VARIAN RT REPORT
2018年5月号
ここまでできるがん放射線治療シリーズ No.4 特別企画:SBRT 治療実績世界トップクラスの病院に聞く臨床アップデート
1 ) 肺がんに対するRapidArc ─ 60% isodose処方法を用いた体幹部定位放射線治療
武田 篤也/鶴貝雄一郎/奥 洋平(大船中央病院放射線治療センター)
はじめに
肺がんに対する体幹部定位放射線治療(stereotactic body radiation therapy:SBRT)の治療成績がセンセーショナルに報告1)されてから17年が経つ。その間,SBRTについて多くの論文が報告された。現在,SBRTは,手術適応外のI〜IIA期(『TNM悪性腫瘍の分類 第8版』では,原発巣の充実腫瘍径4cm超〜5cm未満かつN0M0はIIA期に分類)に対する標準治療となっている。今日のトピックは,手術ハイリスク患者に対して,手術とSBRTのどちらが適しているかである。
技術的には,この17年間に大きな進歩が認められる。画像誘導放射線治療(IGRT),強度変調放射線治療(IMRT),強度変調回転放射線治療(VMAT)などの技術の進歩により,放射線治療医は鋭く安全なメスを手に入れた。われわれは,SBRTがめざすべきゴールを基礎から考え,多くの情報を参考に最適な方法を考案し,技術的進歩を駆使して治療を行っている。本稿では,われわれが行っている“RapidArc”(バリアンメディカルシステムズ社のVMAT)を用いた60% isodose処方によるSBRTについて記す。
最適なisodose処方に対する研究
われわれは,1998年より,肺がんに対して50Gy/5回(80% isodose処方)のSBRTを行ってきた2)。処方部位は計画標的体積(PTV)辺縁であり,最大線量の80% isodose曲線とPTVが一致するように計画を行っていた。実質的にPTVのD95はほぼ処方線量と同等であった3)。当時はアイソセンタを処方ポイントとして,PTV内部の線量を均一にする方針が日本の大多数の施設で採用されていた。われわれは何らかのポリシーの下にこの方法を採用していたわけではなく,防衛医科大学校に在籍していた植松 稔先生の方法を踏襲したまでである。この方法にて121例の肺がん患者にSBRTを行い,3年局所制御率は90%を超える成績を報告した2)。
大西らにより,生物学的実効線量BED10≧100Gyの線量投与によって局所制御率は90%と報告されており4),われわれの治療成績も,そのエビデンスと同等の結果であった。その後,われわれは,より良い治療法を模索した。PTV内を均一に保ちつつ,PTV辺縁にも線量を投与しようと努力すると,自ずとPTV外側にもある程度の線量が付与される。また,PTV内に肺以外のリスク臓器が存在しなければ,腫瘍の存在確率が高いPTV中心部に高線量を投与しても,何ら弊害が予想できない。そのため,われわれは,同一PTVに20〜90% isodose曲線が一致するSBRTの計画を作成し,線量容積ヒストグラム(DVH)解析を行った(図1)。その結果,60% isodose曲線をPTVにフィットさせた治療法が最も効率的であった5)(図2)。
図1 PTV辺縁と20〜90% isodose曲線がフィットするように作成された線量プロファイル
20% isodose曲線とPTVを一致させた場合には,最大線量は250Gyとなり,照射野がとても小さくなる。一方,モニターユニット値はとても大きくなる。
図2 80% isodose処方と60% isodose処方の比較
総線量50GyがPTV辺縁に入る計画を立てた。実線が80% isodose処方,点線が60% isodose処方。黄色がPTV,赤が内的標的体積(ITV),白が肺。PTVのD95はいずれも50Gyを上回る。腫瘍の存在確率の高いITV線量には,両治療法で大きな差があり,80% isodose処方では最低56Gy,60% isodose処方では最低69Gy。一方,肺線量は60% isodose処方の方が少ないことがわかる。
60% isodose処方の臨床応用
この60% isodose処方法では,理論上,従来の80% isodose処方より腫瘍への実質的な線量は上げられ,かつ肺線量は下げられる。これをそのまま臨床に用いるか,それともここで得られた肺線量の低減分を線量増加に費やすか考えた。当時,肺がんの局所制御率は90%であったが,大腸がん肺転移では3年局所制御率が50%を切っていた6)。一方,肺病変に対する重症放射線肺臓炎は頻度が低く,その危険因子は線量容量より,むしろ間質性肺炎と考えていたため7),線量増加に踏み切った。そして,第1相試験にて安全性を確認した8)。
RapidArcの導入
われわれは,以前より多軌道回転原体照射を用いてSBRTを行っていた。そのため,バリアンメディカルシステムズ社の「CLINAC iX」が導入され,RapidArcが可能となった際に,抵抗なくnon-coplanar RapidArcへ治療方法を変更した。そもそもPTVは小さく,ほぼ球形をしているため,治療中のマルチリーフコリメータ(MLC)の動き少はなく,たまにリーフがPTV内に深く入り込んでくるのを観察できる程度であった。RapidArc導入に伴い,リスク臓器に近接する腫瘍にもSBRTの適応を広げることが可能になった。図3〜5は,当院における,ある週の治療患者の線量分布である。
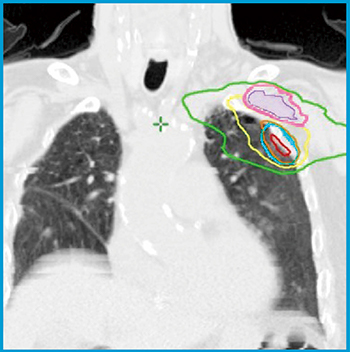
図3 左上葉肺腺癌1
病巣は腕神経叢に近接して存在する。PTVと計画リスク臓器体積(PRV)の最短距離は3mmであった。腕神経叢の最大線量は33Gy,それに3mmを付与したPRVの最大線量は41Gyであることを確認し,SBRTを行った。 *治療計画前に上肢挙上と下げた場合の2種類の体位でCTを撮影し,PTVとPRVがより離れている姿勢で治療計画を行う。
腕神経叢(○),PRV(=腕神経叢+3mm)(○),PTV(○),等線量曲線は外側より16.7Gy(○),33.3Gy(○),50Gy(=処方線量)(○),66.7Gy(○)
図4 左上葉肺腺癌2
病巣は一部壁側胸膜に浸潤を認め,食道にも近接している。線量分布上,脊髄,食道の線量を抑えられている。食道はたまに移動することがあるため,治療の際には注意が必要である。
