Clinical Report(キヤノンメディカルシステムズ)
2022年11月号
Artificial Intelligence Imaging No.3[NM]
画像再構成技術AiCE-iを搭載したデジタルPET-CTが確かな診療と検診に貢献 〜高画質・低被ばくで被検者負担の少ない検査を提供し地域医療に貢献〜
西諫早病院
人工知能(AI)ソリューションブランド“Altivity”を発表したキヤノンメディカルシステムズは、AIの活用によるイノベーションを通じて、新しい医療価値(臨床・運用・経営価値)の創出をめざしている。Artificial Intelligence Imagingの第3回では、ディープラーニングを用いて設計された画像再構成技術“Advanced intelligent Clear-IQ Engine-integrated(AiCE-i)”を搭載したデジタルPET-CT「Cartesion Prime」の事例を取り上げる。診療とPET-CT検診にCartesion Primeを活用している西諫早病院の千葉憲哉理事長、放射線部/放射線科の福田俊夫部長、宮本 泉放射線技師長に、導入・運用の状況やAiCE-iの評価について取材した。
千葉憲哉 理事長 |
福田俊夫 部長 |
地域のがん患者の増加を受け県内で初めてPET-CTを導入
1988年に千葉理事長が開設した医療法人祥仁会西諫早病院(長崎県諫早市)は、救急医療を提供してきた民間病院で、現在は病床数63床、一般外科、整形外科、消化器外科、脳神経外科、内科、放射線科など10診療科を備えて地域医療を支えている。祥仁会グループとしては、早くから介護施設も開設するなど地域のニーズをとらえた事業を展開してきた。
2005年には長崎県内初のPET-CT(2台)とサイクロトロンを導入し、“癌研PET/CT画像診断センター”を開設した。その背景には地域の高齢化によるがんの増加や、急性期疾患の受け入れ減少を踏まえた次なる事業展開というねらいがあったが、PET-CTの登場が後押しとなった。千葉理事長は、「PETだけでなくCT所見も同時に診られることで、小病変の発見や解剖学的説明が可能になりました。私は消化器外科医として多くのがん手術を経験してきましたが、手術後数年以内に見つかる再発転移の一部には見逃しも含まれている可能性があると考えており、全身検索が可能なPET-CTが、がんの早期発見や治療後の経過観察に役立つと期待しました」と話す。
2013年には車で1時間ほどの佐世保市内に“サテライトクリニックPET/CT佐世保”を開院し、地域での共同利用を進めて長崎県のがん診療に貢献してきた。本院の西諫早病院ではPET-CT検診にも注力しており、月平均90件ほどの検査の約半数が検診検査だ。検診画像のチェック・読影は、診療放射線技師、福田放射線科部長、長崎大学病院の核医学専門医、千葉理事長が複数で行う万全の体制をとっている。検診結果は、画像・データと解説をわかりやすくまとめたファイルで提供されるとともに、千葉理事長が約30分かけて受検者に詳細な結果説明と助言を行っている。千葉理事長は、「被爆地である長崎県は医療被ばくにも敏感です。PET-CT検診でも被ばくはありますが、それを上回るメリットを受検者に提供する検診を心がけています」と述べており、リピーターが多いことからも患者満足度の高さがうかがえる。
デジタルとAIを用いて開発した技術が搭載されたCartesion Primeに更新
癌研PET/CT画像診断センター開設時から稼働していた2台の他社製アナログPET-CTのサポートが終了したことから、2台で行っていた検査を1台で対応可能なPET-CTに的を絞って装置更新の検討が行われた。検診に注力していることもあり被検者の負担軽減も重視した検討の結果、キヤノンメディカルシステムズのCartesion Primeに決定し、2022年1月より稼働を開始した。千葉理事長は、採用の決め手について「短時間・低線量での検査と、デジタルとAIの先進的な組み合わせに期待しました」と話す。
Cartesion Primeの大きな特長が、ディープラーニングを用いて設計された画像再構成技術AiCE-iをPETと80列CTの両方で利用できる点だ。AiCE-iでは「高画質化と被ばく低減」と「SNR向上と検査時間短縮」を実現し、臨床や運用において高い価値を提供する。PET部分は、半導体(SiPM)でシンチレータ全面をカバーしたデジタル検出器“SURECount Detector”を搭載し、結晶と素子の1対1カップリング、TOF時間分解能280ピコ秒未満などの高い基本性能を有している。
導入後、長崎大学病院の協力を得てFDG製剤の投与量と撮像時間について検証を行い、以前は4 MBq/kgだった投与量を3.5MBq/kgに低減し、1ベッドあたりの収集時間は2分30秒から2分へと短縮した。また、CTではAiCE-iにより線量を抑えた撮影が可能になり、PETとCTを合わせた被ばく線量は、以前と比べて約20%低減している。
Cartesion PrimeのPETの有効視野は体軸方向27cmと広いため、1検査5〜6ベッドで撮像できるようになった。宮本技師長は、「高体重の被検者では収集時間を延長しますが、安静を維持できないと画像がぼけてしまうため、撮像時間の短縮を非常に期待しました。今は1検査が14分ほどで完了し、スループットが大きく向上したとともに、被検者にとっても楽で、安定した画像収集が可能になっています」と話す。
