Vivid S60N Ultra Edition
GEヘルスケア・ジャパン
超音波 据え置き 循環器,汎用
高い基本性能と可搬性を両立した2D超音波診断システム

Vivid S60N Ultra Editionは,妥協のない画質,容易な計測機能を提供するために設計されたコンパクト超音波画像診断装置です。検者間誤差低減や検査時間短縮をめざして設計をされています。
特長<1>
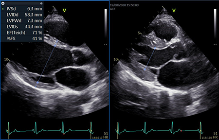
Auto Measure 2D
最新テクノロジーを用いて開発した3クリックで計測を完了させる機能。
Freeze–Measure–Auto再現性のある計測結果が瞬時に画面に表示されます。
特長<2>
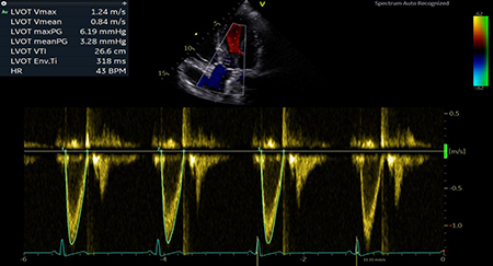
Auto Measure Spectrum Recognition
最新テクノロジーを用いて開発したAuto Measure機能。
2クリックで広範囲のドプラ計測が完了します。Freeze–Measure,2クリックでドプラトレースと関連する計測値のフルセットが瞬時に画面に表示されます。
特長<3>
AFI LV with View Recognition
断面認識機能を搭載したAFI LVは,左心室の全体的のGLSとセグメントごとのストレインを半自動で定量化します。
特長<4>
AFI LA/AFI RV(オプション)
AFI LA/RV は定評あるAFIアルゴリズムをもちいて左心房/右心室のスペックルトラッキングを可能にします。
詳細は弊社営業担当にお問い合わせください。
| ・走査方式 | 電子セクタ,電子コンベックス,電子リニア |
| ・表示モード |
2D,カラードプラ,Mモード,カラーMモード, アナトミカルMモード カーブドアナトミカルMモード,パワードプラ, パルスドプラ(PW:HPRF対応),連続波ドプラ(CW), Tissue Velocity Imaging,B-Flow Imaging |
| ・外形寸法 | 535(W) x 755(D) x 1320~1670(H)mm |
| ・重量 | 約73Kg(周辺機器除く) |
詳細は弊社営業担当にお問い合わせください。
心臓,冠動脈,経食道,腹部,大血管及び上肢,下肢血管,表在臓器(乳腺,睾丸,甲状腺),産婦人科,経頭蓋,小児,整形,術中,胎児,胎児心臓,新生児頭部,泌尿器,神経
・24時間365日受付カスタマーコールセンター
・日本全国を網羅する営業/サービス拠点網
・DICOM対応
・EchoPAC/Remote Archive機能(EchoPACデータベースを使用)
●お問い合わせ先
GEヘルスケア・ジャパン株式会社
東京都日野市旭が丘4-7-127
TEL 0120-202-021
https://www.gehealthcare.co.jp/
担当部署:超音波本部
販売名称 汎用超音波画像診断装置 Vivid S70N
医療機器認証番号 226ABBZX00155000
※Vivid S60Nは上記医療機器の類型です。
※Vivid S60N Ultra Editionは,特定のオプションを搭載した上記医療機器のニックネームです。
