Canon Clinical Report(キヤノンメディカルシステムズ)
2023年6月号
X線透視を究める─内視鏡医の視点
透視下気管支鏡検査編:神戸大学医学部附属病院 コンパクトなCアームX線TVシステムによる高画質・低被ばくな検査環境が呼吸器内科の高精度な手技と安全性に寄与する
神戸大学医学部附属病院呼吸器内科特命准教授/外来医長 立原素子氏
神戸大学医学部附属病院呼吸器内科は,肺がん,間質性肺炎,肺炎,喘息などの診療に当たっている。その診療において重要な位置づけにあるのが,X線TVシステムによるX線透視下での気管支鏡検査だ。同院では,キヤノンメディカルシステムズの「Ultimax-i」と「ZEXIRA」の2台を光学医療診療部の内視鏡室に設置し,高精度の検査に役立てている。呼吸器内科医はX線TVシステムに何を求めているのか,同院呼吸器内科特命准教授/外来医長の立原素子氏に取材した。
Outline
年間約350例のX線透視下気管支鏡検査を行うハイボリュームセンター
同呼吸器内科の入院診療では,肺がんが最も多く,2022年度には350例に上り,全体の約7割を占めている。X線透視下気管支鏡検査は,年間約350例施行しており,そのうちの250例は肺がんの確定診断を目的としている。
X線TVシステムが設置された内視鏡室は,消化器内科も使用しており,呼吸器内科の検査は週2日,火曜日と金曜日にスケジュールされている。検査では呼吸器内科医5名ないしは6名が,内視鏡操作,超音波気管支鏡(EBUS),仮想内視鏡ナビゲーションシステム,検体処理,鎮静,口腔内吸引をそれぞれ担当し,さらに室外のコンソールの操作も呼吸器内科医が担う。
1回の検査は30分を目安としている。被検者,術者の被ばくを最低限に抑えるために,透視は,EBUSを病変部近傍に進めたタイミングで位置確認のために行い,透視像を生検のガイドとしている。また,撮影は生検を行うベストポジションで行った後,鉗子,ブラシ,針の各生検でデバイスが病変に接したタイミングでも実施する。末梢病変の場合は,最後に気胸の有無を確認するために撮影を行っている。
Professional’s eye
手技を究める
コンパクト設計とCアームで手技と動線を妨げない
X線透視下気管支鏡検査の場合,術者は気管支の方向に応じて左右に動きながら手技を進めます。また,術者を含めたほとんどのスタッフが頭側にポジションをとります。Ultimax-iは,コンパクトな設計でワーキングスペースを広くとれるため,スタッフが頭側に集中しても,手技や動線を妨げずに検査を進めることが可能です。
透視で病変を描出するとともに,気管支鏡全体のアングルを確認して手技を進めます。さらに,透視によって鉗子などのデバイスの位置関係を把握して,生検時には確実に病変から採取できているのか,デバイスが病変に到達した時の動きを観察しながら手技を行うため,X線TVシステムは必須です。
さらに,Cアームは,角度を変えてLAO,RAOで透視・撮影を行えるため,例えば,正面像では心臓と重なって描出できない病変の場合,角度を変えることで視認性を確保できます。特に,採取する組織が大きいクライオ生検では安全に手技を進める必要があり,角度を変えて観察できる
Ultimax-iの利便性は高いと言えます。また,Cアームではない,映像系が固定された装置では,スタッフが被検者の体位を変えて保持した状態でX線透視を行っていましたが,その必要もなくなり,省力化も図れています。
高画質を究める
新画像処理条件により視認性を向上
鉗子や針などのデバイスは非常に細く,またデバイスを誘導するガイドシースによって視認性が低下するので,被検者のリスクを低減するためにも,確実に描出できる高画質が求められます。特に最近は,通過性や柔軟性などを優先するため,透視下で視認しにくいデバイスもあります。そのため当院では,Ultimax-iの新しい画像処理条件を使用しています。
新しい画像処理条件は,気管支鏡検査において,低コントラスト部(病変部分)を描出しながら,視認しにくいさらに低コントラスト部(デバイス部分)を強調します。新画像処理条件により,線量を変えずに,今まで以上に病変の輪郭が明瞭に描出できるようになり,「ガイドシースキット2」(オリンパス製)のシースそのものの視認性が良くなり,鮮鋭度が向上しました。また,病変とデバイスの位置関係が明確にわかるようになり,安全かつ正確にアプローチできているのかを把握でき,生検針(PeriViewFLEX,オリンパス製)が病変に刺さった時の病変の動きも見やすくなったことを高く評価しています。
被ばく低減を究める
通常の半分の線量で透視
当科では検査にかかわるスタッフ全員がX線防護衣,X線防護メガネ,甲状腺カラー,線量計バッジを装着しています。また,被ばく低減のために,7.5fps,15fpsのパルス透視を用いているほか,透視線量モードも,検査に応じて通常の半分の線量となるMidを適用しています。Ultimax-iは,高画質・低線量検査コンセプト「octave SP」を搭載していますが,今後さらに,低被ばく・高画質を追求してほしいと思います。
*octave SPは,低線量検査のための数々の技術により,照射線量を従来に比べ約65%低減させる高画質・低線量検査コンセプトです。
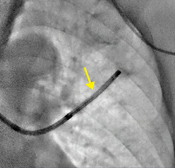
症例1 新画像処理条件の透視像。病変(↓)および生検鉗子ともに明瞭に見える。
症例2 新画像処理条件の透視像。気管支鏡内のEBUSの先端の位置も明瞭に見える(↓)。
症例3
a:通常の透視像,b:新画像処理条件の透視像
bでは,経気管支針生検(PeriViewFLEX,オリンパス製)の針先もより明瞭に見える。
症例4(rtS6結節)
a:胸部CT,b:正面像(0°),c:側面像(LAO90°)
右S6に20mm大の結節を認める。背側の病変(↓)は正面からの透視では病変の場所が見づらく,またEBUSとの位置関係も不明確である。Cアームで角度をつけることで,病変とEBUSとの位置関係が明瞭になる。
一般的名称:据置型デジタル式汎用X線透視診断装置
販売名:多目的デジタルX線TVシステム Ultimax-i DREX-UI80
認証番号:221ACBZX00010000
*記事内容はご経験や知見による,ご本人のご意見や感想が含まれます。

- 【関連コンテンツ】