さらに、以前はスループットの観点から必要最小限しか撮像しなかったdelay scanを、撮像時間短縮で余裕が生まれたことにより全例で行えるようになった。福田部長は、「例えば、FDGの集積が弱い前立腺がんなどdelay画像でしかわからないものもありますし、大腸など消化管はearly画像とdelay画像で恒常性の異常所見が認められれば検出しやすいなど、delay scanにより診断の精度が向上します」と述べる。
また、ベッドごとに収集時間を可変できるvariable Bed Time(vBT)機能について、宮本技師長は、「高体重の被検者では、ノイズが多くなる腹部領域の撮像時間を延長して頭部や足などの収集時間を短縮し、全体の検査時間を変えずに検査スループットを維持したり、病変の存在が疑われる部位の収集時間を延長して、より高精度な画像を取得したりといった目的で活用しています」と説明する。
■Cartesion Primeによる臨床画像
図1 頭部(肺がん検査目的)
a:Conventional(CaLM)
b:AiCE-i
全身条件(2分 / bed)の画像。AiCE-iを用いた画像の方が、脳の皮髄境界を明瞭に描出している。
図2 膵尾部がん(検診にて指摘)
a:Conventional(CaLM)
b:AiCE-i
PET-CT検診にて膵尾部がんを指摘した例。AiCE-iを用いた画像の方が腫瘍の境界がより明らかである。
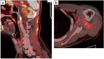
図3 頸部・肩関節の炎症
a:頸部炎症 b:左肩関節周囲炎
がんの再発チェックでPET-CTを実施。画質が向上したことで、再発の確認だけでなくアクティブな炎症(痛みの部位)を発見でき、実際に治療までつなげている。本症例は、MRIではアクティブな炎症であるかまでは判断できなかった。PET-CTの整形領域への貢献の可能性も感じられる。
症例を積み重ねAiCE-iによる高画質PET画像の可能性を探る
現在、PET画像についてはAiCE-iとキヤノンメディカルシステムズ独自の再構成法“Clear adaptive Lownoise Method(CaLM)”の両方で再構成を行い、画質の評価や特性の検討を行っている。AiCE-iの画質について、福田部長は次のように述べる。
「AiCE-iでは、CaLMと比べノイズが低減された明瞭な画像を得られます。頭部では皮髄境界が非常に明瞭になりますし、腫瘍も辺縁が明瞭化し浸潤範囲を想定しやすくなります。また、肝臓などの結節においてもCaLMよりもAiCE-iの方がより高いコントラストで観察できます。両画像の特性については、引き続き症例を重ねて比較検討していきます」
差異を検証してAiCE-iのさらなる有用性を明らかにするためにも、精密検査や治療などで他院に紹介した後の経過を追えるように、新たに長崎地域医療連携ネットワークシステム「あじさいネット」に参加し、患者の紹介後のカルテを閲覧できる環境も整えた。Cartesion Primeでは、これまでに740件の検査を行っており、症例が蓄積されることで新たな知見が得られると期待される。
Cartesion Primeの被ばく低減と撮像時間の短縮を高く評価する千葉理事長は、被検者に負担の少ないPET-CTが診療や検診でより広く活用されることを強く望んでいると述べ、臨床的な有用性を次のように話す。
「Cartesion Primeへの更新により、転移が非常によくわかるようになりました。高画質なPET-CTを診療や検診に活用して、がんの診断やステージングに大いに役立ててほしいと思います。また、PET-CTは炎症性疾患の検出にも有用で、炎症に注目することで感染性動脈瘤や甲状腺機能障害を発見した経験もありますし、逆流性食道炎も検出しやすいため受検者に上部内視鏡検査を勧めることもできます。全身を評価できるPET-CTでがんだけでなく炎症も評価して、検診受検者や患者に確かなメリットを提供することが重要で、それこそがPET-CTの意義だと考えます」
アルツハイマー病への活用を見据えアミロイドPETに期待
これからのCartesion Primeの活用について、千葉理事長は、「乳がんについては専用PETもありますが、AiCE-iによる高画質がどこまで迫れるかも期待しています。また、炎症性疾患ではFDGのマクロファージ取り込みに注目しています。例えば、ワクチン接種後のリンパ節の炎症や筋肉の疾患の炎症を検出できます。従来、MRIでとらえることができなかった頸椎捻挫による頸椎周囲の筋損傷や五十肩(関節周囲炎)の診断も可能になります」と述べる。
また、将来的にアルツハイマー病の治療薬が承認されれば、アミロイドPETのニーズが高まると言われている。福田部長は、「アルツハイマー病の診断において、皮髄境界も明瞭に描出可能なAiCE-iの画質であればアミロイドPETの位置づけが上がるのではないかと思います」と述べ、アミロイドPET用のAiCE-iの開発に期待を寄せた。
臨床現場での活用と検証を通じて、AiCE-iを実装したCartesion Primeのさらなる可能性が開花することが期待される。
(2022年8月19日取材)
*AiCE-iは画像再構成処理の設計段階でAI技術を用いており、本システム自体に自己学習機能は有しておりません。
*記事内容はご経験や知見による、ご本人のご意見や感想が含まれる場合があります。
一般的名称:X線CT組合せ型ポジトロンCT装置
販売名:PET-CTスキャナ Cartesion Prime PCD-1000A
認証番号:301ACBZX00003000
医療法人祥仁会西諫早病院
長崎県諫早市貝津町3015
TEL 0957-25-1150
http://www.syoujinkai.com

- 【関連コンテンツ】
