VARIAN RT REPORT
2020年11月号
がん医療における放射線治療最前線 No.12
Ⅲ期非小細胞肺癌に対するIMRTおよびVMATの有効性
秋元 哲夫(国立がん研究センター東病院放射線治療科)
はじめに
肺がんは,病理学的に非小細胞肺癌と小細胞肺癌に大別される。小細胞肺癌は増殖速度が速く,化学療法が有効であり,限局期では加速過分割照射(AHF)法を用いた化学放射線療法が標準的治療である。非小細胞肺癌は,転移のない局所進行例は,手術可能例では術前照射後の根治切除が推奨されているが,手術不能の症例において放射線治療が「肺癌診療ガイドライン 2019年版」でも推奨されている。放射線治療の進歩により,非小細胞肺癌,特にⅢ期非小細胞肺癌の治療では,前後対向から斜入照射の時代から,三次元計画による三次元原体照射(3D-CRT),さらに近年では強度変調放射線治療(IMRT)も導入され,その適応範囲や有害事象低減などの安全性の観点でも改善が認められている。
本稿では,Ⅲ期非小細胞肺癌に対するIMRTおよび強度変調回転放射線治療(VMAT)の導入によるメリットおよび有効性について,特に臨床的な観点から述べる。
Ⅲ期非小細胞肺癌の標準治療
Ⅲ期非小細胞肺癌のうち根治切除が可能な症例に対しては,「肺癌診療ガイドライン 2019年版」で,「肺葉切除可能な臨床病期ⅢA期(N2)に対しては,術前化学放射線療法を行うことを弱く推奨する」とされており,根治切除が選択肢となっている。根治切除不能な症例の標準治療については放射線治療単独であったが,化学療法を併用することで治療効果向上が得られることが証明され,メタアナリシスでもシスプラチンを含む化学療法併用の化学放射線療法が,放射線治療単独に比べ2年生存率を4%,5年生存率を2%向上させることが報告されている1)。化学療法の併用のタイミングについては,逐次併用より同時併用が治療成績の向上に寄与することから,同時併用が標準治療として確立している2)。併用化学療法のレジメンとしては,プラチナ製剤と第三世代以降の細胞障害性抗がん剤併用が推奨されている3)〜5)。
Ⅲ期非小細胞肺癌の治療成績は,これまで併用化学療法の比較や放射線治療の線量増加などの比較試験が行われてきたが,残念ながら成績向上につながるブレイクスルーはなかなか得られなかった。しかし,化学放射線療法後に遠隔転移出現がなく病勢のコントロールが得られている切除不能Ⅲ期非小細胞肺癌を対象として,免疫チェックポイント阻害剤であるデュルバルマブによる地固め療法を,プラセボと比較する第Ⅲ相試験が行われ,デュルバルマブ群がプラセボ群に対して無病生存割合および全生存割合共に有意に向上することが報告された3),6),7)。これは,化学療法,特に免疫療法の進歩を象徴するエポックメイキングな報告ではあるが,先行する化学放射線療法を実施することが前提であり,Ⅲ期非小細胞肺癌に対して可能なかぎり化学放射線療法を実施することの重要性を認識する契機になったとも言える。
Ⅲ期非小細胞肺癌に対する放射線治療とIMRT/VMATの有用性
上記のように,Ⅲ期非小細胞肺癌に対しては化学放射線療法が標準治療として確立しているが,前後対向から斜入照射から三次元計画による3D-CRT導入で,原発巣や転移リンパ節への線量を低下させることなく,正常肺や心臓の線量を有意に低減できることが示されてきた8),9)。Ⅲ期非小細胞肺癌に対する化学放射線療法による有害事象の中で,放射線肺臓炎は時に重症化し致死的になることもあり重要である。その予測指標にV20(20Gyが照射される正常肺の割合)が重要なファクターとして示されており,化学療法併用では,V20が25~30%以下で放射線肺臓炎の発症リスクが低減すると報告されている10)。換言すると,V20が一定以上に高い場合は,重篤な放射線肺臓炎のリスクから,化学放射線療法を断念せざるを得ないということで,根治性の観点でも大きな問題である。
