VARIAN RT REPORT
2017年12月号
No.12 子宮癌:技術編
信州大学医学部附属病院:子宮癌における放射線治療の現状(技術報告)
小岩井慶一郎(信州大学医学部附属病院放射線科)
はじめに
子宮癌における放射線治療の特徴は,外部照射のみならず密封小線源治療である腔内照射を必要とする点である。子宮頸癌,子宮体癌のいずれにおいても,外部照射と腔内照射を組み合わせて根治的放射線治療が行われるが,特に子宮頸癌ではこの組み合わせ治療が標準的治療として広く認められている。
近年,放射線治療技術の進歩により,子宮癌に対する放射線治療もその手法が変化しつつある。“RapidArc”はバリアンメディカルシステムズ社の装置を用いて行う回転強度変調照射(VMAT)であるが,当院では本法を子宮癌の放射線治療にしばしば用いている。本稿では,当院での子宮癌における放射線治療について,技術的視点から見た現状を概説する。
外部照射
●体位および治療計画用CT
患者には仰臥位をとらせ,両手を自身の前胸部で軽く組ませる。RapidArcを行う場合には,高い患者固定精度を必要とするため,吸引式固定バッグにて患者を固定する。治療計画用CTは,GE社製の「Optima CT580W」を用いて撮影している。RapidArcを行う場合には,膀胱容量の変化に伴う標的の体内移動を評価するため,蓄尿後と排尿後にCTを撮影している。
●標的体積
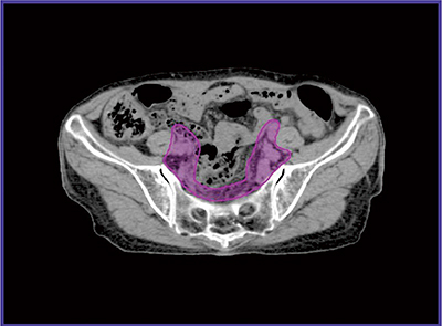
子宮癌に対する全骨盤照射では,かつては骨構造をランドマークとして照射野を決定する,二次元的な放射線治療計画が行われていた。三次元治療計画が一般化した現在,当院でも臨床的標的体積(CTV)を治療計画装置上で描画し(図1),これに適切なマージンを付与したものを計画標的体積(PTV)としている。子宮頸癌の臨床的標的体積については,国内外からガイドラインが発表されており1)〜3),当院もこれらのガイドラインを参考に標的体積を決定している。
図1 子宮頸癌に対する全骨盤照射における臨床的標的体積描画例
●照射方法
通常の全骨盤照射では,前後左右の4方向から10MVのX線を照射する。アイソセンタないしその近傍を標的基準点とし,同点に対して線量処方を行っている。
RapidArcを行う場合は,通常ガントリを同一軌道上で2回転(時計回り,反時計回り)させている。また,コリメータは,通常30°程度回転させている(図2)。アイソセンタの位置は,標的との位置関係において,5mm幅のマルチリーフコリメータを最も有効に使用できるポイントを自動選出する機能を用いて決定している。最適化計算は,特に小腸の線量低減を重視して行っている。線量処方は,D95%(標的の95%に投与される線量)に対して行っている。
図2 RapidArcによる鼠径リンパ節領域を含む
全骨盤照射の放射線治療計画例
腔内照射
●治療装置
当院の保有するバリアンメディカルシステムズ社製「VariSource iX」(図3)は,イリジウム192線源を遠隔操作にて後充填する高線量率腔内照射装置(RALS)である。線源移送チューブとアプリケータは,ClickFitと呼ばれる堅牢な機構により接続される。何重にもわたるインターロック機構が備わっており,線源移送に何らかの問題が発生する可能性が見出された場合,その問題が解決されるまで動作が停止される仕組みとなっている。
図3 当院の高線量率腔内照射装置であるVariSource iX
●治療計画
当院ではアプリケータ留置後,直交する2方向のX線写真を撮影し,これを治療計画装置に転送して治療計画を作成している(図4)。計画装置上でアプリケータの位置,投与線量を規定する標的規準点(子宮頸癌の場合,A点と呼ばれる),直腸および膀胱の線量評価基準点などを画像上に入力していく。なお,A点,直腸および膀胱の線量評価点は,ICRU Report 384)の勧告に基づき決定している。線源配置については,施設内での標準化を図るべく,一定の取り決めの下に行っている。例えば,子宮頸癌の場合は,マンチェスター法に準じて作成された標準線源配置パターンに基づいて線源配置を計画する。線量評価基準点の線量を評価し,必要に応じて適宜線源配置を調整する。計画が完成したら,治療装置にデータを転送する。複数のスタッフによるダブルチェックを経て,治療を開始している。
図4 直交する2方向のX線写真により作成された腔内照射計画例
a:正面像 b:側面像
まとめと今後の課題
当院での子宮癌における放射線治療技術は,おおよそ標準的な治療を提供するための手法をカバーしている。近年,子宮癌,特に子宮頸癌の腔内照射においては画像誘導下に行う手法(IGBT)が注目を集めている。これは,アプリケータ挿入後にCTないしMR画像を取得し,これを用いて腔内照射の治療計画を行うというものであり,すでに良好な治療成績が報告され始めている。当院でも今後,IGBTを開始するための検討を始めている。
●参考文献
1)Toita, T., Ohno, T., Kaneyasu, Y., et al. : A consensus-based guideline defining the clinical target volume for pelvic lymph nodes in external beam radiotherapy for uterine cervical cancer. Jpn. J. Clin. Oncol., 40, 456〜463, 2010.
2)Toita, T., Ohno, T., Kaneyasu, Y., et al. : A consensus-based guideline defining clinical target volume for primary disease in external beam radiotherapy for intact uterine cervical cancer. Jpn. J. Clin. Oncol., 41, 1119〜1126, 2011.
3)Small, W. Jr, Mell, L.K., Anderson, P., et al. : Consensus guidelines for delineation of clinical target volume for intensity-modulated pelvic radiotherapy in postoperative treatment of endometrial and cervical cancer. Int. J. Radiat. Oncol. Biol. Phys., 71, 428〜434, 2008.
4)Chassagne, D., Dutreix, A., Almond, P., et al. : Report 38. J. ICRU, os20・1, NP, 1985.
