Versana Active
GEヘルスケア・ジャパン
超音波 ポータブル 汎用
確信とともに,駆ける。
様々な専門領域に,診療シーンに,アクティブに応えるチカラ。

より多くの専門領域に的確に応えること。診たい領域に即座に迫れること。
院内から屋外まで,様々な診療シーンに機敏にアクセスできること。
プライマリ・ケアのこれからを考えるとき,ポータブル超音波の理想形が見えてきました。新たな超音波ブランド「Versana(ベルサナ)」よりプライマリ・ケアの現場をリードする先生方へ,日々の診療にアクティブかつスペシャルに応える1台をお届けします。
特長<1>
ボタンひとつで,最適な条件に。
Whizz
臓器の特徴や表示深度にあわせて必要だったゲインや周波数調整などの煩雑な手順をたったワンプッシュで。
Whizzボタンにより,明るさ,コントラスト,周波数,音泉密度(数)を簡単に最適調整できます。パルスドプラにおいてもベースライン,流速レンジの最適化が可能です。
特長<2>
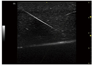
穿刺手技をリアルタイムにナビゲート。
Needle recognition
針先の位置や薬液の広がりを,画像上でリアルタイムに確認できる機能です。
針のゲイン調整,超音波ビーム角度の調整もでき,針先の視認性をいっそう向上。
神経ブロックなどの穿刺手技をより的確かつ安全にサポートします。
特長<3>
硬さの診断を直観的に。
Elastography
プローブで組織を圧迫し,変形の程度を色で表現することで,硬さを可視化する機能です。圧迫のクオリティを示すクオリティバーとグラフにより,より高い再現性をサポート。表在領域検査をサポートします。
特長<4>
血流診断をより高精度に。
B-Flow
Bモードで血流を表現するGEの独自機能。分解能,リアルタイム性に優れ,血管からのはみだしがなく,角度依存もないため,より高精度な診断に役立ちます。
特長<5>
アニメーションで,スキャン方法をアシスト。
Scan Coach
教本を手にすることなく,装置上でスキャン方法を学ぶことができます。不慣れな検査や新しい検査にチャレンジする先生にお勧めの機能です。
特長<6>
安心の本体5年保証。
5Year Warranty
通常,装置本体については1年保証がほとんどですが,Versanaの本体保証は5年をカバー。長く,安心してお使いいただきたいからこその充実保証です。
詳細は弊社営業担当にお問い合わせください。
| ・走査方式 | 電子式コンベックス,電子式マイクロコンベックス,電子式リニア,電子式セクタ |
| ・表示モード |
Bモード,ハーモニックイメージング,Mモード,アナトミカルMモード(option), Curved Mモード(option),Color Mモード,カラーモード,パワーモード, Directional パワーモード,B-flow(option),パルスドプラモード(high PRF含), 連続波ドプラモード(option),Contrastモード(option), TVIモード(option),エラストグラフィ(option) |
| ・外形寸法 | 390(W) x 362(D) x 58(H)mm |
| ・重量 | 約5Kg(周辺機器除く) |
詳細は弊社営業担当にお問い合わせください。
循環器,消化器,泌尿器,表在,血管,脳神経,形成外科,産婦人科,乳腺
整形外科,リハビリ,小児科,麻酔,ICU,救急,在宅
本体保証:5年
DICOM対応,Tricefy Uplink,Ethernet network
●お問い合わせ先
GEヘルスケア・ジャパン株式会社
東京都日野市旭が丘4-7-127
TEL 0120-202-021
https://www.gehealthcare.co.jp/
担当部署:超音波本部
販売名称:汎用超音波画像診断装置 Versana Active
医療機器認証番号 301ACBZX00017000
JB79172JA
