Vivid iq Ultra Edition
GEヘルスケア・ジャパン
超音波 ポータブル 循環器,汎用
密閉されたハードキーとタッチ操作によって快適な操作性と堅牢性を実現
バッテリー駆動対応可能なモバイル超音波診断システム

この洗練されたコンパクトで人間工学に基づいて設計された超音波画像診断装置は,さまざまな環境においてもで卓越した2Dおよび4D画像を撮像することを可能にします。また,心臓をはじめとした全身領域検査におけるスピード,生産性,再現性を向上させるための新しいUXと最新のテクノロジーを用いて開発した自動計測ツールも搭載されています。Vivid iq Ultra Editionは,病院内外において超音波検査を行う環境での最高のパートナーとなります。
特長<1>
いつでも清潔に保てるスクリーンと操作パネル
キーボードは密閉構造になっているため,使用中に液体の飛沫が本体にかかっても大丈夫
あらゆる現場でタフに使いこなせます。
特長<2>
あたらしいレベルのユーザー体験
アップデートされたタッチユーザーインターフェースは,利便性と高速スキャンのために設計されており労作性筋骨格障害を低減し,画像領域とのアイコンタクトを維持するのに役立ちます。
特長<3>
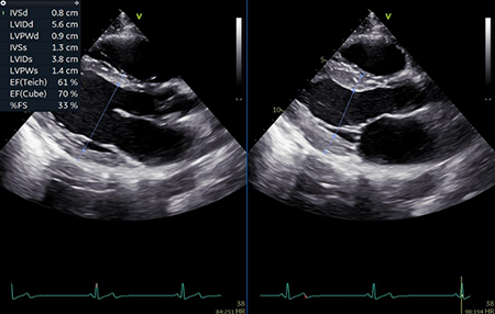
Auto Measure 2D
最新テクノロジーを用いて開発した3クリックで計測を完了させる機能。
Freeze–Measure–Auto再現性のある計測結果が瞬時に画面に表示されます。
特長<4>
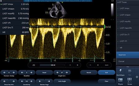
Auto Measure Spectrum Recognition
最新テクノロジーを用いて開発したAuto Measure機能。
2クリックで広範囲のドプラ計測が完了します。Freeze–Measure,2クリックでドプラトレースと関連する計測値のフルセットが瞬時に画面に表示されます。
特長<5>
AFI LV with View Recognition
断面認識機能を搭載したAFI LVは,左心室の全体的のGLSとセグメントごとのストレインを半自動で定量化します。
詳細は弊社営業担当にお問い合わせください。
| ・走査方式 | 電子セクタ,電子ボリュームセクタ,電子コンベックス,電子リニア |
| ・表示モード |
2D,カラードプラ,Mモード,カラーMモード, アナトミカルMモード カーブドアナトミカルMモード, パワードプラ,パルスドプラ(PW:HPRF対応),連続波ドプラ(CW), Tissue Velocity Imaging,B-Flow Imaging |
| ・外形寸法 | 390(W) x 362(D) x 73(H)mm |
| ・重量 | 約5.2Kg(バッテリー含む) |
詳細は弊社営業担当にお問い合わせください。
心臓,経食道,腹部,大血管及び上肢,下肢血管,表在臓器(乳腺,睾丸,甲状腺),産婦人科,経頭蓋,小児,術中,胎児心臓,新生児頭部,心腔内エコー
・24時間365日受付カスタマーコールセンター
・日本全国を網羅する営業/サービス拠点網
・DICOM対応
・EchoPAC/Remote Archive機能(EchoPACデータベースを使用)
●お問い合わせ先
GEヘルスケア・ジャパン株式会社
東京都日野市旭が丘4-7-127
TEL 0120-202-021
https://www.gehealthcare.co.jp/
担当部署:超音波本部
販売名称 汎用超音波画像診断装置Vivid iq
医療機器認証番号 第228ABBZX00125000
*Vivid iq Ultra Edition は上記医療機器のニックネームです。
