VARIAN RT REPORT
2017年2月号
No.2 頭頸部癌:技術編
近畿大学医学部附属病院:頭頸部癌の放射線治療における現状─VMATの特長および品質管理の技術報告
松本 賢治(近畿大学医学部附属病院中央放射線部)/ 西村 恭昌(近畿大学医学部放射線医学教室放射線腫瘍学部門)
はじめに
頭頸部領域の癌に対して行う放射線治療は,原発部位の根治的治療と機能温存を期待しての治療となる。治療後の生活の質(quality of life:QOL)を低下させないための有効な治療法として強度変調放射線治療(intensity modulated radiation therapy:IMRT)は位置づけられており,現在では根治的放射線治療において第一選択の照射方法となっている。従来の治療法である三次元原体照射(3D-CRT)に対するIMRTの優位性は,腫瘍および正常組織に対する空間的線量勾配の良さであり,唾液腺障害のリスク低減などでエビデンスが示されている1)。現在,多くの種類の直線加速器(リニアック)が市販されているが,ほとんどの機種で強度変調にはmulti-leaf collimator(MLC)が用いられる。急峻な線量勾配を実現するために,MLCが連続的もしくは段階的に移動しながら照射を行うが,MLCの動作精度がIMRTの線量分布に非常に大きな影響を与える。
高精度リニアックの普及に伴い回転型強度変調放射線治療(volumetric modulated arc therapy:VMAT)が,固定多門IMRTに代わって主流となりつつある。VMATは,MLCに加えてガントリ,線量率が照射中に連続的に変化し,固定多門IMRTよりも高速かつ少ないmonitor unit(MU)で照射を行うことが可能である。今回,固定多門IMRTに対するVMATの優位性および,それらの照射を高精度かつ安全に行うための品質管理に注目し技術報告を行う。
固定多門IMRTとVMATの比較
わが国では2000年からIMRTが開始され,現在では多くの施設で実施されている。頭頸部領域における固定多門IMRTの空間的線量分布は,照射門数に応じて改善されていく傾向があり,7門照射以上の門数で治療計画されるのが一般的である。実際には,MLC駆動距離の制限によってセパレートビームとなるため,倍の照射門数となることも多い。門数の増加に伴い治療時間は延びるため,線量分布と照射門数は臨床的な許容範囲内で妥協が必要である。一般的に固定多門IMRTの照射時間は10〜15分程度である。
一方,VMATの治療計画では,2Arc照射(358°×2回転)が選択されることが多い。通常,MLCセグメントは2°ごとに計算されるため,固定多門IMRTに比べて線量集中性(conformity index:CI)が良好な線量分布が得られる。また,VMAT照射の治療MUは,固定多門IMRTに比べ1/3〜1/4程度に減少する(図1)。ガントリの回転時間は1Arcが1分となっており,2Arc照射では2分程度と非常に短時間で照射が完了する。患者の固定シェルによる抑制という身体的負担を課せられる時間を大幅に減少できることは,VMATの最大のメリットである。VMATの治療計画時の注意点として,治療アイソセンタを患者中心軸より大きくずらす必要がある場合がある。そのような場合には,ガントリと治療寝台が衝突する可能性を考慮し回転角度の調整などを行い,物理的に照射可能な計画を作成する必要がある。
図1 上咽頭癌に対するIMRTとVMATの線量分布図と治療MUの一例
左:9門照射IMRTの線量分布図,右:VMAT2Arc照射の線量分布図。治療MUの合計は,9門照射IMRT:1302.8MU,VMAT:462.0MUとなっており,VMATの治療MUの減少が顕著であることがわかる。
IMRTの品質保証(QA)・品質管理(QC)
放射線治療を行うためには,リニアックの精度管理を行わなければならない。実務に沿った形で必要な品質管理(quality control:QC)項目を実行することが推奨されており,米国医学物理学会技術レポート(AAPM Task Group 142report)に代表される精度管理マニュアルに則った形で行われるのが一般的である2)。IMRTを臨床利用する場合,そのリニアックの精度管理には最も厳しいトレランス値が与えられており,米国においてもIMRTの照射精度がリニアックの精度に大きく影響されるという事実がよく認知されていることを意味する。
バリアンメディカルシステムズ社製のMLCの動作制御は,MLC workstationによって管理されている。この制御機構には通信時間の遅れ(time delay)が存在し,従来のリニアックでは50msec遅れたMLC位置情報をサンプリングし動作制御を行っていた。仮に2.0cm/secで動作しているMLCがある場合,このtime delayの影響によって最大で0.2cm,平均で0.1cm程度のリーフ位置誤差が生じており,線量投与の不確かさの原因の一つとなっていた。
