VARIAN RT REPORT
2024年1月号
人にやさしいがん医療を 放射線治療を中心に No.19
頭頸部領域におけるART研究会(HyperSight編)
「頭頸部領域におけるART研究会」では,放射線治療のエキスパートの先生方が集結し,主に頭頸部領域におけるETHOS TherapyおよびHyperSightを用いた適応放射線治療(adaptive radiotherapy:ART)に関して,検討および討論がなされた。HyperSightとは,ETHOS TherapyとHalcyonに実装可能なバリアン社の新たなコーンビームCT(CBCT)イメージングソリューションである。今回は同研究会にて,HyperSightを用いたARTの実践および画像の検討を行った2名の先生の演題を報告する。
開催日:2023年9月23日 座長:松尾 幸憲 (近畿大学医学部 放射線腫瘍学部門)
新しいCBCT「HyperSight」を用いたPlanning Challenge
稲田 正浩 (近畿大学医学部放射線腫瘍学部門)
4つのレベルに分けて考えるART
HyperSightの画質の高さを活用した実際のARTの評価の前に,近畿大学におけるARTの考え方と適用方法について,ARTを4つの段階に分けて説明した。
まず,レベル1は「ARTなし」で,最初から最後まで同じプランで治療を行う場合である。これは,頭頸部癌に対するsimultaneous integrated boost(SIB)法IMRTや肺癌に対するinvolved field radiation therapyなどが該当する場合が多い。一方,治療開始後3~5週目でリプランを予定しておくような場合をレベル2の「予定ART」と呼ぶ。頭頸部癌に対してtwo-step法でIMRTを行う場合や,食道癌で予防照射があるような症例が該当し,この方法は照射野縮小(boost)と同時にARTを実施するリーズナブルな方針である。
レベル3の「患者診断ART」とは,体型変化が起こりやすい頭頸部癌や食道癌など日々患者を観察し,予定より早くリプランを行うという一歩進んだARTである。しかし,このワークフローには問題点がある。まずリプランが必要だと気が付かない可能性や,CT撮影をしてみたが思ったより体型変化や腫瘍縮小がなくCTを撮る必要がなかった可能性,あるいはもっと早くリプランが必要だった可能性もある。
それに対して,毎回CBCTを撮影してリプランの必要性を確認すれば,このような問題はなく,適切なタイミングで必要な患者にのみリプランを行える。これがレベル4の「画像誘導ART」である。特に膵臓癌や子宮癌など制御できない変化にも対応する手法となる。例えば,頭頸部癌IMRTをHalcyonでoffline-ARTにて実施する場合,Halcyonは毎日CBCTを撮影しないと照射できないため,必ず照射前に治療中の変化を確認することになる。当院では技師や照合担当医師がCBCTを確認し,問題がなければ照射する。問題がある場合は,主治医に照会を依頼し,ARTの適応を判断してもらう。適応する場合は,その日の照射の可否を判断し,照射しないと判断された場合は,再度CTシミュレーションを行い,できるだけ早くリプランの照射を行うというワークフローになる。しかし,このフローではART適応の判断や照射実施の判断など,技師や医師の主観に依存してしまい,一定ではない。このような問題点は,画質が大幅に向上したHyperSightを用いてARTを行うことで解決できることが期待される。
HyperSightを用いたARTの実践
今回,当院ではHyperSightを用いて,頭頸部癌に対しoffline-ARTのワークフローでARTを実践した。実際に初回CTのCTVやGTV,PTVをCBCTの画像に重ねると,顎下腺やリンパ節のずれ,痩せが認められた(図1)。また,CBCTの画質が驚くほど向上し,より客観的な判断が可能になったと感じた。ビームおよびMUを変えずに,CBCT上で線量計算してみると,喉頭線量がmean dose 67 Gyを超えており,PTVの最大線量が処方線量の113%と非常に高くなっていた。これでは実施不可で,リプランを実施するという判断をすることになった。このような判断をカウチ上で行えることになる。
図1 HyperSightによるoffline-ARTワークフローの改善
頭頸部領域におけるARTの将来展望と期待
頭頸部領域においてonline-ARTあるいはon couch-ARTが必要な状況とは,上咽頭癌でのSIB-IMRTや,正常臓器が脊髄脳幹や神経に近い場合,また定位照射のようにGTVやPTVマージンが狭い場合や分割回数が少ない場合が考えられる。
放射線治療計画ガイドライン2020年版では,CTVに5mm程度のPTVマージンを設定することが推奨され,固定精度が高ければさらに縮小することも許容されている。今後PTVマージンは,online-ARTによってさらに縮小でき,5mmから0mmという時代になっていくだろう。そのような点からも,ARTの役割は大きいと期待している。
