VARIAN RT REPORT
2019年7月号
がん医療における放射線治療最前線 No.4
緩和的放射線治療におけるTrueBeamの有用性
永倉久泰(KKR札幌医療センター放射線科)
放射線治療の役割とメリット
放射線治療は,痛み,出血,気道閉塞など悪性腫瘍に伴うさまざまな局所症状に適応がある。放射線治療は単なる対症療法ではなく,症状を引き起こしている責任病巣を縮小させて症状の緩和を図る原因療法であり,特に骨転移の痛みは放射線治療により30%程度消失することが期待できる。オピオイド系鎮痛薬のために運転や仕事ができない患者も少なくなく,患者を鎮痛薬から解放できる意義は大きい。
当院の緩和的放射線治療における「TrueBeam」の具体的活用例
当院の放射線治療の半数以上が症状緩和目的であり,重症例や進行例をも積極的に受け入れてきたが,バリアン社製放射線治療装置TrueBeamの導入により,従来に比べ緩和的放射線治療の実施が容易になった。
1.多発性骨転移
腰椎から骨盤に及ぶ多発性骨転移の痛みには,6〜8Gyの半身照射を行っている(図1)。悪心や嘔吐は放射線治療1時間前のグラニセトロン内服でほとんど予防できる。痛みが再燃した場合や効果が不十分な場合は,再度半身照射を行うことも可能である。
図1 腰椎〜骨盤に対する半身照射
target volumeは設定せず,数値入力でマルチリーフコリメータ(MLC)を設定し両腎と消化器を遮蔽している。
痛みの責任病巣が画像で特定できない肋骨転移には,治療計画装置は用いず,触診で照射野を設定して電子線照射を行っている。仰臥位になれない患者でも,側臥位で同様に電子線照射を行っている(図2)。
何箇所もの痛みに悩まされている患者であっても,例えば1日1部位ずつ単回照射を行えば,1週間で5部位を治療することも不可能ではない。TrueBeamの線量率は最高2400MU/sと高く,1門照射であれば30秒足らずで8Gyを照射することができ,仰臥位が容易でない患者でも放射線治療を完遂しやすくなった。
図2 肋骨転移の痛みで仰臥位になれない患者の放射線治療
びまん性骨転移で仰臥位が不可能であったが,触診で圧痛のある部位に×印を付け右側臥位のまま電子線を20Gy/5回照射したところ,放射線治療終了時には背部痛は消失し仰臥位が可能となった。
2.少数個の脳転移
複数の脳転移巣に1つ1つ定位放射線治療を行うと,病巣の個数が増えるにつれ治療時間が長くなるが,TrueBeam導入後は強度変調放射線治療(IMRT)で複数の脳転移巣を一括して短時間で治療できるようになり,さらに近接する脳転移巣があっても過線量の心配がなくなった(図3)。
図3 多発性脳転移に対する定位的IMRT
4個の脳転移巣(そのうち2個は隣接)を含む1つのplanning target volume(PTV)を設定し,4個の脳転移巣を3分で治療し得た。
3.Flattening Filter Free(FFF)ビームによる平坦度の改善
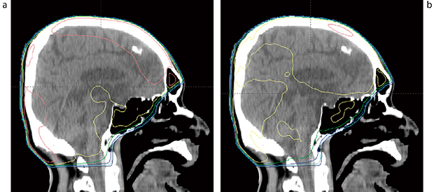
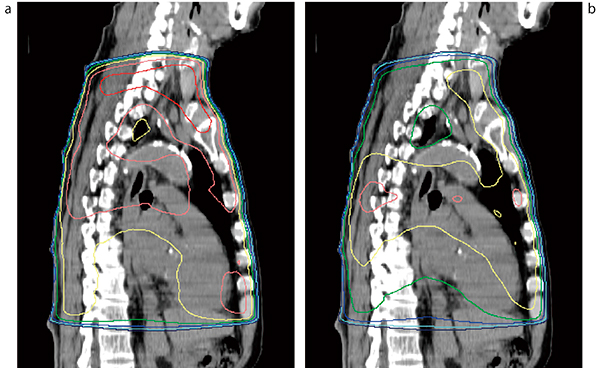
TrueBeamの導入により,照射野中心に比べ周辺の線量が高すぎる場合,適当な重みでFFFビームを加えて平坦度を改善できるようになった。特に全脳照射で有用であり(図4),進行食道がんの放射線治療でもFFFビームで頸部や腹部の過線量を軽減できる場合がある(図5)。
図4 FFFによる全脳照射の平坦度改善
a:10MVX線左右対向2門照射では,ピーク線量は照射野中心の110%に達する。
b:10MVFFFX線を12%混合することで,ピーク線量は106.1%に低下した。
図5 FFFによる進行食道がんの対向2門照射の平坦度改善
a:10MVX線前後対向2門照射では,ピーク線量は照射野中心の114.7%に達する。
b:10MVFFFX線を20%混合することで,ピーク線量は106.8%に低下した。
4.照射野の照合
従来はイメージングプレートで撮影したリニアックグラフィとdigital reconstructed radiography(DRR)を並べて照射野を照合していたが,TrueBeamを導入してからはelectronic portal imaging deviceと「PerfectPitch 6degrees of freedom(6 DoF)couch」(6軸治療寝台:オプション)を用いて,スタッフが治療室に出入りすることなく照射野を確認して修正できるようになったため,患者が治療台に寝ている時間が短縮された。
また,胃に照射する場合,消化管内容物により標的が照射野を逸脱しないよう注意する必要があるが,TrueBeamを導入してからはcone beam CT(CBCT)で標的が照射野内にあることを確認してから治療できるようになった。また,高度の肥満で皮膚マークの位置再現性が劣る患者でも,CBCTによりセットアップマージンを大きく設定する必要がなくなった。
今後の展望
緩和的放射線治療の分野にも高精度放射線治療が導入されつつあるとはいえ,実地臨床の現場では治療台に10分寝ていられるかどうかすら微妙な患者も少なくない。TrueBeamの新機能は高精度放射線治療のためのものと思われがちだが,実際には緩和的放射線治療の現場においても有用な機能ばかりであった。特に,仰臥位に苦痛を伴う患者が治療台に寝ていなければならない時間が短縮されたことが大きく,当院でTrueBeamの恩恵を享受しているのは大部分が緩和的放射線治療の患者である。放射線治療がこれからも臨床現場で必要とされ続けていくためにも,引き続き緩和的放射線治療に有用な技術開発が進んでいくことを期待する。