その有望な解決に,IMRTおよびVMATの適応がある。第Ⅲ相試験であるRTOG 0617は,局所進行非小細胞肺癌に対する線量増加試験(60Gy vs. 74Gy)で,残念ながら線量増加の有効性は示せなかったが,その二次解析でIMRT例のgrade 3以上の放射線肺臓炎の発症率が3D-CRT例よりも有意に低かったと報告されている(7.9% vs. 3.5%,P=0.039)11)。また,この報告では,心臓への線量もIMRT例で有意に低減しており,生存率にも関連していたと報告されている。局所進行非小細胞肺癌において,grade≧3の心毒性発生は全生存割合の低下に有意に相関しているとする報告もあり12),正常肺の線量だけでなく心臓線量の低減も重要な課題であり,その点でもIMRTおよびVMATが有効であるとする報告はほかにも見られる13)。われわれの局所進行非小細胞肺癌を対象とした線量分布比較のデータでも,IMRTによる心臓V40は3D-CRTより有意に低かった14)。
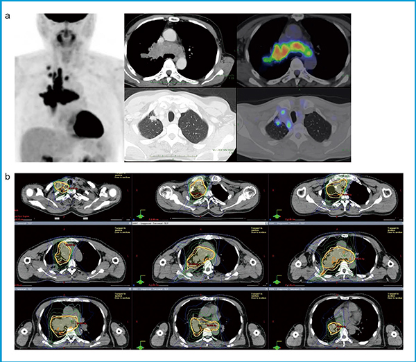
図1に,当科でのVMATと3D-CRTの線量分布比較で,VMATにより心臓線量が有意に低減可能であった症例を提示する。cT1aN3M0で対側縦隔にもリンパ節転移を伴う局所進行例で(図1 a),通常の3D-CRTではV20の観点で根治照射が難しいと判断された。VMATでは,心臓線量(V50)は3D-CRTより低減可能で,V20も根治照射許容範囲内に低減できていた(図1 b)。実際の治療計画では,呼吸性移動は重要であり,個々の症例での評価を誤ると腫瘍に対する線量不足や正常組織に対する線量増加を来すことも少なくない。四次元CT(4D-CT)により呼吸性移動を加味して,適切なマージン設定が必須である15)。ガイドラインでも,移動量が大きい場合には呼吸性移動対策を行うことが推奨されている。
図1 VMATにより心臓線量が有意に低減可能であった症例
a:造影CTとPET画像。右上葉原発で対側縦隔に及ぶリンパ節転移を伴う。
b:局所進行肺がんに対するVMATの線量分布
(放射線治療計画装置はバリアン社の「Eclipse」を使用)
おわりに
Ⅲ期非小細胞肺癌の治療成績については,免疫チェックポイント阻害剤などの免疫療法との併用で改善が見られつつある。その過程では安全な化学放射線療法は必須であり,それを支えているのはIMRT/VMATなどの高精度放射線治療技術である。本邦でもまだ普及は十分ではないが,実施の際には輪郭入力を含めた治療計画および呼吸性移動対策などの適切な適応が重要であることは言うまでもない。今後のさらなる治療成績改善のためにも,これらの治療技術の普及が期待される。
●参考文献
1)Marino, P., Preatoni, A., Cantoni, A. : Randomized trials of radiotherapy alone versus combined chemotherapy and radiotherapy in stages IIIa and IIIb non-small cell lung cancer. A meta-analysis. Cancer, 76(4) : 593-601, 1995.
2)Furuse, K., Fukuoka, M., Kawahara, M., et al. : Phase III study of concurrent versus sequential thoracic radiotherapy in combination with mitomycin, vindesine, and cisplatin in unresectable stage III non-small-cell lung cancer. J. Clin. Oncol., 17(9) : 2692-2699, 1999.
