VARIAN RT REPORT
2023年3月号
人にやさしいがん医療を 放射線治療を中心に No.14
Eclipse VMAT Planningの戦略 〜特性を押さえた最適化メソッド〜
五十野 優(大阪国際がんセンター放射線腫瘍科)
はじめに
強度変調放射線治療(IMRT)は,線量制約などの最適化条件を放射線治療計画装置(RTPS)へ命令することで,放射線治療装置の挙動を決定し,線量分布を描くinverse planningを用いて治療計画を行っている。IMRTの最適化に関してはコツや工夫が多く,その実務経験の差によって,線量指標などの治療計画の質が異なることが報告されている1)。その差を埋めるような「RapidPlan」(バリアン社製)などの機械学習を用いた治療計画技術への期待が高まっているが,各施設の治療計画ポリシーに依存する点から2),現状ではまだまだ治療計画技術そのものを研鑽することが求められている。
筆者自身が最適化で重視していることは,「使用するRTPSの特性を押さえながら,最適化の命令(object)をかけること」である。そうすることで,目的としている線量制約や理想の線量分布に近づくことができると考えている。ここではRTPSである「Eclipse」(バリアン社製)を用いたIMRT計画の最適化について,実際に使用しているコツや工夫を紹介する。また,Eclipseの最新版であるVer.16.1の使用と線量分布改善の可能性についても触れる。
一般的な最適化テクニック
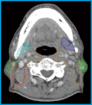
筆者は,最適化を実行する際に,明確な命令を設定することが重要と考えている。例えば,標的と危険臓器がオーバーラップしている場合について,それぞれの輪郭に対して矛盾する最適化(例:標的の最低線量が危険臓器の最大線量を上回るような最適化)を行えば,理想の分布を得ることは難しい。その場合には,図1のように標的や危険臓器の輪郭を分割し,各領域に対して矛盾のないobjectを設定することで,明確な命令を設定することができる。その際に,1〜2mm程度のマージンを取ることで,互いのobjectが干渉しにくい状況を作ることが,効果的な最適化につながる。
図1 危険臓器の輪郭分割例
また,等価均一線量の考え方を用いたgeneralized equivalent uniform dose(gEUD)を最適化のobjectとして用いることの有用性も報告されている3)。gEUDは,以下の式(1)で表すことが可能で,最適化のobjectとしては,パラメータaを変更させることで線量体積ヒストグラム(DVH)の関心線量を設定することができる。
vi は関心領域内で吸収線量を受けた体積の比率を表す。aについては,大きな負の値(→−∞)で最小線量,1で平均線量,大きな正の値(→+∞)で最大線量を示す。gEUDを使用することで,従来のpoint objectで発生しがちであった,DVHの「肩」を低減させることができる。当院ではEclipseを使用する場合,危険臓器に対しupper gEUD objectiveを利用することが多く,並列臓器に対しa=0.3〜1.0,直列臓器に対しa=20〜40のパラメータを用いて最適化を実行している。
Eclipseに特化した最適化テクニック
Eclipseは,最適化の開始段階では粗いセグメントによって最適化を行い,徐々にセグメントを細かくする「Multi-Resolution Dose Calculation」というアルゴリズムを用いて最適化を実施している4)。最適化コストの推移を見ると,図2のように序盤のMR levelでは最適化コストの減少が急峻であるのに対して, 終盤になるとコストの減少がなだらかになっている。このことから,Eclipseの最適化では,序盤には線量をダイナミックに変化させ,終盤では線量を調整するような最適化を実施していることがわかる。このMR levelを上手に使うことで,追い込みをかけることが可能である。
図3に,「Continue the previous optimization」を使用して再最適化を行う前後の前立腺強度変調回転放射線治療(VMAT)の線量分布とDVHを示す。提示例は,膀胱と直腸の線量を低減させたbase planを作成した後に,計画標的体積(PTV)のpriorityを1.5倍程度増加し,Continue the previous optimizationにより再最適化を行い作成した。この手法によりPTV内部の105%の領域が少なくなり,均一な分布となっていることがわかる。再最適化時にPTVのみpriorityを上げたため,直腸の線量は微増しているが,base plan作成時に危険臓器の線量を低減しておくことで,線量制約を満たしたプランを作成することができる。
図2 Multi-Resolution Dose Calculationによる最適化コストの推移
図3 Continue the previous optimizationの使用前後の前立腺VMATの線量分布とDVH
Eclipse Ver.16.1の紹介とそのメリット
Eclipse Ver.16.1では,VMATの最適化計算時にグラフィック処理装置(GPU)を用いて計算をすることが可能になり,最適化が高速化され,計算時間が短縮されるようになった。例えば,Ⅲ期肺がん症例に対して同一objectを20個設定し,最適化グリッド2.5mmで最適化計算した場合,Ver.15.6では7分40秒かかったのに対し,Ver.16.1では2分37秒と,最適化時間が1/3程度に短縮された。このメリットを生かした線量分布改善の可能性を紹介したい。
Eclipseは最適化が収束すると,次のMR levelへ自動で進んでいくが,症例によっては収束が不十分なまま次のMR levelへ進行しているため,思うようなDVHが得られない場合がある。そこで,次のMR levelへ向かう時の基準を厳しくし,iterationの回数を増加させる「Convergence mode」を使用することにより,最適化結果が改善できる可能性がある。このConvergence modeは「On」と「Extended」の2種類から選択することができ,収束基準の厳しさやiterationの回数の増加は「Off」<「On」<「Extended」の順になる。Convergence modeを使用するデメリットは,iteration回数の増加による最適化時間の延長であるが,Ver.16.1でのGPUの使用により大幅な改善が可能である。前述のⅢ期肺がんの症例において,Convergence modeを「On」にした場合,Ver. 15.6では26分16秒かかったのに対し,Ver. 16.1では8分59秒になり,Ver.15.6の「Off」の状態の最適化時間(7分40秒)と大きな差はなくなった。DVHに関しては,Convergence modeを「On」とすることでPTV線量均一性が向上し,肺線量が低下した(図4)。なお,Convergence modeの「Extended」については,提示の症例ではDVHは改善傾向にあるが,有用性に乏しいという報告5)があるほか,最適化時間もかなり延長することから,通常の使用においては扱いが難しいと考える。
図4 Convergence modeの有無によるDVHの比較
さいごに
われわれ放射線治療に携わる職種の最終目標は,「患者に適切な放射線治療を提供する」ことである。最適化はDVHをベースに線量を追い込んでいく都合上,思わぬホットやコールド領域が発生する可能性があるため,線量分布は必ず確認すべきある。治療計画について,医師や照射現場と線量分布を共有することで,その目標を達成することができると感じている。本稿が皆さまの最適化手技の参考になれば幸いである。
●参考文献
1)Batumalai, V., Jameson, M.G., Forstner, D. F., et al., Pract. Radiat. Oncol., 3(3) : e99-e106, 2013.
2)Ueda, Y., Fukunaga, J., Kamima, T., et al., Radiat. Oncol., 13(1) : 46, 2018.
3)Fogliata, A., Thompson, S., Stravato, A., et al., J. Appl. Clin. Med. Phys., 19(1) : 106–114, 2018.
4)Eclipse Photon and Electron Algorithms Reference Guide
5)Rossi, M., Boman, E., J. Radiother. Pract., 171 – 178, 2022.
