VARIAN RT REPORT
2022年5月号
人にやさしいがん医療を 放射線治療を中心に No.9
99mTc-GSA SPECT画像を用いたinverse planningによる肝機能温存定位放射線治療
東家 亮(熊本大学大学院生命科学研究部放射線治療医学講座)
はじめに
肝細胞がんに対する治療は,手術療法,ラジオ波焼灼療法,肝動脈化学塞栓療法などが主体であるが,これらの治療が不可能な場合や非奏効な場合に放射線治療が行われる。肝細胞がんは線量効果関係の存在が報告されており,高線量投与を行うことによって局所制御率の向上が期待できる1)。特に腫瘍の体積が小さい場合は,1回の照射で6〜10Gy程度の大線量を投与する体幹部定位放射線治療によって,高い局所制御が得られる。
肝細胞がんに対する放射線治療で最も問題となる合併症は,radiation-induced liver disease(RILD)である。肝細胞がんでは,経過中に肝内病巣が複数出現する場合が多く,放射線治療を行う時点で,すでにほかの治療法が肝臓に対して行われている場合が少なくない。ラジオ波焼灼療法や肝動脈化学塞栓療法による治療が行われた場合は,局所的な肝機能低下が生じる2)。このため,放射線治療計画を行う際の肝実質の機能は不均一なことが多い。局所的な肝機能の状態を可視化し,放射線治療計画に応用することで,RILDのリスクを抑えた放射線治療計画が可能になる。
本稿では,われわれが行っている,99mTc-GSA SPECT画像(アシアロスペクト画像)を用いたinverse planningによる肝機能温存定位放射線治療について概要を述べる。
画像の取得
治療方針が決定したら,まずSPECT/CT画像を取得する。画像の取得はシーメンス社製の「Symbia Intevo Bold」を用いて行っている。撮像は通常の画像診断体位で行い,放射線治療計画時に用いる天板や固定具などは使用していない。SPECT/CT画像を取得後,金マーカーの留置を行う。留置後数日以内に放射線治療計画用CTを撮影する。撮影はGE社製の「Discovery RT」を用い,腹部を圧迫した状態で行う。原則として全例で造影剤を用いたダイナミックCTを撮影する。ダイナミックCT撮影終了直後に四次元画像を取得する。放射線治療計画にはaverage intensity projection(AIP)画像を用いる。
融合画像の作成と肝機能部の抽出
SPECT画像と放射線治療計画用CT画像の融合画像は,放射線治療計画支援システムであるバリアン社製の「Velocity」を用いて作成する。SPECT/CT画像は画像診断体位,放射線治療計画用CT画像は腹部圧迫の放射線治療体位で収集するため,両者の肝臓は形態が若干異なる。このため,融合画像は非剛体レジストレーションで作成する。
まず,放射線治療計画用CT画像にSPECT/CTのCT画像を非剛体レジストレーションで融合させる。その後,SPECT/CTのCT画像が偏位した位置情報を利用して,放射線治療計画用CT画像にSPECT画像を融合させる。この方法によって,非常に精度が高い融合画像を作成することができる。融合画像を作成したら,SPECT画像内の最大カウント値を用いた閾値設定によって肝機能部(functional liver structure:FLS)を抽出する。閾値は標的体積とFLSの位置関係を考慮して設定するが,最大カウント値の60〜80%程度にすることが多い。
放射線治療計画
放射線治療計画は,バリアン社製の「Eclipse」で行う。“RapidArc”〔バリアン社の強度変調回転放射線治療(VMAT)〕での治療をinverse planningで計画する。標的体積は診断画像に加えて,放射線治療計画用CT画像に融合させたダイナミックCT画像も参考にして決定する。標的体積やリスク臓器に加えて,FLSに対する最適化を行うことによって,標的体積への線量集中と肝機能の温存を両立させた放射線治療計画が実現する(図1)3),4)。また,四次元画像の情報を用いて金マーカーの呼吸性移動を反映させた輪郭を作成し,画像誘導放射線治療に利用する(図2)。
図1 アシアロスペクト画像を用いたinverse planningによる肝機能温存定位放射線治療の例
a:放射線治療計画用CT画像。肝機能の局所的な評価は困難である。
b:放射線治療計画用CT画像とアシアロスペクト画像の融合画像。標的体積周囲の肝機能は過去の治療によって低下している。
c,d:肝機能を温存した放射線治療計画。FLS(ー)に線量制約をかけることにより(c),FLSに線量制約をかけない場合(d)に比べて肝機能が残存している部分の線量を低下させることができる。
画像誘導放射線治療
放射線治療装置はバリアン社製の「CLINAC iX」を用いていたが,機器更新により2021年4月から同社の「TrueBeam Edge」に移行した。照射前にcone beam CT(CBCT)画像を取得して位置合わせを行う。放射線治療計画用CT画像上に描出されている呼吸性移動を反映させた金マーカーの輪郭内に,CBCT画像上の金マーカーが適切に入っていることを確認して照射を行う(図2)5)。
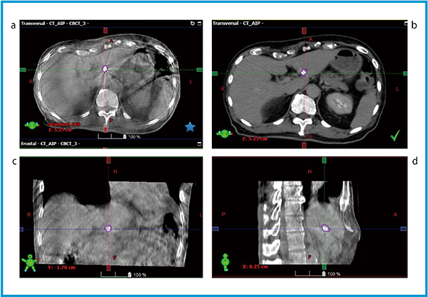
図2 放射線治療計画用CT画像とCBCT画像による金マーカーを用いた画像誘導放射線治療の例
放射線治療計画用CT画像(b)上に金マーカーの呼吸性移動を反映させた輪郭を作成し(○),位置照合に利用する(a,c,dはCBCT画像)。
まとめ
アシアロスペクト画像を用いたinverse planningによる肝機能温存定位放射線治療の概要を述べた。アシアロスペクト画像とinverse planningを組み合わせることによって,局所の肝機能を考慮した放射線治療計画が実現し,従来法よりRILDのリスクが低い放射線治療を患者に提供することが可能となる。
●参考文献
1)Toya, R., Murakami, R., Baba, Y., et al. : Conformal radiation therapy for portal vein tumor thrombosis of hepatocellular carcinoma. Radiother. Oncol., 84(3) : 266-271, 2007.
2)Toya, R., Saito, T., Shiraishi, S., et al. : Dose-function histogram evaluation using 99mTc-GSA SPECT/CT images for stereotactic body radiation therapy planning for hepatocellular carcinoma patients : A dosimetric parameter comparison. Anticancer Res., 38(3) : 1511-1516, 2018.
3)Toya, R., Saito, T., Kai, Y., et al. : Impact of 99mTc-GSA SPECT image-guided inverse planning on dose-function histogram parameters for stereotactic body radiation therapy planning for patients with hepatocellular carcinoma : A dosimetric comparison study. Dose Response, 17(1) : 1559325819832149, 2019.
4)Kai, Y., Toya, R., Saito, T., et al. : Stereotactic body radiotherapy based on 99mTc-GSA SPECT image-guided inverse planning for hepatocellular carcinoma. In Vivo, 34(6) : 3583-3588, 2020.
5)Shimohigashi, Y., Toya, R., Saito, T., et al. : Tumor motion changes in stereotactic body radiotherapy for liver tumors : An evaluation based on four-dimensional cone-beam computed tomography and fiducial markers. Radiat. Oncol., 12(1) : 61, 2017.
