VARIAN RT REPORT
2025年5月号
人にやさしいがん医療を放射線治療を中心に No.27
HyperSightイメージングソリューションを搭載したHalcyonの使用経験と将来展望
田中 義浩(大阪けいさつ病院放射線治療科医学物理室)
はじめに
画像誘導放射線治療(image guided radiotherapy:IGRT)は,放射線治療の精度と効果を向上させるために必要な技術である。2010年4月に画像誘導放射線治療加算が保険収載され,また,定位放射線治療や強度変調放射線治療といった高精度放射線治療を実施するのであれば,空間的線量分布と施設条件の観点からIGRTは必要不可欠となる。特にcone-beam computed tomography(CBCT)は,患者の三次元的な位置情報を用いて画像照合することが可能であることから,その有用性は高く,現在では多くの施設で導入されている。しかし,CBCT画像を取得するには直線加速器(リニアック)のガントリを1周もしくは半周させる必要があり,例えば汎用型リニアックの「TrueBeam」(バリアン社製)では約60秒の時間を要する。そのため,息止め照射を行う症例では数回に分けてCBCTを撮影しなければならず,患者への負担だけでなくスループットの低下を引き起こす要因とされていた。また,腹部領域では腸内ガスによるアーチファクトの影響を受けやすく,位置照合に支障を来していた。
当院では,2025年1月より「HyperSightイメージングソリューション(HyperSight)」を搭載した「Halcyon」(共にバリアン社製)の臨床運用が開始された。HyperSightは画質の向上だけでなく,より大きな視野(field of view:FOV)で撮影しながら,従来のリニアックベースのイメージングシステムよりも約1/10の時間でCBCTを撮影できる技術である。本稿では,HyperSightの特徴を述べ,当院での臨床使用経験ならびに将来展望について紹介する。
HyperSightについて
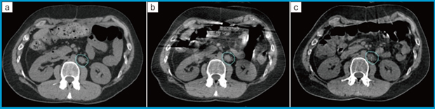
HyperSightは放射線治療業界最大のkilovoltage(kV)imagerが搭載されており,最大53.8cmのFOVを得ることができる。表1に,Halcyon version 3.0のCBCTシステムとHyperSightの比較を示す。HyperSightは最短わずか6秒でCBCTの撮影が可能であり,かねてより懸念されていた,息止め照射における患者負担およびスループット低下の大幅な改善が期待されている。CBCT撮影時間の短縮は息止め照射での利点だけでなく,図1に示すように,腸内ガスによるアーチファクトを低減することも可能である。さらに,画像再構成アルゴリズムにはiCBCT Acurosが導入されており,より鮮明な画像を取得することができる。画質の向上だけでなく,患者が治療寝台に滞在する時間も短くなるため,不快感や不安感を軽減できると考えられる。また,新たに金属アーチファクトを低減するアルゴリズムも搭載されており,頭頸部領域での歯科インプラントや骨盤領域における人工股関節を装着した患者の画質向上が可能となっている。
表1 Halcyon version 3.0のCBCTシステムとHyperSight(Halcyon version 4.0)の
比較
図1 Conventional CBCTとHyperSight CBCTの腸内ガスによるアーチファクトの比較
a:simulation CT b:conventional CBCT c:HyperSight CBCT
(画像提供:株式会社バリアンメディカルシステムズ)
当院での臨床使用について
当院ではこれまで,TrueBeamを用いた単一装置による臨床運用を行ってきたが,2025年1月の新病院移転に併せてHalcyon version 4.0が増設された。TrueBeamはCBCTによる画像照合において6軸での寝台による位置補正が可能であるが,Halcyonは並進方向の3軸のみの補正となる。すなわち,回転方向の位置誤差は手動で補正しなければならない。そこで,当院では,Halcyon導入に伴い体表面画像誘導放射線治療(surface guided radiation therapy:SGRT)を実現するシステムである「IDENTIFY」(バリアン社製)を同室に設置した。IDENTIFYは,3台のSGRTカメラで体表面情報を6軸方向かつサブミリメートルの精度で検出することができる。光学式システムを採用することで,被ばくなく体表面の位置誤差情報がリアルタイムに表示される。図2に当院のHalcyonとIDENTIFYの設置状況を,図3に体表面のモニタリングと位置誤差情報が表示された状況を示す。
図4に,当院における患者位置合わせから照射までのプロセスを示す。これまでは治療室内で皮膚マーキングと位置合わせ用レーザーを照合していたが,上記のシステム導入に伴い,現在はIDENTIFYが出力する体表面の位置誤差情報を用いて患者の位置合わせを行っている(位置合わせ用の室内レーザーもあるため皮膚へのマーキングは実施している)。その後,HyperSightにてCBCT画像照合を実施し照射するプロセスとなるが,例えば前立腺がんに対する3Arcの強度変調回転放射線治療にかかる治療時間はおよそ5分であり,スループットの大幅な改善が確認されている。
図2 大阪けいさつ病院の放射線治療室におけるHalcyonとIDENTIFYの設置状況
図3 IDENTIFYの体表面モニタリング画像
図4 大阪けいさつ病院におけるHalcyon version 4.0を用いた患者位置合わせから照射までのプロセス
(株式会社バリアンメディカルシステムズより一部画像提供あり)
将来展望
当院のHyperSightには,本邦初となるCBCT for planning(CBCTp)が搭載されている。CBCTpは,治療計画CT画像を撮影するための専用モードである。図5に,バリアン社より提案されているCBCTpを用いた新しいワークフローを示す。CBCTpで取得したCBCT画像は,Initial PlanあるいはRe-Planの治療計画CT画像として使用可能とされている。また,治療中の位置照合のために撮影したCBCT画像も,Re-Planの治療計画CT画像に使用可能とされている。治療時とまったく同じ環境でCTシミュレーションが可能であり,海外では緩和的放射線治療においてすでに臨床使用されている技術である。今後,当院では治療継続中に起こる体形変化や腫瘍サイズの変化が原因でRe-Planが必要となる症例に対しCBCTpを用いることで,Off-line Adaptive Radiotherapyが実施できるよう準備を進めていきたいと考えている。
図5 CBCTpを用いた新しいワークフロー案
(画像提供:株式会社バリアンメディカルシステムズ)
まとめ
当院におけるHyperSightを搭載したHalcyonの臨床運用と将来展望について紹介した。HyperSightは患者の負担を軽減し,スループットの向上に貢献できる有用性の高い技術だと考える。