近年,日本で市販され普及が進んでいる「TrueBeam」(バリアンメディカルシステムズ社製)では,このtime delayが10msec(従来の1/5)と非常に小さい値となっており,MLC動作精度は平均0.02cmの位置誤差にまで縮小され,非常に高精度な照射ができるようになっている。高精度な照射技術におけるこのような機器の進歩は,大きな恩恵をもたらすことになる。
VMATの普及に伴ってガントリ,MLC,線量率の統合的な品質保証(quality assurance:QA)方法が必要とされており,当院ではLingらが提唱したいくつかの普遍的VMATシーケンスを利用したMLCテストを実施し精度管理を行っている3)。このQA方法にはいくつかの解析デバイス・解析ソフトウエアが必要であり,ユーザー側がQAストラテジーを構築しなければならない。今後,統一が望まれるQA項目である(図2)。
図2 Portal dosimetryを利用したRapidArc QA(Dose rate & Gantry speed test)の 検証結果の一例
a:Open照射での線量分布。c:Dose rate & Gantry speed testの線量分布。b:a,cの線量分布図の線量差を示した分布図。d:OpenおよびDose rate & Gantry speed testのX軸方向の線量プロファイルを重ね合わせた結果。Dose rate & Gantry speed testのおのおのの平坦領域の線量が,Open照射と同じであることが確認できる。e:線量差をヒストグラムとして示した結果。
画像誘導放射線治療(IGRT)の利用と今後の展望
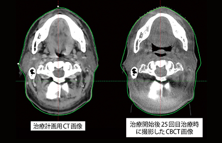
通常,頭頸部癌の治療では,2Gy×35回の分割照射が選択される。正確な放射線治療は,リニアックの照射精度と高い患者セットアップ精度によって実現される。患者セットアップ精度の向上には画像誘導放射線治療(image guided radiation therapy:IGRT)が不可欠であり,画像誘導放射線治療加算が保険収載されていることも後押しとなって,IGRTは多くの施設で実施されている。当院では,「ExacTrac」(ブレインラボ社製)を用いた毎回の2D照合の実施,および1〜5,10,15,20,25,30回目にcone-beam computed tomography(CBCT)の撮影を行い,照射位置の精度確認を行った後,VMAT照射を実施している。CBCT撮影を行うことにより,セットアップ精度の確認だけでなく,患者体重の減少による体型変化および臓器の体積変化を定期的に把握することが可能であり,将来的にCBCTを利用した適応放射線治療(adaptive radiation therapy:ART)の実施が期待される(図3)。
図3 治療計画用CT画像と治療開始後25回目のCBCT画像
治療計画CTの体輪郭(緑ライン)に対して治療開始後25回目のCBCT画像では,体重減少による患者左右方向の体輪郭の変化が確認できる。
●参考文献
1) Pow, E.H., Kwong, D.L., McMillan, A.S., et al. : Xerostomia and quality of life after intensity moderated radiation therapy vs. conventional radiatiotherapy for early-stage nasopharyngeal carcinoma ; Initial report on a randomized controlled clinical trial. Int. J. Radiat. Oncol. Biol. Phys., 66, 981〜991, 2006.
2) Klein, E.E., Hanley, J., Bayouth,J., et al. : Task Group 142 report ; Quality assurance of medical accelerators. Med. Phys., 36, 4197〜4212, 2009.
3) Ling, C.C., Zhang, P., Archambault, Y., et al. : Commissioning and quality assurance of RapidArc radiotherapy delivery system. Int. J. Radiat. Oncol. Biol. Phys., 72, 575〜581, 2008.
- 【関連コンテンツ】
