LOGIQ Totus
GEヘルスケア・ジャパン
超音波 据え置き 腹部,表在,乳腺,甲状腺,循環器,血管,整形,皮膚科,小児科,産婦人科
その手になじむcSound。
革新は,限りなく身近に。

あらゆる患者さんによりよい医療を提供するため,
cSoundの革新的なイメージングを,すべての検査室,診療科に。
誰もがその性能を手軽に,思うがままに引き出せるように。
その願いを叶えるため,画質,アプリケーション,
そしてワークフロー支援ツールのすべてを洗練しました。
いつでも,どんなときも頼りになる,身近なパートナーであること。
これまでにない超音波体験が「LOGIQ Totus」とともに始まります。
特長<1>
全視野・全深度フルピクセルフォーカス
高性能GPUを搭載し,多方向から膨大に受信・蓄積した超音波データをリアルタイムに再構成。1ピクセルごとに焦点を合わせることに成功した。 フレームレートは高いまま,高分解能の画像が得られ,造影もフルフォーカスを実現している。
特長<2>
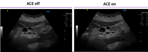
組織や臓器に応じて最適化されたチューニング ACE
膨大なデータからノイズ部分と組織部分の位相の歪みを判断し,ノイズを落とし,組織の信号を選択的に強調。ピクセル&フレーム毎にリアルタイムな調整が可能で,対象臓器や走査断面に合わせて適応したイメージチューニングです。
特長<3>
Ultrasound-guided attenuation parameter(UGAP)*
自動計測アルゴリズムにより最適な計測位置を自動判定し,主観によらない簡便で安定した計測をアシスト。
特長<4>
Shear Wave Elastography(SWE)*
組織の硬さをワンクリックで視覚化。Quality Mapにより,信頼性を色と数値で評価し検者間誤差を低減し安定したデータ取得をアシスト。
特長<5>
B-Flow*
微細な血流信号を増幅する独自のコード技術により血流を可視化。ドプラを使わずにBモードでの血流表示が可能に。Bモードとの重ね合わせ表示と2画面同時表示を搭載。
特長<6>
Compare Assistant*
過去画像をすばやく呼び出し,検査中の画像と簡単比較。
RAW Dataでの保存画像であれば,設定条件も瞬時に同じになり,mm単位の比較や血流評価の比較がより簡単に。
*オプション
詳細は弊社営業担当にお問い合わせください。
・高さ 1285〜1815mm
・キャスター幅 490mm
・奥行き 835mm
・重量 約73Kg(記録機器含まず)
・電力 100V,50/60Hz,最大650VA(記録機器含)
詳細は弊社営業担当にお問い合わせください。
・腹部
・血管
・乳腺
・表在
・整形
・経頭蓋
・産科
・婦人科
・小児
・新生児
・泌尿器
24時間365日受付カスタマーコールセンター
日本全国を網羅する営業/サービス拠点網
・Ethernet ネットワーク接続
・無線LAN(オプション)
・DICOM 3.0(オプション)
Verify / Print / Store / MPPS / SR / Worklist / Query / Retrieve / Storage Commitment
・DICOM画像をクラウドサーバーに保存(オプション)
●お問い合わせ先
GEヘルスケア・ジャパン株式会社
東京都日野市旭が丘4-7-127
TEL 0120-202-021
https://www.gehealthcare.co.jp/
担当部署:超音波本部