食道(○),食道PRV(+3mm)(○),脊髄(○),脊髄PRV(+3mm)(○),GTV(○),PTV(○),等線量曲線は外側より16.7Gy(○),33.3Gy(○),50Gy(=処方線量)(○),66.7Gy(○)
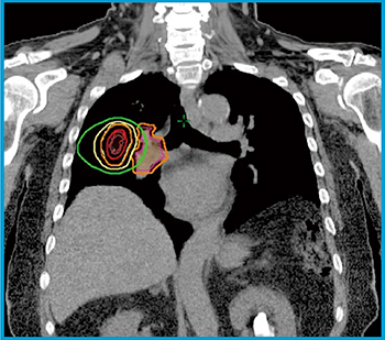
図5 右下葉転移性肺腫瘍
肺動脈と病巣が近接している。Timmermanらの定義によればcentral tumorである。しかし,PTVと肺動脈に3mm付与したPRVの最短距離が6mmであり,60Gy/5回(60% isodose)の線量処方でも,PRVへの線量はほぼ40Gy以下(D2cc40Gy),肺動脈への最大線量は40Gy未満である。そのため,60Gy/5回(60% isodose処方)にてSBRTを行った。
肺動脈(○),肺動脈PRV(+3mm)(○),GTV(○),PTV(○),等線量曲線は外側より20Gy(○),40Gy(○),60Gy(=処方線量)(○),80Gy(○)
RapidArc,60% isodose処方法を用いたSBRTの治療成績
現在,大船中央病院では,病巣位置によりリスクに応じた線量処方方法を採用している(表1)。この方法を用いて300例ほどにSBRTを行っており,3年局所制御率は99%である。
表1 リスクに応じた線量処方方法
リスク臓器に対する線量制限
心臓,肺静脈:可及的
食道,脊髄:3mm付与した領域 <25Gy/5回
*中枢病変で病巣が食道に接している場合など,そのリスクを個々に検討し,60Gy/10〜30回(70% isodose)などの線量処方で治療を行っている。
●参考文献
1)Uematsu, M., Shioda, A., Suda, A., et al. : Computed tomography-guided frameless stereotactic radiotherapy for stage I non-small cell lung cancer ; A 5-year experience. Int. J. Radiat. Oncol. Biol. Phys., 51, 666〜670, 2001.
2)Takeda, A., Sanuki, N., Kunieda, E., et al. : Stereotactic body radiotherapy for primary lung cancer at a dose of 50 Gy total in five fractions to the periphery of the planning target volume calculated using a superposition algorithm. Int. J. Radiat. Oncol. Biol. Phys., 73, 442〜448, 2009.
3)Takeda, A., Kunieda, E., Sanuki, N., et al. : Dose distribution analysis in stereotactic body radiotherapy using dynamic conformal multiple arc therapy. Int. J. Radiat. Oncol. Biol. Phys., 74, 363〜369, 2009.
4)Onishi, H., Araki T., Shirato, H., et al. : Stereotactic hypofractionated high-dose irradiation for stage I nonsmall cell lung carcinoma ; Clinical outcomes in 245 subjects in a Japanese multiinstitutional study. Cancer, 101, 1623〜1631, 2004.
5)Oku, Y., Takeda, A., Kunieda, E., et al. : Analysis of suitable prescribed isodose line fitting to planning target volume in stereotactic body radiotherapy using dynamic conformal multiple arc therapy. Pract. Radiat. Oncol., 2, 46〜53, 2012.
6)Takeda, A., Kunieda, E., Ohashi, T., et al. : Stereotactic body radiotherapy(SBRT)for oligometastatic lung tumors from colorectal cancer and other primary cancers in comparison with primary lung cancer. Radiother. Oncol., 101, 255〜259, 2011.
7)Takeda, A,. Ohashi, T., Kunieda, E., et al. : Comparison of clinical, tumour-related and dosimetric factors in grade 0-1, grade 2 and grade 3 radiation pneumonitis after stereotactic body radiotherapy for lung tumours. Br. J. Radiol., 85, 636〜642, 2012.
8)Takeda, A., Oku, Y., Sanuki, N., E., et al. : Feasibility study of stereotactic body radiotherapy for peripheral lung tumors with a maximum dose of 100 Gy in five fractions and a heterogeneous dose distribution in the planning target volume. J. Radiat. Res., 55, 988〜995, 2014.