3)Yamamoto, N., Nakagawa, K., Nishimura, Y., et al. : Phase III study comparing second- and third-generation regimens with concurrent thoracic radiotherapy in patients with unresectable stage III non-small-cell lung cancer : West Japan Thoracic Oncology Group WJTOG0105. J. Clin. Oncol., 28(23) : 3739-3745, 2010.
4)Segawa, Y., Kiura, K., Takigawa, N., et al. : Phase III trial comparing docetaxel and cisplatin combination chemotherapy with mitomycin, vindesine, and cisplatin combination chemotherapy with concurrent thoracic radiotherapy in locally advanced non-small-cell lung cancer : OLCSG 0007. J. Clin. Oncol., 28(20) : 3299-3306, 2010.
5)Liang, J., Bi, N., Wu, S., et al. : Etoposide and cisplatin versus paclitaxel and carboplatin with concurrent thoracic radiotherapy in unresectable stage III non-small cell lung cancer : A multicenter randomized phase III trial. Ann. Oncol., 28(4) : 777-783, 2017.
6)Antonia, S.J., Villegas, A., Daniel, D., et al. : Durvalumab after chemoradiotherapy in stage III non-small-cell lung cancer. N. Engl. J. Med., 377(20) : 1919-1929, 2017.
7)Antonia, S.J., Villegas, A., Daniel, D., et al. : Overall survival with durvalumab after chemoradiotherapy in stage III NSCLC. N. Engl. J. Med., 379(24) : 2342-2350, 2018.
8)Ragazzi, G., Cattaneo, G.M., Fiorino, C., et al. : Use of dose-volume histograms and biophysical models to compare 2D and 3D irradiation techniques for non-small cell lung cancer. Br. J. Radiol., 72(855) : 279-288, 1999.
9)Schraube, P., von Kampen, M., Oetzel, D., et al. : The impact of 3-D radiotherapy planning after a pneumonectomy compared to a conventional treatment set-up. Radiother. Oncol., 37(1) : 65-70, 1995.
10)Tsujino, K., Hirota, S, Endo, M., et al. : Predictive value of dose-volume histogram parameters for predicting radiation pneumonitis after concurrent chemoradiation for lung cancer. Int. J. Radiat. Oncol. Biol. Phys., 55(1) : 110-115, 2003.
11)Chun, S.G., Hu, C., Choy, H., et al. : Impact of Intensity-Modulated Radiation Therapy Technique for Locally Advanced Non-Small-Cell Lung Cancer : A Secondary Analysis of the NRG Oncology RTOG 0617 Randomized Clinical Trial. J. Clin. Oncol., 35(1) : 56-62, 2017.
12)Dess, R.T., Sun, Y., Matuszak, M.M., et al. : Cardiac Events After Radiation Therapy : Combined Analysis of Prospective Multicenter Trials for Locally Advanced Non-Small-Cell Lung Cancer. J. Clin. Oncol., 35(13) : 1395-1402, 2017.
13)Dess, R.T., Sun, Y., Muenz, D.G., et al. : Michigan Radiation Oncology Quality Consortium. Cardiac Dose in Locally Advanced Lung Cancer : Results From a Statewide Consortium. Pract. Radiat. Oncol., 10(1) : e27-e36, 2020.
14)Wu, C.T., Motegi, A., Akimoto, T., et al. : Dosimetric comparison between proton beam therapy and photon radiation therapy for locally advanced non-small cell lung cancer. Jpn. J. Clin. Oncol., 46(11) : 1008-1014, 2016.
15)Underberg, R.W., Lagerwaard, F.J., Slotman, B.J., et al. : Benefit of respiration-gated stereotactic radiotherapy for stageⅠ lung cancer : An analysis of 4DCT datasets. Int. J. Radiat. Oncol. Biol. Phys., 62(2) : 554-560, 2005.