HyperSight 期待と可能性
伊藤宗一朗 (鹿児島大学病院放射線科)
CTベースのonline-ARTは,CBCTで取得する画像の高精度化と全体的な治療時間の短縮が非常に重要である。ETHOS Therapyでは,現状CBCT撮像に約20秒かかり,速いモードに変えたとしても17秒程度を要するが,HyperSightでは,ガントリスピードが6RPMとなり,約6秒でCBCT撮像可能となった。今回,HyperSightの実際のCBCTをレビューしながら,期待される画質の向上や治療時間の短縮について評価した。
頭頸部癌におけるHyperSightを用いたCBCTの検証
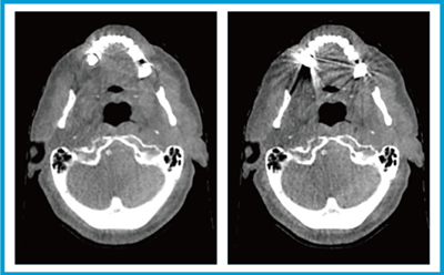
まず,頭頸部癌における従来のCBCTの課題は,肩関節レベルのアーチファクト,嚥下のモーションアーチファクト,そして高吸収アーチファクトが挙げられる。これらの課題がHyperSightを用いるとどのように改善されるのかを検証した。肩の画像では,リングアーチファクトが出ていたが,少し改善されていた。次に喉頭の画像を見ると,参照した症例に動きがあったか不明だが,6秒で画像取得できれば嚥下によるモーションアーチファクトを抑えられる可能性が高い。顎の画像では,アーチファクト低減処理なしであるため,アーチファクトが完全にゼロにはならないが,一つ一つの構造物側の輪郭がしっかりと見えるという印象であった(図2)。
次に,HyperSightで可能になったメタルアーチファクトリダクション(MAR)処理の有無で画像を比較してみた。明らかに,MAR処理をした画像はメタルアーチファクトが改善されていた。
中咽頭癌の症例では,SIB法IMRTで小さなリンパ節を正確に狙いたい場合,画質が相当良くないと難しいが,HyperSightでは小さな血管やリンパ節が明瞭に描出されていた(図3)。この症例は,喉頭咽頭のレベルに多少モーションアーチファクトがあったが,リンパ節の描出までは影響していなかった。
Online-ARTでは,on couchにてCBCTでコンツーリングし直す作業がある。これには単なる位置合わせのための画質ではなく,照射できるレベルの画質が必要であり,通常のIGRT以上に画質が治療の質に直結する。よって,画質が向上することで,小さなターゲットを狙えるようになり,マージンを減らせる可能性や,線量を増加できる可能性,そうなれば,1回の線量が増加し,照射回数を減らせる可能性も秘めている。このように,将来的に治療戦略への影響も期待でき,HyperSightの治療への貢献度は非常に高い。CBCTはどうしてもMRIより軟部組織のコントラストは劣るが,その中でもHyperSightは画質を向上させ一歩段階が進んだ。それに加えて,CBCTの撮像の速さを生かすことで,全工程のスピードアップにもつながり,CBCTベースのonline-ARTは発展していくものと期待する。
図2 HyperSightによるCBCT(顎)
左:HyperSight 右:従来のCBCT
図3 HyperSightによるCBCT(中咽頭癌)
左:HyperSight 右:治療計画CT
頭頸部癌以外におけるHyperSightを用いたCBCTの検証
頭頸部以外として,胸部と上腹部のHyperSightのCBCTを検証した。問題点は,腸管ガスのモーションアーチファクト,消化管の蠕動運動,高吸収アーチファクト,呼吸性移動が挙げられる。上腹部のHyperSightの画像を見ると,動く空気のアーチファクトが見られたが,膵臓がしっかり見えており,これはおそらく撮像時間6秒が功を奏していると考えられる。骨盤部の画像も検証したが,症例の腸管にガスが溜まっていなかったため,従来の画質と比べたHyperSightの画質の差は感じなかったが,画質自体は良くなっていると感じた。
今後の可能性と期待
撮像のスピードが速くなることで,特に動く空気のアーチファクトなどの低減がもたらされるだろう。また,画質の向上によってdeformable image registration,AIセグメンテーションの質も向上すると考えられる。そして,これらが全工程の時間短縮につながり,さらにonline-ARTが素早くより良い治療を提供できるようになると期待している。さらに飛躍して言えば,周辺機器の開発も含めて,息止めや呼吸同期照射にも応用され,そしてCBCTでの治療計画まで可能になれば,例えばQUAD shotや単回の緩和照射など様々な治療に貢献できるのではと今後の展開に期待する。
ETHOS 適応放射線治療オンラインプランニングシステム:医療機器承認番号 30300BZX00075000
ETHOS 適応放射線治療マネージメントシステム:医療機器承認番号 30300BZX00076000
Halcyon 医療用リニアック:医療機器承認番号 22900BZX00367000
放射線治療計画用ソフトウェア Eclipse:医療機器承認番号 22900BZX00265000
